Rabbit SNAI1 Polyclonal Antibody | anti-SNAI1 antibody
SNAI1 Antibody
Phosphate buffered saline, pH 7.4, 150mM NaCl, 0.02% sodium azide and 50% glycerol.
IF (Immunofluorescence)
(AAA322152 staining HepG2 cells by IF/ICC. The sample were fixed with PFA and permeabilized in 0.1% Triton X-100, then blocked in 10% serum for 45 minutes at 25 degree C. The primary antibody was diluted at 1/200 and incubated with the sample for 1 hour at 37 degree C. An Alexa Fluor 594 conjugated goat anti-rabbit IgG (H+L) antibody, diluted at 1/600, was used as secondary antibody.)
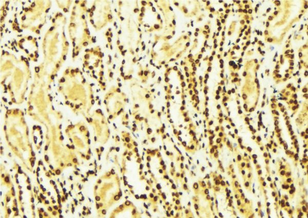
IHC (Immunohistochemistry)
(AAA322152 at 1/100 staining Mouse kidney tissue by IHC-P. The sample was formaldehyde fixed and a heat mediated antigen retrieval step in citrate buffer was performed. The sample was then blocked and incubated with the antibody for 1.5 hours at 22 degree C. An HRP conjugated goat anti-rabbit antibody was used as the secondary.)
WB (Western Blot)
(Western blot analysis of SNAI1 expression in HT29 whole cell lysates, The lane on the left is treated with the antigen-specific peptide.)
IF (Immunofluorescence)
(AAA322152 staining U-2 OS cells by IF/ICC. The sample were fixed with PFA and permeabilized in 0.1% Triton X-100, then blocked in 10% serum for 45 minutes at 25 degree C. The primary antibody was diluted at 1/200 and incubated with the sample for 1 hour at 37 degree C. An Alexa Fluor 594 conjugated goat anti-rabbit IgG (H+L) antibody, diluted at 1/600, was used as secondary antibody.)
IF (Immunofluorescence)
(AAA322152 staining HT29 by IF/ICC. The sample were fixed with PFA and permeabilized in 0.1% Triton X-100, then blocked in 10% serum for 45 minutes at 25 degree C. The primary antibody was diluted at 1/200 and incubated with the sample for 1 hour at 37 degree C. An Alexa Fluor 594 conjugated goat anti-rabbit IgG (H+L) Ab, diluted at 1/600, was used as the secondary antibody.)
Function: Involved in induction of the epithelial to mesenchymal transition (EMT), formation and maintenance of embryonic mesoderm, growth arrest, survival and cell migration. Binds to 3 E-boxes of the E-cadherin/CDH1 gene promoter and to the promoters of CLDN7 and KRT8 and, in association with histone demethylase KDM1A which it recruits to the promoters, causes a decrease in dimethylated H3K4 levels and represses transcription. During EMT, involved with LOXL2 in negatively regulating pericentromeric heterochromatin transcription (By similarity). SNAI1 recruits LOXL2 to pericentromeric regions to oxidize histone H3 and repress transcription which leads to release of heterochromatin component CBX5/HP1A, enabling chromatin reorganization and acquisition of mesenchymal traits (By similarity). Associates with EGR1 and SP1 to mediate tetradecanoyl phorbol acetate (TPA)-induced up-regulation of CDKN2B, possibly by binding to the CDKN2B promoter region 5'-TCACA-3. In addition, may also activate the CDKN2B promoter by itself.
Subunit Structure: Interacts with FBXL14 and GSK3B. Interacts with BTRC; interaction occurs when it is phosphorylated on the destruction motif. Interacts (via SNAG domain) with WTIP (via LIM domains) (By similarity). Interacts (via SNAG domain) with LIMD1 (via LIM domains), and AJUBA (via LIM domains). Interacts with LOXL2 and LOXL3. Interacts (via N-terminal region) with CSNK2A1. Interacts with EGR1 upon TPA induction. Interacts (via N-terminal region) with LATS2; the interaction is dependent on LATS2 kinase activity but independent of SNAI1 Thr-203 phosphorylation. Interacts (via zinc fingers) with KPNB1 and TNPO1; the interactions mediate nuclear import. Interacts (via zinc fingers) with KPNA1; the interaction disrupts the transport complex with KPNB1 and prevents nuclear import increasing SNAI1 degradation in the cytoplasm. Interacts (via zinc fingers) with KPNA2; the interaction, in combination with KPNB1, mediates nuclear import. Interacts with KPNA4; this interaction mediates nuclear import. May interact (via zinc fingers) with IPO7. Interacts (via zinc fingers) with PARP1; the interaction requires SNAI1 to be poly-ADP-ribosylated and non-phosphorylated (active) by GSK3B. Interacts (via SNAG domain) with KDM1A; the interaction is necessary for the down-regulation of dimethylated H3K4 mark and promoter activity of E-cadherin/CDH1, CDN7 and KRT8. Interacts with TP53/p53 and (via zinc fingers) with NOTCH1 (via intracellular domain); the interactions induce SNAI1 degradation via MDM2-mediated ubiquitination and inhibit SNAI1-induced cell invasion. Interacts with MDM2; the interaction promotes SNAI1 ubiquitination. Interacts (via zinc fingers) with CSNK1E. Interacts with PAK1.
Post-translational Modifications: Phosphorylated by GSK3B. Once phosphorylated, it becomes a target for BTRC ubiquitination. Phosphorylation by CSNK1E, probably at Ser-104, provides the priming site for the subsequent phosphorylation by GSK3B, probably at Ser-100 and Ser-96. Phosphorylation by PAK1 may modulate its transcriptional activity by promoting increased accumulation in the nucleus. Phosphorylation at Ser-11 and Ser-92 positively regulates its functions in induction of EMT and cell survival, respectively. Phosphorylation by LATS2, upon mitotic stress, oncogenic stress or Hippo pathway activation, occurs in the nucleus and promotes nuclear retention and stabilization of total cellular protein level. Ubiquitinated on Lys-98, Lys-137 and Lys-146 by FBXL14 and BTRC leading to degradation. BTRC-triggered ubiquitination requires previous GSK3B-mediated SNAI1 phosphorylation. Ubiquitination induced upon interaction with NOTCH1 or TP53/p53 is mediated by MDM2. O-GlcNAcylation at Ser-112 is enhanced in hyperglycaemic conditions, it opposes phosphorylation by GSK3B, and stabilizes the protein. ADP-ribosylation by PARP1 increases protein half-life and may be involved in TGFB-induced SNAI1 up-regulation.
Similarity: Belongs to the snail C2H2-type zinc-finger protein family.
NCBI and Uniprot Product Information
Predicted: 30 kDa
Customer Reviews
Loading reviews...
Share Your Experience
Similar Products
Product Notes
The SNAI1 snai1 (Catalog #AAA322152) is an Antibody produced from Rabbit and is intended for research purposes only. The product is available for immediate purchase. The SNAI1 Antibody reacts with Human, Mouse, Rat and may cross-react with other species as described in the data sheet. AAA Biotech's SNAI1 can be used in a range of immunoassay formats including, but not limited to, ELISA, ICC (Immunocytochemistry), IF (Immunofluorescence), IHC (Immunohistochemistry), WB (Western Blot). Researchers should empirically determine the suitability of the SNAI1 snai1 for an application not listed in the data sheet. Researchers commonly develop new applications and it is an integral, important part of the investigative research process. It is sometimes possible for the material contained within the vial of "SNAI1, Polyclonal Antibody" to become dispersed throughout the inside of the vial, particularly around the seal of said vial, during shipment and storage. We always suggest centrifuging these vials to consolidate all of the liquid away from the lid and to the bottom of the vial prior to opening. Please be advised that certain products may require dry ice for shipping and that, if this is the case, an additional dry ice fee may also be required.Precautions
All products in the AAA Biotech catalog are strictly for research-use only, and are absolutely not suitable for use in any sort of medical, therapeutic, prophylactic, in-vivo, or diagnostic capacity. By purchasing a product from AAA Biotech, you are explicitly certifying that said products will be properly tested and used in line with industry standard. AAA Biotech and its authorized distribution partners reserve the right to refuse to fulfill any order if we have any indication that a purchaser may be intending to use a product outside of our accepted criteria.Disclaimer
Though we do strive to guarantee the information represented in this datasheet, AAA Biotech cannot be held responsible for any oversights or imprecisions. AAA Biotech reserves the right to adjust any aspect of this datasheet at any time and without notice. It is the responsibility of the customer to inform AAA Biotech of any product performance issues observed or experienced within 30 days of receipt of said product. To see additional details on this or any of our other policies, please see our Terms & Conditions page.Item has been added to Shopping Cart
If you are ready to order, navigate to Shopping Cart and get ready to checkout.
