Rabbit SOD2 Polyclonal Antibody | anti-SOD2 antibody
Anti-SOD2 antibody
WB (Western Blot)
(Figure 4. Western blot analysis of SOD2/Mnsod using anti-SOD2/Mnsod antibody (AAA45065).Electrophoresis was performed on a 5-20% SDS-PAGE gel at 70V (Stacking gel) / 90V (Resolving gel) for 2-3 hours. The sample well of each lane was loaded with 50ug of sample under reducing conditions.Lane 1: mouse liver tissue lysates,Lane 2: mouse small intestine tissue lysates,Lane 3: mouse lung tissue lysates.After Electrophoresis, proteins were transferred to a Nitrocellulose membrane at 150mA for 50-90 minutes. Blocked the membrane with 5% Non-fat Milk/ TBS for 1.5 hour at RT. The membrane was incubated with rabbit anti-SOD2/Mnsod antigen affinity purified polyclonal antibody at 0.5ug/mL overnight at 4 degree C, then washed with TBS-0.1%Tween 3 times with 5 minutes each and probed with a goat anti-rabbit IgG-HRP secondary antibody at a dilution of 1:10000 for 1.5 hour at RT. The signal is developed using an Enhanced Chemiluminescent detection (ECL) kit with Tanon 5200 system. A specific band was detected for SOD2/Mnsod at approximately 25KD. The expected band size for SOD2/Mnsod is at 25KD.)
IHC (Immunohistochemisry)
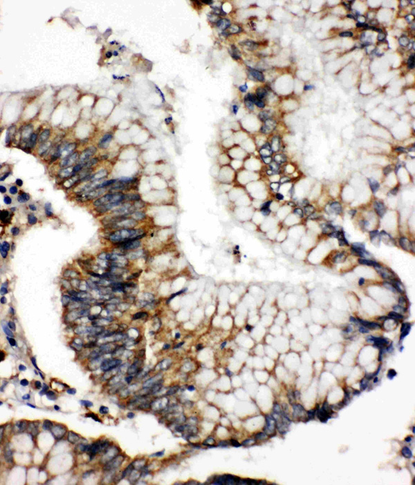
(Figure 3. IHC analysis of SOD2/Mnsod using anti- SOD2/Mnsod antibody (AAA45065).SOD2/Mnsod was detected in paraffin-embedded section of human intestinal cancer tissues. Heat mediated antigen retrieval was performed in citrate buffer (pH6, epitope retrieval solution) for 20 mins. The tissue section was blocked with 10% goat serum. The tissue section was then incubated with 1ug/ml rabbit anti- SOD2/Mnsod Antibody (AAA45065) overnight at 4 degree C. Biotinylated goat anti-rabbit IgG was used as secondary antibody and incubated for 30 minutes at 37 degree C. The tissue section was developed using Strepavidin-Biotin-Complex (SABC) with DAB as the chromogen.)
IHC (Immunohiostchemistry)
(Figure 2. IHC analysis of SOD2/Mnsod using anti- SOD2/Mnsod antibody (AAA45065).SOD2/Mnsod was detected in paraffin-embedded section of rat brain tissues. Heat mediated antigen retrieval was performed in citrate buffer (pH6, epitope retrieval solution) for 20 mins. The tissue section was blocked with 10% goat serum. The tissue section was then incubated with 1ug/ml rabbit anti- SOD2/Mnsod Antibody (AAA45065) overnight at 4 degree C. Biotinylated goat anti-rabbit IgG was used as secondary antibody and incubated for 30 minutes at 37 degree C. The tissue section was developed using Strepavidin-Biotin-Complex (SABC) with DAB as the chromogen.)
WB (Western Blot)
(Figure 1. Western blot analysis of SOD2/Mnsod using anti-SOD2/Mnsod antibody (AAA45065).Electrophoresis was performed on a 5-20% SDS-PAGE gel at 70V (Stacking gel) / 90V (Resolving gel) for 2-3 hours. The sample well of each lane was loaded with 50ug of sample under reducing conditions.Lane 1: Rat Liver Tissue Lysate,Lane 2: Rat Intestine Tissue Lysate,Lane 3: Rat Lung Tissue Lysate,Lane 4: Rat Heart Tissue Lysate,Lane 5: SMMC Whole Cell Lysate,Lane 6: HELA Whole Cell Lysate,Lane 7: COLO320 Whole Cell Lysate,Lane 8: SW620 Whole Cell Lysate,Lane 9: A549 Whole Cell Lysate.After Electrophoresis, proteins were transferred to a Nitrocellulose membrane at 150mA for 50-90 minutes. Blocked the membrane with 5% Non-fat Milk/ TBS for 1.5 hour at RT. The membrane was incubated with rabbit anti-SOD2/Mnsod antigen affinity purified polyclonal antibody at 0.5ug/mL overnight at 4 degree C, then washed with TBS-0.1%Tween 3 times with 5 minutes each and probed with a goat anti-rabbit IgG-HRP secondary antibody at a dilution of 1:10000 for 1.5 hour at RT. The signal is developed using an Enhanced Chemiluminescent detection (ECL) kit with Tanon 5200 system. A specific band was detected for SOD2/Mnsod at approximately 25KD. The expected band size for SOD2/Mnsod is at 25KD.)
Background: SOD2(Superoxide Dismutase 2), also called IPO-B or MNSOD, is a mitochondrial matrix enzyme that scavenges oxygen radicals produced by the extensive oxidation-reduction and electron transport reactions occurring in mitochondria. This gene is a member of the iron/manganese superoxide dismutase family. Using a somatic cell hybrid panel containing different segments of chromosome 6, they demonstrated that SOD2 is located in the region 6q25.3-qter which, together with the FISH analysis, indicated that SOD2 is in the distal portion of 6q25. The SOD2 gene encodes an intramitochondrial free radical scavenging enzyme that is the first line of defense against superoxide produced as a byproduct of oxidative phosphorylation. Adeno-associated viral delivery of the human SOD2 gene resulted in suppression of optic nerve degeneration and rescue of retinal ganglion cells. The findings suggested that reactive oxygen species contributed to retinal cell death and optic nerve damage in mice with complex I deficiency, and that expression of SOD2 attenuated the disease process.
NCBI and Uniprot Product Information
Customer Reviews
Loading reviews...
Share Your Experience
Similar Products
Product Notes
The SOD2 sod2 (Catalog #AAA45065) is an Antibody produced from Rabbit and is intended for research purposes only. The product is available for immediate purchase. The Anti-SOD2 antibody reacts with Human, Mouse, Rat and may cross-react with other species as described in the data sheet. AAA Biotech's SOD2 can be used in a range of immunoassay formats including, but not limited to, ICC (Immunocytochemistry), IHC (Immunohistochemistry), WB (Western Blot). Researchers should empirically determine the suitability of the SOD2 sod2 for an application not listed in the data sheet. Researchers commonly develop new applications and it is an integral, important part of the investigative research process. It is sometimes possible for the material contained within the vial of "SOD2, Polyclonal Antibody" to become dispersed throughout the inside of the vial, particularly around the seal of said vial, during shipment and storage. We always suggest centrifuging these vials to consolidate all of the liquid away from the lid and to the bottom of the vial prior to opening. Please be advised that certain products may require dry ice for shipping and that, if this is the case, an additional dry ice fee may also be required.Precautions
All products in the AAA Biotech catalog are strictly for research-use only, and are absolutely not suitable for use in any sort of medical, therapeutic, prophylactic, in-vivo, or diagnostic capacity. By purchasing a product from AAA Biotech, you are explicitly certifying that said products will be properly tested and used in line with industry standard. AAA Biotech and its authorized distribution partners reserve the right to refuse to fulfill any order if we have any indication that a purchaser may be intending to use a product outside of our accepted criteria.Disclaimer
Though we do strive to guarantee the information represented in this datasheet, AAA Biotech cannot be held responsible for any oversights or imprecisions. AAA Biotech reserves the right to adjust any aspect of this datasheet at any time and without notice. It is the responsibility of the customer to inform AAA Biotech of any product performance issues observed or experienced within 30 days of receipt of said product. To see additional details on this or any of our other policies, please see our Terms & Conditions page.Item has been added to Shopping Cart
If you are ready to order, navigate to Shopping Cart and get ready to checkout.
