Rabbit SOD2 Polyclonal Antibody | anti-SOD2 antibody
SOD2 Antibody
Phosphate buffered saline, pH 7.4, 150mM NaCl, 0.02% sodium azide and 50% glycerol.
WB (Western Blot)
(Western blot analysis of extracts of K562, using SOD2 antibody. The lane on the left is treated with the antigen-specific peptide.)
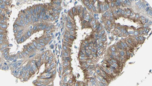
IHC (Immunohistochemistry)
(AAA326163 at 1/100 staining Human cervical cancer tissue by IHC-P. The sample was formaldehyde fixed and a heat mediated antigen retrieval step in citrate buffer was performed. The sample was then blocked and incubated with the antibody for 1.5 hours at 22 degree C. An HRP conjugated goat anti-rabbit antibody was used as the secondary.)
Function: Destroys superoxide anion radicals which are normally produced within the cells and which are toxic to biological systems.
Subunit Structure: Homotetramer.
Post-translational Modifications: Nitrated under oxidative stress. Nitration coupled with oxidation inhibits the catalytic activity. Acetylation at Lys-122 decreases enzymatic activity. Deacetylated by SIRT3 upon exposure to ionizing radiations or after long fasting (By similarity). Polyubiquitinated; leading to proteasomal degradation. Deubiquitinated by USP36 which increases protein stability.
Similarity: Belongs to the iron/manganese superoxide dismutase family.
NCBI and Uniprot Product Information
Predicted: 25 kDa
Customer Reviews
Loading reviews...
Share Your Experience
Similar Products
Product Notes
The SOD2 sod2 (Catalog #AAA326163) is an Antibody produced from Rabbit and is intended for research purposes only. The product is available for immediate purchase. The SOD2 Antibody reacts with Human, Mouse, Rat and may cross-react with other species as described in the data sheet. AAA Biotech's SOD2 can be used in a range of immunoassay formats including, but not limited to, ELISA, IHC (Immunohistochemistry), WB (Western Blot). Researchers should empirically determine the suitability of the SOD2 sod2 for an application not listed in the data sheet. Researchers commonly develop new applications and it is an integral, important part of the investigative research process. It is sometimes possible for the material contained within the vial of "SOD2, Polyclonal Antibody" to become dispersed throughout the inside of the vial, particularly around the seal of said vial, during shipment and storage. We always suggest centrifuging these vials to consolidate all of the liquid away from the lid and to the bottom of the vial prior to opening. Please be advised that certain products may require dry ice for shipping and that, if this is the case, an additional dry ice fee may also be required.Precautions
All products in the AAA Biotech catalog are strictly for research-use only, and are absolutely not suitable for use in any sort of medical, therapeutic, prophylactic, in-vivo, or diagnostic capacity. By purchasing a product from AAA Biotech, you are explicitly certifying that said products will be properly tested and used in line with industry standard. AAA Biotech and its authorized distribution partners reserve the right to refuse to fulfill any order if we have any indication that a purchaser may be intending to use a product outside of our accepted criteria.Disclaimer
Though we do strive to guarantee the information represented in this datasheet, AAA Biotech cannot be held responsible for any oversights or imprecisions. AAA Biotech reserves the right to adjust any aspect of this datasheet at any time and without notice. It is the responsibility of the customer to inform AAA Biotech of any product performance issues observed or experienced within 30 days of receipt of said product. To see additional details on this or any of our other policies, please see our Terms & Conditions page.Item has been added to Shopping Cart
If you are ready to order, navigate to Shopping Cart and get ready to checkout.
