Rabbit anti-Human Solute carrier family 41 member 2 Polyclonal Antibody | anti-SLC41A2 antibody
Rabbit anti-Human Solute carrier family 41 member 2 polyclonal Antibody
Gene Names
SLC41A2; SLC41A1-L1
Reactivity
Human
Applications
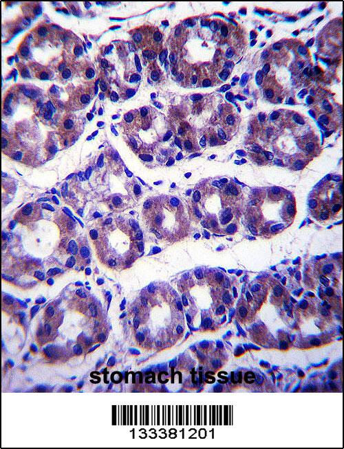
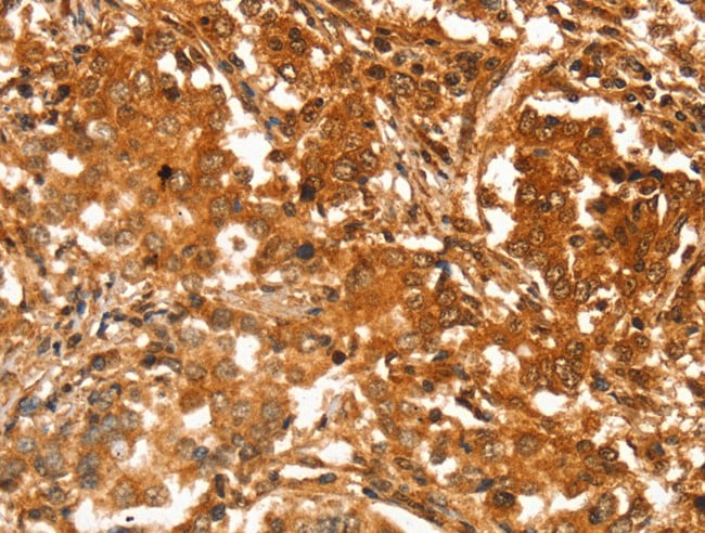
Immunofluorescence, Immunohistochemistry, ELISA
Purity
Caprylic Acid Ammonium Sulfate Precipitation Purified
Synonyms
Solute carrier family 41 member 2, Antibody; Rabbit anti-Human Solute carrier family 41 member 2 polyclonal Antibody; anti-SLC41A2 antibody
Host
Rabbit
Reactivity
Human
Clonality
Polyclonal
Isotype
IgG
Purity/Purification
Caprylic Acid Ammonium Sulfate Precipitation Purified
Sequence Length
573
Applicable Applications for anti-SLC41A2 antibody
IF (Immunofluorescence), IHC (Immunohistochemistry), ELISA
Storage Buffer
Preservative: 0.03% Proclin 300
Constituents: 50% Glycerol, 0.01M PBS, PH 7.
Constituents: 50% Glycerol, 0.01M PBS, PH 7.
Conjugate
Non-conjugated
Immunogen
Recombinant Human Solute carrier family 41 member 2 protein
Santa Cruz Alternative
Potential replacement for Santa Cruz Biotechnology antibody catalog# sc-102116
Preparation and Storage
Shipped at 4 degree C. Upon delivery aliquot and store at -20 degree C or -80 degree C. Avoid repeated freeze.
Related Product Information for anti-SLC41A2 antibody
Acts as a plasma-membrane magnesium transporter.
NCBI and Uniprot Product Information
NCBI GI #
NCBI GeneID
NCBI Accession #
NCBI GenBank Nucleotide #
Molecular Weight
62,473 Da
NCBI Official Full Name
solute carrier family 41 member 2
NCBI Official Synonym Full Names
solute carrier family 41 (magnesium transporter), member 2
NCBI Official Symbol
SLC41A2
NCBI Official Synonym Symbols
SLC41A1-L1
NCBI Protein Information
solute carrier family 41 member 2
UniProt Protein Name
Solute carrier family 41 member 2
UniProt Gene Name
SLC41A2
UniProt Entry Name
S41A2_HUMAN
Customer Reviews
Loading reviews...
Share Your Experience
Similar Products
Product Notes
The SLC41A2 slc41a2 (Catalog #AAA118179) is an Antibody produced from Rabbit and is intended for research purposes only. The product is available for immediate purchase. The Rabbit anti-Human Solute carrier family 41 member 2 polyclonal Antibody reacts with Human and may cross-react with other species as described in the data sheet. AAA Biotech's Solute carrier family 41 member 2 can be used in a range of immunoassay formats including, but not limited to, IF (Immunofluorescence), IHC (Immunohistochemistry), ELISA. Researchers should empirically determine the suitability of the SLC41A2 slc41a2 for an application not listed in the data sheet. Researchers commonly develop new applications and it is an integral, important part of the investigative research process. It is sometimes possible for the material contained within the vial of "Solute carrier family 41 member 2, Polyclonal Antibody" to become dispersed throughout the inside of the vial, particularly around the seal of said vial, during shipment and storage. We always suggest centrifuging these vials to consolidate all of the liquid away from the lid and to the bottom of the vial prior to opening. Please be advised that certain products may require dry ice for shipping and that, if this is the case, an additional dry ice fee may also be required.Precautions
All products in the AAA Biotech catalog are strictly for research-use only, and are absolutely not suitable for use in any sort of medical, therapeutic, prophylactic, in-vivo, or diagnostic capacity. By purchasing a product from AAA Biotech, you are explicitly certifying that said products will be properly tested and used in line with industry standard. AAA Biotech and its authorized distribution partners reserve the right to refuse to fulfill any order if we have any indication that a purchaser may be intending to use a product outside of our accepted criteria.Disclaimer
Though we do strive to guarantee the information represented in this datasheet, AAA Biotech cannot be held responsible for any oversights or imprecisions. AAA Biotech reserves the right to adjust any aspect of this datasheet at any time and without notice. It is the responsibility of the customer to inform AAA Biotech of any product performance issues observed or experienced within 30 days of receipt of said product. To see additional details on this or any of our other policies, please see our Terms & Conditions page.Item has been added to Shopping Cart
If you are ready to order, navigate to Shopping Cart and get ready to checkout.
