Rabbit SP1 Polyclonal Antibody | anti-SP1 antibody
SP1 Antibody
Applications
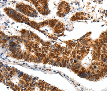
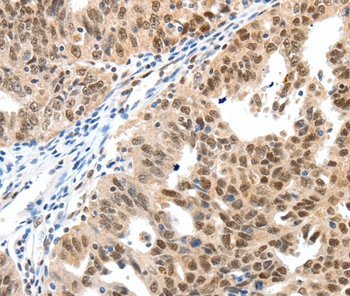
Immunohistochemistry
Purity
Antigen affinity purification.
Synonyms
SP1, Antibody; SP1 Antibody; SP1; Sp1 transcription factor; specificity protein 1; Transcription factor Sp1; TSFP1; anti-SP1 antibody
Host
Rabbit
Clonality
Polyclonal
Specificity
The antibody detects endogenous levels of total SP1 protein.
Purity/Purification
Antigen affinity purification.
Form/Format
Rabbit IgG in pH7.3 PBS, 0.05% NaN3, 50% Glycerol.
Concentration
1.3 mg/ml (varies by lot)
Sequence Length
737
Applicable Applications for anti-SP1 antibody
IHC (Immunohistochemistry)
Immunogen Type
Peptide
Immunogen Description
Synthetic peptide corresponding to a region derived from internal residues of human Sp1 transcription factor
Target Name
SP1
Preparation and Storage
Store at -20 degree C
Related Product Information for anti-SP1 antibody
The protein encoded by this gene is a zinc finger transcription factor that binds to GC-rich motifs of many promoters. The encoded protein is involved in many cellular processes, including cell differentiation, cell growth, apoptosis, immune responses, response to DNA damage, and chromatin remodeling. Post-translational modifications such as phosphorylation, acetylation, glycosylation, and proteolytic processing significantly affect the activity of this protein, which can be an activator or a repressor. Three transcript variants encoding different isoforms have been found for this gene.
Product Categories/Family for anti-SP1 antibody
NCBI and Uniprot Product Information
NCBI GI #
NCBI GeneID
NCBI Accession #
NCBI GenBank Nucleotide #
Molecular Weight
75,824 Da
NCBI Official Full Name
transcription factor Sp1 isoform c
NCBI Official Synonym Full Names
Sp1 transcription factor
NCBI Official Symbol
SP1
NCBI Protein Information
transcription factor Sp1
UniProt Protein Name
Transcription factor Sp1
UniProt Gene Name
SP1
UniProt Synonym Gene Names
TSFP1
UniProt Entry Name
SP1_HUMAN
Customer Reviews
Loading reviews...
Share Your Experience
Similar Products
Product Notes
The SP1 sp1 (Catalog #AAA304139) is an Antibody produced from Rabbit and is intended for research purposes only. The product is available for immediate purchase. AAA Biotech's SP1 can be used in a range of immunoassay formats including, but not limited to, IHC (Immunohistochemistry). Researchers should empirically determine the suitability of the SP1 sp1 for an application not listed in the data sheet. Researchers commonly develop new applications and it is an integral, important part of the investigative research process. It is sometimes possible for the material contained within the vial of "SP1, Polyclonal Antibody" to become dispersed throughout the inside of the vial, particularly around the seal of said vial, during shipment and storage. We always suggest centrifuging these vials to consolidate all of the liquid away from the lid and to the bottom of the vial prior to opening. Please be advised that certain products may require dry ice for shipping and that, if this is the case, an additional dry ice fee may also be required.Precautions
All products in the AAA Biotech catalog are strictly for research-use only, and are absolutely not suitable for use in any sort of medical, therapeutic, prophylactic, in-vivo, or diagnostic capacity. By purchasing a product from AAA Biotech, you are explicitly certifying that said products will be properly tested and used in line with industry standard. AAA Biotech and its authorized distribution partners reserve the right to refuse to fulfill any order if we have any indication that a purchaser may be intending to use a product outside of our accepted criteria.Disclaimer
Though we do strive to guarantee the information represented in this datasheet, AAA Biotech cannot be held responsible for any oversights or imprecisions. AAA Biotech reserves the right to adjust any aspect of this datasheet at any time and without notice. It is the responsibility of the customer to inform AAA Biotech of any product performance issues observed or experienced within 30 days of receipt of said product. To see additional details on this or any of our other policies, please see our Terms & Conditions page.Item has been added to Shopping Cart
If you are ready to order, navigate to Shopping Cart and get ready to checkout.
