Rabbit anti-Human Spliceosome RNA helicase DDX39B Polyclonal Antibody | anti-DDX39B antibody
Spliceosome RNA helicase DDX39B Polyclonal Antibody
Gene Names
DDX39B; BAT1; UAP56; D6S81E
Reactivity
Human
Applications
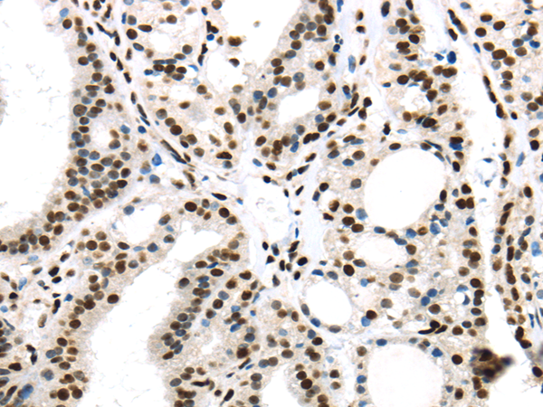
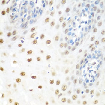
Immunohistochemistry, Western Blot
Purity
Caprylic Acid Ammonium Sulfate Precipitation purified
Synonyms
Spliceosome RNA helicase DDX39B, Antibody; Spliceosome RNA helicase DDX39B Polyclonal Antibody; 56 kDa U2AF65-associated protein ATP-dependent RNA helicase p47 DEAD box protein UAP56 HLA-B-associated transcript 1 protein; anti-DDX39B antibody
Host
Rabbit
Reactivity
Human
Clonality
Polyclonal
Specificity
The antibody detects endogenous level of total Spliceosome RNA helicase DDX39B polyclonal antibody.
Purity/Purification
Caprylic Acid Ammonium Sulfate Precipitation purified
Form/Format
Preservative: 0.03% Proclin 300 Constituents: 50% Glycerol, 0.01M PBS, PH 7.4
Concentration
1.0 mg/ml (varies by lot)
Sequence Length
428
Applicable Applications for anti-DDX39B antibody
IHC (Immunohistochemistry), WB (Western Blot)
Immunogen
Recombinant Human Spliceosome RNA helicase DDX39B protein
Immunogen Type
Protein
Preparation and Storage
Store at -20 degree C
Related Product Information for anti-DDX39B antibody
Involved in nuclear export of spliced and unspliced mRNA. Assembling component of the TREX complex which is thought to couple mRNA transcription, processing and nuclear export, and specifically associates with spliced mRNA and not with unspliced pre-mRNA. TREX is recruited to spliced mRNAs by a transcription-independent mechanism, binds to mRNA upstream of the exon-junction complex (EJC) and is recruited in a splicing- and cap-dependent manner to a region near the 5' end of the mRNA where it functions in mRNA export to the cytoplasm via the TAP/NFX1 pathway.
Product Categories/Family for anti-DDX39B antibody
NCBI and Uniprot Product Information
NCBI GI #
NCBI GeneID
NCBI Accession #
NCBI GenBank Nucleotide #
UniProt Accession #
Molecular Weight
50,679 Da
NCBI Official Full Name
spliceosome RNA helicase DDX39B
NCBI Official Synonym Full Names
DEAD-box helicase 39B
NCBI Official Symbol
DDX39B
NCBI Official Synonym Symbols
BAT1; UAP56; D6S81E
NCBI Protein Information
spliceosome RNA helicase DDX39B
UniProt Protein Name
Spliceosome RNA helicase DDX39B
UniProt Gene Name
DDX39B
UniProt Synonym Gene Names
BAT1; UAP56
UniProt Entry Name
DX39B_HUMAN
Customer Reviews
Loading reviews...
Share Your Experience
Similar Products
Product Notes
The DDX39B ddx39b (Catalog #AAA309020) is an Antibody produced from Rabbit and is intended for research purposes only. The product is available for immediate purchase. The Spliceosome RNA helicase DDX39B Polyclonal Antibody reacts with Human and may cross-react with other species as described in the data sheet. AAA Biotech's Spliceosome RNA helicase DDX39B can be used in a range of immunoassay formats including, but not limited to, IHC (Immunohistochemistry), WB (Western Blot). Researchers should empirically determine the suitability of the DDX39B ddx39b for an application not listed in the data sheet. Researchers commonly develop new applications and it is an integral, important part of the investigative research process. It is sometimes possible for the material contained within the vial of "Spliceosome RNA helicase DDX39B, Polyclonal Antibody" to become dispersed throughout the inside of the vial, particularly around the seal of said vial, during shipment and storage. We always suggest centrifuging these vials to consolidate all of the liquid away from the lid and to the bottom of the vial prior to opening. Please be advised that certain products may require dry ice for shipping and that, if this is the case, an additional dry ice fee may also be required.Precautions
All products in the AAA Biotech catalog are strictly for research-use only, and are absolutely not suitable for use in any sort of medical, therapeutic, prophylactic, in-vivo, or diagnostic capacity. By purchasing a product from AAA Biotech, you are explicitly certifying that said products will be properly tested and used in line with industry standard. AAA Biotech and its authorized distribution partners reserve the right to refuse to fulfill any order if we have any indication that a purchaser may be intending to use a product outside of our accepted criteria.Disclaimer
Though we do strive to guarantee the information represented in this datasheet, AAA Biotech cannot be held responsible for any oversights or imprecisions. AAA Biotech reserves the right to adjust any aspect of this datasheet at any time and without notice. It is the responsibility of the customer to inform AAA Biotech of any product performance issues observed or experienced within 30 days of receipt of said product. To see additional details on this or any of our other policies, please see our Terms & Conditions page.Item has been added to Shopping Cart
If you are ready to order, navigate to Shopping Cart and get ready to checkout.
