Host
Rabbit
Clonality
Polyclonal
Isotype
IgG
Concentration
1mg/mL (varies by lot)
Sequence Length
374
Applicable Applications for anti-SPOP antibody
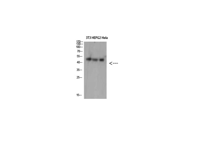
WB (Western Blot)
Immunogen
Recombinant protein of human SPOP
Buffer
PBS with 0.02% sodium azide, 50% glycerol, pH7.3.
Preparation and Storage
Store at -20 degree C. Avoid freeze/thaw cycles.
Related Product Information for anti-SPOP antibody
This gene encodes a protein that may modulate the transcriptional repression activities of death-associated protein 6 (DAXX), which interacts with histone deacetylase, core histones, and other histone-associated proteins. In mouse, the encoded protein binds to the putative leucine zipper domain of macroH2A1.2, a variant H2A histone that is enriched on inactivated X chromosomes. The BTB/POZ domain of this protein has been shown in other proteins to mediate transcriptional repression and to interact with components of histone deacetylase co-repressor complexes. Alternative splicing of this gene results in multiple transcript variants encoding the same protein.
NCBI and Uniprot Product Information
NCBI GI #
NCBI GeneID
NCBI Accession #
NCBI GenBank Nucleotide #
Molecular Weight
42kDa
NCBI Official Full Name
speckle-type POZ protein
NCBI Official Synonym Full Names
speckle-type POZ protein
NCBI Official Symbol
Spop
NCBI Official Synonym Symbols
TEF2; Pcif1; AI315626
NCBI Protein Information
speckle-type POZ protein
UniProt Protein Name
Speckle-type POZ protein
UniProt Gene Name
Spop
UniProt Synonym Gene Names
Pcif1
Customer Reviews
Loading reviews...
Share Your Experience
Similar Products
Product Notes
The SPOP spop (Catalog #AAA173610) is an Antibody produced from Rabbit and is intended for research purposes only. The product is available for immediate purchase. AAA Biotech's SPOP can be used in a range of immunoassay formats including, but not limited to, WB (Western Blot). Researchers should empirically determine the suitability of the SPOP spop for an application not listed in the data sheet. Researchers commonly develop new applications and it is an integral, important part of the investigative research process. It is sometimes possible for the material contained within the vial of "SPOP, Polyclonal Antibody" to become dispersed throughout the inside of the vial, particularly around the seal of said vial, during shipment and storage. We always suggest centrifuging these vials to consolidate all of the liquid away from the lid and to the bottom of the vial prior to opening. Please be advised that certain products may require dry ice for shipping and that, if this is the case, an additional dry ice fee may also be required.Precautions
All products in the AAA Biotech catalog are strictly for research-use only, and are absolutely not suitable for use in any sort of medical, therapeutic, prophylactic, in-vivo, or diagnostic capacity. By purchasing a product from AAA Biotech, you are explicitly certifying that said products will be properly tested and used in line with industry standard. AAA Biotech and its authorized distribution partners reserve the right to refuse to fulfill any order if we have any indication that a purchaser may be intending to use a product outside of our accepted criteria.Disclaimer
Though we do strive to guarantee the information represented in this datasheet, AAA Biotech cannot be held responsible for any oversights or imprecisions. AAA Biotech reserves the right to adjust any aspect of this datasheet at any time and without notice. It is the responsibility of the customer to inform AAA Biotech of any product performance issues observed or experienced within 30 days of receipt of said product. To see additional details on this or any of our other policies, please see our Terms & Conditions page.Item has been added to Shopping Cart
If you are ready to order, navigate to Shopping Cart and get ready to checkout.
