Rabbit STAR Polyclonal Antibody | anti-STAR antibody
STAR Antibody
Gene Names
STAR; STARD1
Reactivity
Human, Mouse, Rat
Applications
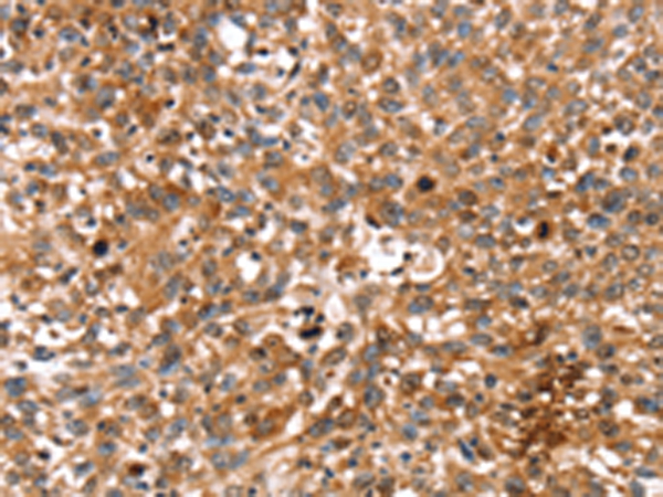
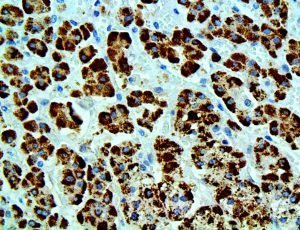
Immunohistochemistry, Western Blot
Purity
Antibodies were purified by affinity purification using immunogen.
Synonyms
STAR, Antibody; STAR Antibody; STAR; STARD1; anti-STAR antibody
Host
Rabbit
Reactivity
Human, Mouse, Rat
Clonality
Polyclonal
Specificity
The antibody detects endogenous level of total STAR protein.
Purity/Purification
Antibodies were purified by affinity purification using immunogen.
Form/Format
Supplied at 1.0mg/mL in phosphate buffered saline (without Mg2+ and Ca2+), pH 7.4, 150mM NaCl, 0.02% sodium azide and 50% glycerol.
Concentration
1.0 mg/ml (varies by lot)
Sequence Length
285
Applicable Applications for anti-STAR antibody
IHC (Immunohistochemistry), WB (Western Blot)
Immunogen Type
Recombinant Protein
Immunogen Description
Recombinant protein of human STAR.
Target Name
STAR
Preparation and Storage
Store at -20 degree C
Related Product Information for anti-STAR antibody
Steroidogenic acute regulatory protein (StAR) plays a significant role in cholesterol transport from the cytoplasmic outer membrane to the inner mitochondrial membrane (1). The 37 kDa precursor is cleaved to generate an active 28 kDa protein capable of facilitating cholesterol metabolism into pregnenolone (2,3). StAR is prevalently expressed in mitochondria of steroid-producing adrenal and gonadal tissue (3). Abnormalities in StAR gene expression are impacted in autosomal Lipoid Congenial Adrenal Hyperplasia (LCAH) resulting in defects in pregnenolone and cortisol synthesis (4). The mechanism of cholesterol binding to StAR has yet to be elucidated (4).
Product Categories/Family for anti-STAR antibody
NCBI and Uniprot Product Information
NCBI GI #
NCBI GeneID
NCBI Accession #
NCBI GenBank Nucleotide #
Molecular Weight
31,914 Da
NCBI Official Full Name
steroidogenic acute regulatory protein, mitochondrial
NCBI Official Synonym Full Names
steroidogenic acute regulatory protein
NCBI Official Symbol
STAR
NCBI Official Synonym Symbols
STARD1
NCBI Protein Information
steroidogenic acute regulatory protein, mitochondrial
UniProt Protein Name
Steroidogenic acute regulatory protein, mitochondrial
UniProt Gene Name
STAR
UniProt Synonym Gene Names
STARD1; StAR; StARD1
UniProt Entry Name
STAR_HUMAN
Customer Reviews
Loading reviews...
Share Your Experience
Similar Products
Product Notes
The STAR star (Catalog #AAA308043) is an Antibody produced from Rabbit and is intended for research purposes only. The product is available for immediate purchase. The STAR Antibody reacts with Human, Mouse, Rat and may cross-react with other species as described in the data sheet. AAA Biotech's STAR can be used in a range of immunoassay formats including, but not limited to, IHC (Immunohistochemistry), WB (Western Blot). Researchers should empirically determine the suitability of the STAR star for an application not listed in the data sheet. Researchers commonly develop new applications and it is an integral, important part of the investigative research process. It is sometimes possible for the material contained within the vial of "STAR, Polyclonal Antibody" to become dispersed throughout the inside of the vial, particularly around the seal of said vial, during shipment and storage. We always suggest centrifuging these vials to consolidate all of the liquid away from the lid and to the bottom of the vial prior to opening. Please be advised that certain products may require dry ice for shipping and that, if this is the case, an additional dry ice fee may also be required.Precautions
All products in the AAA Biotech catalog are strictly for research-use only, and are absolutely not suitable for use in any sort of medical, therapeutic, prophylactic, in-vivo, or diagnostic capacity. By purchasing a product from AAA Biotech, you are explicitly certifying that said products will be properly tested and used in line with industry standard. AAA Biotech and its authorized distribution partners reserve the right to refuse to fulfill any order if we have any indication that a purchaser may be intending to use a product outside of our accepted criteria.Disclaimer
Though we do strive to guarantee the information represented in this datasheet, AAA Biotech cannot be held responsible for any oversights or imprecisions. AAA Biotech reserves the right to adjust any aspect of this datasheet at any time and without notice. It is the responsibility of the customer to inform AAA Biotech of any product performance issues observed or experienced within 30 days of receipt of said product. To see additional details on this or any of our other policies, please see our Terms & Conditions page.Item has been added to Shopping Cart
If you are ready to order, navigate to Shopping Cart and get ready to checkout.
