Rabbit STAT3 Polyclonal Antibody | anti-STAT3 antibody
STAT3 Antibody (Ser727)
Gene Names
STAT3; APRF; HIES; ADMIO; ADMIO1
Applications
Immunofluorescence, Immunohistochemistry, Western Blot
Purity
Affinity Chromatography
Synonyms
STAT3, Antibody; STAT3 Antibody (Ser727); Rabbit Polyclonal STAT3 Antibody (Ser727); Polyclonal STAT3 antibody; Anti-STAT3 antibody; FLJ20882 antibody; HIES antibody; MGC16063 antibody; Signal transducer and activator of transcription 3 antibody; signal transducer and activator of transcription 3 (acute-phase response factor) antibody; STAT3 antibody; Acute-phase response factor antibody; APRF antibody; DNA-binding protein APRF antibody; anti-STAT3 antibody
Host
Rabbit
Clonality
Polyclonal
Isotype
IgG
Specificity
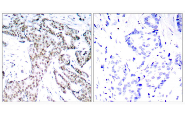
STAT3 antibody (Ser727) detects endogenous levels of STAT3 only when phosphorylated at serine 727
Purity/Purification
Affinity Chromatography
Form/Format
Supplied in PBS buffer (without Mg2+ and Ca2+), pH 7.4, 150mM NaCl, 0.02% Sodium Azide and 50% Glycerol
Concentration
1 mg/ml (varies by lot)
Sequence Length
51
Applicable Applications for anti-STAT3 antibody
IF (Immunofluorescence), IHC (Immunohistochemistry), WB (Western Blot)
Immunogen
STAT3 antibody was raised in Rabbit using a synthesized phosphopeptide derived from human STAT3 around the phosphorylation site of serine 727 (P-M-SP-P-R) as the immunogen.
Cross-Reactivity
Mouse, Rat
Preparation and Storage
Store at -20 degree C in small aliquots. Avoid repeat freeze/thaw cycles.
Related Product Information for anti-STAT3 antibody
STAT3 is a member of the STAT protein family. In response to cytokines and growth factors, STAT family members are phosphorylated by the receptor associated kinases, and then form homo- or heterodimers that translocate to the cell nucleus where they act as transcription activators.
Product Categories/Family for anti-STAT3 antibody
NCBI and Uniprot Product Information
NCBI GI #
NCBI GeneID
NCBI Official Full Name
STAT3, partial
NCBI Official Synonym Full Names
signal transducer and activator of transcription 3
NCBI Official Symbol
STAT3
NCBI Official Synonym Symbols
APRF; HIES; ADMIO; ADMIO1
NCBI Protein Information
signal transducer and activator of transcription 3
Customer Reviews
Loading reviews...
Share Your Experience
Similar Products
Product Notes
The STAT3 (Catalog #AAA226014) is an Antibody produced from Rabbit and is intended for research purposes only. The product is available for immediate purchase. AAA Biotech's STAT3 can be used in a range of immunoassay formats including, but not limited to, IF (Immunofluorescence), IHC (Immunohistochemistry), WB (Western Blot). Researchers should empirically determine the suitability of the STAT3 for an application not listed in the data sheet. Researchers commonly develop new applications and it is an integral, important part of the investigative research process. It is sometimes possible for the material contained within the vial of "STAT3, Polyclonal Antibody" to become dispersed throughout the inside of the vial, particularly around the seal of said vial, during shipment and storage. We always suggest centrifuging these vials to consolidate all of the liquid away from the lid and to the bottom of the vial prior to opening. Please be advised that certain products may require dry ice for shipping and that, if this is the case, an additional dry ice fee may also be required.Precautions
All products in the AAA Biotech catalog are strictly for research-use only, and are absolutely not suitable for use in any sort of medical, therapeutic, prophylactic, in-vivo, or diagnostic capacity. By purchasing a product from AAA Biotech, you are explicitly certifying that said products will be properly tested and used in line with industry standard. AAA Biotech and its authorized distribution partners reserve the right to refuse to fulfill any order if we have any indication that a purchaser may be intending to use a product outside of our accepted criteria.Disclaimer
Though we do strive to guarantee the information represented in this datasheet, AAA Biotech cannot be held responsible for any oversights or imprecisions. AAA Biotech reserves the right to adjust any aspect of this datasheet at any time and without notice. It is the responsibility of the customer to inform AAA Biotech of any product performance issues observed or experienced within 30 days of receipt of said product. To see additional details on this or any of our other policies, please see our Terms & Conditions page.Item has been added to Shopping Cart
If you are ready to order, navigate to Shopping Cart and get ready to checkout.
