Rabbit STK3 Polyclonal Antibody | anti-STK3 antibody
STK3 Rabbit Polyclonal Antibody
Gene Names
STK3; KRS1; MST2
Reactivity
Human, Mouse, Rat
Applications
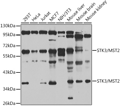
Immunofluorescence, Western Blot
Purity
Affinity purification
Synonyms
STK3, Antibody; STK3 Rabbit Polyclonal Antibody; KRS1; MST2; STK3; anti-STK3 antibody
Host
Rabbit
Reactivity
Human, Mouse, Rat
Clonality
Polyclonal
Isotype
IgG
Purity/Purification
Affinity purification
Form/Format
PBS with 0.02% sodium azide, 50% glycerol, pH7.3.
Applicable Applications for anti-STK3 antibody
IF (Immunofluorescence), WB (Western Blot)
Immunogen
Recombinant fusion protein of human STK3/MST2 (NP_006272.2).
Preparation and Storage
Store at -20 degree C. Avoid freeze/thaw cycles.
Related Product Information for anti-STK3 antibody
This gene encodes a serine/threonine protein kinase activated by proapoptotic molecules indicating the encoded protein functions as a growth suppressor. Cleavage of the protein product by caspase removes the inhibitory C-terminal portion. The N-terminal portion is transported to the nucleus where it homodimerizes to form the active kinase which promotes the condensation of chromatin during apoptosis. Multiple transcript variants encoding different isoforms have been found for this gene.
Product Categories/Family for anti-STK3 antibody
NCBI and Uniprot Product Information
NCBI GI #
NCBI GeneID
NCBI Accession #
NCBI GenBank Nucleotide #
Molecular Weight
59,462 Da
NCBI Official Full Name
serine/threonine-protein kinase 3 isoform 2
NCBI Official Synonym Full Names
serine/threonine kinase 3
NCBI Official Symbol
STK3
NCBI Official Synonym Symbols
KRS1; MST2
NCBI Protein Information
serine/threonine-protein kinase 3
UniProt Protein Name
Serine/threonine-protein kinase 3
UniProt Gene Name
STK3
UniProt Synonym Gene Names
KRS1; MST2; MST-2; MST2/N; MST2/C
Customer Reviews
Loading reviews...
Share Your Experience
Similar Products
Product Notes
The STK3 stk3 (Catalog #AAA313968) is an Antibody produced from Rabbit and is intended for research purposes only. The product is available for immediate purchase. The STK3 Rabbit Polyclonal Antibody reacts with Human, Mouse, Rat and may cross-react with other species as described in the data sheet. AAA Biotech's STK3 can be used in a range of immunoassay formats including, but not limited to, IF (Immunofluorescence), WB (Western Blot). Researchers should empirically determine the suitability of the STK3 stk3 for an application not listed in the data sheet. Researchers commonly develop new applications and it is an integral, important part of the investigative research process. It is sometimes possible for the material contained within the vial of "STK3, Polyclonal Antibody" to become dispersed throughout the inside of the vial, particularly around the seal of said vial, during shipment and storage. We always suggest centrifuging these vials to consolidate all of the liquid away from the lid and to the bottom of the vial prior to opening. Please be advised that certain products may require dry ice for shipping and that, if this is the case, an additional dry ice fee may also be required.Precautions
All products in the AAA Biotech catalog are strictly for research-use only, and are absolutely not suitable for use in any sort of medical, therapeutic, prophylactic, in-vivo, or diagnostic capacity. By purchasing a product from AAA Biotech, you are explicitly certifying that said products will be properly tested and used in line with industry standard. AAA Biotech and its authorized distribution partners reserve the right to refuse to fulfill any order if we have any indication that a purchaser may be intending to use a product outside of our accepted criteria.Disclaimer
Though we do strive to guarantee the information represented in this datasheet, AAA Biotech cannot be held responsible for any oversights or imprecisions. AAA Biotech reserves the right to adjust any aspect of this datasheet at any time and without notice. It is the responsibility of the customer to inform AAA Biotech of any product performance issues observed or experienced within 30 days of receipt of said product. To see additional details on this or any of our other policies, please see our Terms & Conditions page.Item has been added to Shopping Cart
If you are ready to order, navigate to Shopping Cart and get ready to checkout.
