Rabbit anti-Human, Mouse STK32A Polyclonal Antibody | anti-STK32A antibody
STK32A Polyclonal Antibody
Gene Names
STK32A; YANK1
Reactivity
Human, Mouse
Applications
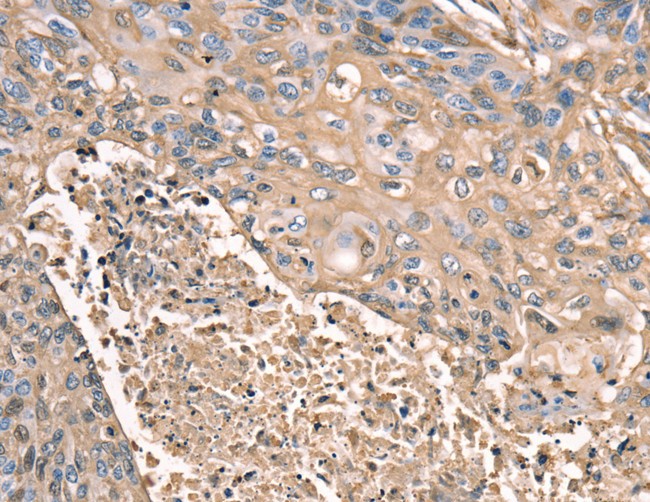
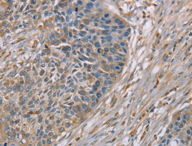
ELISA, Immunohistochemistry, Western Blot
Purity
Antigen Affinity Purification
Synonyms
STK32A, Antibody; STK32A Polyclonal Antibody; A930015B13Rik; MGC22688; Serine/threonine kinase 32A; Serine/threonine protein kinase 32A; Serine/threonine-protein kinase 32A; ST32A; STK 32A; Stk32a; YANK 1; YANK1; Yet another novel kinase 1; anti-STK32A antibody
Host
Rabbit
Reactivity
Human, Mouse
Clonality
Polyclonal
Isotype
IgG
Purity/Purification
Antigen Affinity Purification
Form/Format
PBS with 0.05% NaN3 and 40% Glycerol, pH7.4
Concentration
1.68mg/mL (varies by lot)
Sequence Length
166
Applicable Applications for anti-STK32A antibody
ELISA, IHC (Immunohistochemistry), WB (Western Blot)
Immunogen
Fusion protein of human STK32A
Conjugation
Unconjugated
Preparation and Storage
Store at -20 degree C. Avoid freeze/thaw cycles.
Related Product Information for anti-STK32A antibody
STK32A (serine/threonine kinase 32A), also known as YANK1, is a 396 amino acid protein that belongs to the superfamily of serine/threonine protein kinases and exists as three isoforms. The gene encoding STK32A maps to human chromosome 5, which is associated with Cockayne syndrome through the ERCC8 gene and familial adenomatous polyposis through the adenomatous polyposis coli (APC) tumor suppressor gene. Treacher Collins syndrome is also chromosome 5 associated and is caused by insertions or deletions within the TCOF1 gene.
Product Categories/Family for anti-STK32A antibody
NCBI and Uniprot Product Information
NCBI GI #
NCBI GeneID
NCBI GenBank Nucleotide #
UniProt Accession #
Molecular Weight
46 kDa
NCBI Official Full Name
serine/threonine-protein kinase 32A isoform 2
NCBI Official Synonym Full Names
serine/threonine kinase 32A
NCBI Official Symbol
STK32A
NCBI Official Synonym Symbols
YANK1
NCBI Protein Information
serine/threonine-protein kinase 32A
UniProt Protein Name
Serine/threonine-protein kinase 32A
UniProt Gene Name
STK32A
UniProt Synonym Gene Names
YANK1
UniProt Entry Name
ST32A_HUMAN
Customer Reviews
Loading reviews...
Share Your Experience
Similar Products
Product Notes
The STK32A stk32a (Catalog #AAA175579) is an Antibody produced from Rabbit and is intended for research purposes only. The product is available for immediate purchase. The STK32A Polyclonal Antibody reacts with Human, Mouse and may cross-react with other species as described in the data sheet. AAA Biotech's STK32A can be used in a range of immunoassay formats including, but not limited to, ELISA, IHC (Immunohistochemistry), WB (Western Blot). Researchers should empirically determine the suitability of the STK32A stk32a for an application not listed in the data sheet. Researchers commonly develop new applications and it is an integral, important part of the investigative research process. It is sometimes possible for the material contained within the vial of "STK32A, Polyclonal Antibody" to become dispersed throughout the inside of the vial, particularly around the seal of said vial, during shipment and storage. We always suggest centrifuging these vials to consolidate all of the liquid away from the lid and to the bottom of the vial prior to opening. Please be advised that certain products may require dry ice for shipping and that, if this is the case, an additional dry ice fee may also be required.Precautions
All products in the AAA Biotech catalog are strictly for research-use only, and are absolutely not suitable for use in any sort of medical, therapeutic, prophylactic, in-vivo, or diagnostic capacity. By purchasing a product from AAA Biotech, you are explicitly certifying that said products will be properly tested and used in line with industry standard. AAA Biotech and its authorized distribution partners reserve the right to refuse to fulfill any order if we have any indication that a purchaser may be intending to use a product outside of our accepted criteria.Disclaimer
Though we do strive to guarantee the information represented in this datasheet, AAA Biotech cannot be held responsible for any oversights or imprecisions. AAA Biotech reserves the right to adjust any aspect of this datasheet at any time and without notice. It is the responsibility of the customer to inform AAA Biotech of any product performance issues observed or experienced within 30 days of receipt of said product. To see additional details on this or any of our other policies, please see our Terms & Conditions page.Item has been added to Shopping Cart
If you are ready to order, navigate to Shopping Cart and get ready to checkout.
