Rabbit SUMO1 Polyclonal Antibody | anti-SUMO1 antibody
SUMO1 Antibody (C-term)
FCM/FACS (Flow Cytometry)
(SUMO1 Antibody (C-term) flow cytometric analysis of Hela cells (right histogram) compared to a negative control cell (left histogram).FITC-conjugated goat-anti-rabbit secondary antibodies were used for the analysis.)
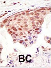
IHC (Immunohistochemisry)
(Formalin-fixed and paraffin-embedded human cancer tissue reacted with the primary antibody, which was peroxidase-conjugated to the secondary antibody, followed by DAB staining. This data demonstrates the use of this antibody for immunohistochemistry; clinical relevance has not been evaluated. BC = breast carcinoma; HC = hepatocarcinoma.)
WB (Western Blot)
(COS-7 cells were transfected for 24 hrs with a plasmid expressing DYKDDDDK-ERM (left panels) or DYKDDDDK-ERM KR12345 (right panels). Untreated (-) and H2O2-treated (+) cells were collected for immunoblot analysis. Top panels: cell lysates probed by western blot (WB) with an anti-ERM antibody. Center panels: cell lysates immunoprecipitated (IP) with an anti-DYKDDDDK antibody followed by WB with AAA285034 SUMO-1 antibody. Bottom panels: cell lysates immunoprecipitated with an anti-DYKDDDDK antibody followed by WB with AP1224a SUMO-2/3 antibody. (*) represents immunoprecipitated ERM-like forms recognized by anti-SUMO antibodies.)
WB (Western Blot)
(The anti-SUMO1 polyclonal antibody is used in Western blot to detect GST-SUMO1 fusion protein.)
NCBI and Uniprot Product Information
Customer Reviews
Loading reviews...
Share Your Experience
Similar Products
Product Notes
The SUMO1 sumo1 (Catalog #AAA285034) is an Antibody produced from Rabbit and is intended for research purposes only. The product is available for immediate purchase. The immunogen sequence is 55-86. The SUMO1 Antibody (C-term) reacts with Human (Predicted Reactivity: Bovine, Mouse, Pig, Rat) and may cross-react with other species as described in the data sheet. AAA Biotech's SUMO1 can be used in a range of immunoassay formats including, but not limited to, FCM/FACS (Flow Cytometry), IHC (Immunohistochemistry), ELISA, WB (Western Blot). Researchers should empirically determine the suitability of the SUMO1 sumo1 for an application not listed in the data sheet. Researchers commonly develop new applications and it is an integral, important part of the investigative research process. It is sometimes possible for the material contained within the vial of "SUMO1, Polyclonal Antibody" to become dispersed throughout the inside of the vial, particularly around the seal of said vial, during shipment and storage. We always suggest centrifuging these vials to consolidate all of the liquid away from the lid and to the bottom of the vial prior to opening. Please be advised that certain products may require dry ice for shipping and that, if this is the case, an additional dry ice fee may also be required.Precautions
All products in the AAA Biotech catalog are strictly for research-use only, and are absolutely not suitable for use in any sort of medical, therapeutic, prophylactic, in-vivo, or diagnostic capacity. By purchasing a product from AAA Biotech, you are explicitly certifying that said products will be properly tested and used in line with industry standard. AAA Biotech and its authorized distribution partners reserve the right to refuse to fulfill any order if we have any indication that a purchaser may be intending to use a product outside of our accepted criteria.Disclaimer
Though we do strive to guarantee the information represented in this datasheet, AAA Biotech cannot be held responsible for any oversights or imprecisions. AAA Biotech reserves the right to adjust any aspect of this datasheet at any time and without notice. It is the responsibility of the customer to inform AAA Biotech of any product performance issues observed or experienced within 30 days of receipt of said product. To see additional details on this or any of our other policies, please see our Terms & Conditions page.Item has been added to Shopping Cart
If you are ready to order, navigate to Shopping Cart and get ready to checkout.
