Rabbit SUMO1 Polyclonal Antibody | anti-SUMO1 antibody
SUMO1 Polyclonal Antibody
Gene Names
SUMO1; DAP1; GMP1; PIC1; SMT3; UBL1; OFC10; SENP2; SMT3C; SMT3H3
Reactivity
Human, Mouse, Rat
Applications
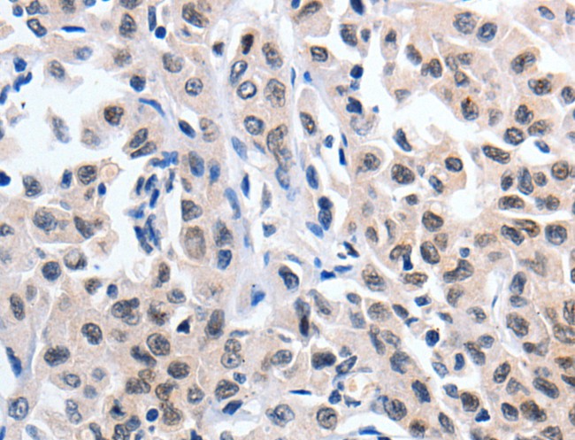
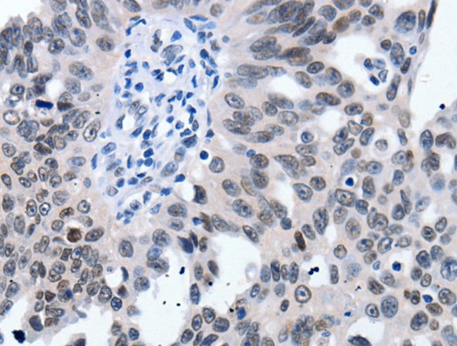
Immunohistochemistry, ELISA
Purity
Antigen affinity purification
Synonyms
SUMO1, Antibody; SUMO1 Polyclonal Antibody; DAP1, GMP1, PIC1, SMT3, UBL1, OFC10, SENP2, SMT3C, SMT3H3; anti-SUMO1 antibody
Host
Rabbit
Reactivity
Human, Mouse, Rat
Clonality
Polyclonal
Isotype
IgG
Purity/Purification
Antigen affinity purification
Concentration
0.8mg/mL (varies by lot)
Sequence Length
76
Applicable Applications for anti-SUMO1 antibody
IHC (Immunohistochemistry), ELISA
Immunogen
Synthetic peptide of human SUMO1
Buffer
PBS with 0.05% sodium azide, 50% glycerol, pH7.3
Preparation and Storage
Store at -20 degree C (regular) and -80 degree C (long term). Avoid freeze / thaw cycles.
Related Product Information for anti-SUMO1 antibody
This gene encodes a protein that is a member of the SUMO (small ubiquitin-like modifier) protein family. It functions in a manner similar to ubiquitin in that it is bound to target proteins as part of a post-translational modification system. However, unlike ubiquitin which targets proteins for degradation, this protein is involved in a variety of cellular processes, such as nuclear transport, transcriptional regulation, apoptosis, and protein stability. It is not active until the last four amino acids of the carboxy-terminus have been cleaved off. Several pseudogenes have been reported for this gene. Alternate transcriptional splice variants encoding different isoforms have been characterized.
Product Categories/Family for anti-SUMO1 antibody
NCBI and Uniprot Product Information
NCBI GI #
NCBI GeneID
NCBI Accession #
NCBI GenBank Nucleotide #
Molecular Weight
8,799 Da
NCBI Official Full Name
small ubiquitin-related modifier 1 isoform b
NCBI Official Synonym Full Names
small ubiquitin-like modifier 1
NCBI Official Symbol
SUMO1
NCBI Official Synonym Symbols
DAP1; GMP1; PIC1; SMT3; UBL1; OFC10; SENP2; SMT3C; SMT3H3
NCBI Protein Information
small ubiquitin-related modifier 1; GAP modifying protein 1; SMT3 homolog 3; SMT3 suppressor of mif two 3 homolog 1; sentrin; ubiquitin-homology domain protein PIC1; ubiquitin-like protein SMT3C; ubiquitin-like protein UBL1
UniProt Protein Name
Small ubiquitin-related modifier 1
UniProt Gene Name
SUMO1
UniProt Synonym Gene Names
SMT3C; SMT3H3; UBL1; SUMO-1; GMP1; Smt3C
UniProt Entry Name
SUMO1_HUMAN
Similar Products
Product Notes
The SUMO1 sumo1 (Catalog #AAA166990) is an Antibody produced from Rabbit and is intended for research purposes only. The product is available for immediate purchase. The SUMO1 Polyclonal Antibody reacts with Human, Mouse, Rat and may cross-react with other species as described in the data sheet. AAA Biotech's SUMO1 can be used in a range of immunoassay formats including, but not limited to, IHC (Immunohistochemistry), ELISA. Researchers should empirically determine the suitability of the SUMO1 sumo1 for an application not listed in the data sheet. Researchers commonly develop new applications and it is an integral, important part of the investigative research process. It is sometimes possible for the material contained within the vial of "SUMO1, Polyclonal Antibody" to become dispersed throughout the inside of the vial, particularly around the seal of said vial, during shipment and storage. We always suggest centrifuging these vials to consolidate all of the liquid away from the lid and to the bottom of the vial prior to opening. Please be advised that certain products may require dry ice for shipping and that, if this is the case, an additional dry ice fee may also be required.Precautions
All products in the AAA Biotech catalog are strictly for research-use only, and are absolutely not suitable for use in any sort of medical, therapeutic, prophylactic, in-vivo, or diagnostic capacity. By purchasing a product from AAA Biotech, you are explicitly certifying that said products will be properly tested and used in line with industry standard. AAA Biotech and its authorized distribution partners reserve the right to refuse to fulfill any order if we have any indication that a purchaser may be intending to use a product outside of our accepted criteria.Disclaimer
Though we do strive to guarantee the information represented in this datasheet, AAA Biotech cannot be held responsible for any oversights or imprecisions. AAA Biotech reserves the right to adjust any aspect of this datasheet at any time and without notice. It is the responsibility of the customer to inform AAA Biotech of any product performance issues observed or experienced within 30 days of receipt of said product. To see additional details on this or any of our other policies, please see our Terms & Conditions page.Item has been added to Shopping Cart
If you are ready to order, navigate to Shopping Cart and get ready to checkout.
