Rabbit anti-Human Suppressor of cytokine signaling 1 Polyclonal Antibody | anti-SOCS1 antibody
Rabbit anti-human Suppressor of cytokine signaling 1 polyclonal Antibody
Gene Names
SOCS1; JAB; CIS1; SSI1; TIP3; CISH1; SSI-1; SOCS-1
Reactivity
Human
Applications
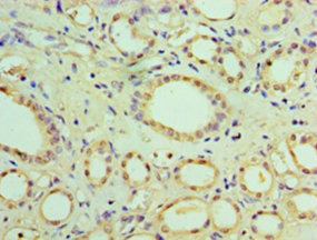
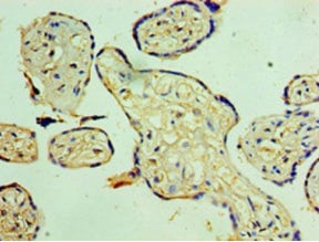
Immunohistochemistry, ELISA
Purity
Caprylic Acid Ammonium Sulfate Precipitation purified
Synonyms
Suppressor of cytokine signaling 1, Antibody; Rabbit anti-human Suppressor of cytokine signaling 1 polyclonal Antibody; JAK-binding protein STAT-induced STAT inhibitor 1 Tec-interacting protein 3 SOCS1 SSI1; TIP3; anti-SOCS1 antibody
Host
Rabbit
Reactivity
Human
Clonality
Polyclonal
Isotype
IgG
Purity/Purification
Caprylic Acid Ammonium Sulfate Precipitation purified
Form/Format
Liquid
Sequence Length
211
Applicable Applications for anti-SOCS1 antibody
IHC (Immunohistochemistry), ELISA
Immunogen
Recombinant human Suppressor of cytokine signaling 1 protein
Conjugation
Non-conjugated
Storage Buffer
Preservative: 0.03% Proclin 300; Constituents: 50% Glycerol, 0.01M PBS, PH 7.4
Santa Cruz Alternative
Potential replacement for Santa Cruz Biotechnology antibody catalog# sc-7006 / sc-9021
Preparation and Storage
Shipped at 4 degree C. Upon delivery, aliquot and store at -20 degree C or -80 degree C.
Related Product Information for anti-SOCS1 antibody
SOCS family proteins form part of a classical negative feedback system that regulates cytokine signal transduction. SOCS1 is involved in negative regulation of cytokines that signal through the JAK/STAT3 pathway. Through binding to JAKs, inhibits their kinase activity. In vitro, also suppresses Tec protein-tyrosine activity. Appears to be a major regulator of signaling by interleukin 6 (IL6) and leukemia inhibitory factor (LIF). Regulates interferon-gamma mediated sensory neuron survival By similarity. Probable substrate recognition component of an ECS (Elongin BC-CUL2/5-SOCS-box protein) E3 ubiquitin ligase complex which mediates the ubiquitination and subsequent proteasomal degradation of target proteins. Seems to recognize JAK2. SOCS1 appears to be a negative regulator in IGF1R signaling pathway.
This gene encodes a member of the STAT-induced STAT inhibitor (SSI), also known as suppressor of cytokine signaling (SOCS), family. SSI family members are cytokine-inducible negative regulators of cytokine signaling. The expression of this gene can be induced by a subset of cytokines, including IL2, IL3 erythropoietin (EPO), CSF2/GM-CSF, and interferon (IFN)-gamma. This protein functions downstream of cytokine receptors, and takes part in a negative feedback loop to attenuate cytokine signaling. Knockout studies in mice suggested the role of this gene as a modulator of IFN-gamma action, which is required for normal postnatal growth and survival.
This gene encodes a member of the STAT-induced STAT inhibitor (SSI), also known as suppressor of cytokine signaling (SOCS), family. SSI family members are cytokine-inducible negative regulators of cytokine signaling. The expression of this gene can be induced by a subset of cytokines, including IL2, IL3 erythropoietin (EPO), CSF2/GM-CSF, and interferon (IFN)-gamma. This protein functions downstream of cytokine receptors, and takes part in a negative feedback loop to attenuate cytokine signaling. Knockout studies in mice suggested the role of this gene as a modulator of IFN-gamma action, which is required for normal postnatal growth and survival.
Product Categories/Family for anti-SOCS1 antibody
NCBI and Uniprot Product Information
NCBI GI #
NCBI GeneID
NCBI Accession #
NCBI GenBank Nucleotide #
Molecular Weight
23,551 Da
NCBI Official Full Name
suppressor of cytokine signaling 1
NCBI Official Synonym Full Names
suppressor of cytokine signaling 1
NCBI Official Symbol
SOCS1
NCBI Official Synonym Symbols
JAB; CIS1; SSI1; TIP3; CISH1; SSI-1; SOCS-1
NCBI Protein Information
suppressor of cytokine signaling 1
UniProt Protein Name
Suppressor of cytokine signaling 1
UniProt Gene Name
SOCS1
UniProt Synonym Gene Names
SSI1; TIP3; SOCS-1; JAB; SSI-1; TIP-3
UniProt Entry Name
SOCS1_HUMAN
Customer Reviews
Loading reviews...
Share Your Experience
Similar Products
Product Notes
The SOCS1 socs1 (Catalog #AAA229602) is an Antibody produced from Rabbit and is intended for research purposes only. The product is available for immediate purchase. The Rabbit anti-human Suppressor of cytokine signaling 1 polyclonal Antibody reacts with Human and may cross-react with other species as described in the data sheet. AAA Biotech's Suppressor of cytokine signaling 1 can be used in a range of immunoassay formats including, but not limited to, IHC (Immunohistochemistry), ELISA. Researchers should empirically determine the suitability of the SOCS1 socs1 for an application not listed in the data sheet. Researchers commonly develop new applications and it is an integral, important part of the investigative research process. It is sometimes possible for the material contained within the vial of "Suppressor of cytokine signaling 1, Polyclonal Antibody" to become dispersed throughout the inside of the vial, particularly around the seal of said vial, during shipment and storage. We always suggest centrifuging these vials to consolidate all of the liquid away from the lid and to the bottom of the vial prior to opening. Please be advised that certain products may require dry ice for shipping and that, if this is the case, an additional dry ice fee may also be required.Precautions
All products in the AAA Biotech catalog are strictly for research-use only, and are absolutely not suitable for use in any sort of medical, therapeutic, prophylactic, in-vivo, or diagnostic capacity. By purchasing a product from AAA Biotech, you are explicitly certifying that said products will be properly tested and used in line with industry standard. AAA Biotech and its authorized distribution partners reserve the right to refuse to fulfill any order if we have any indication that a purchaser may be intending to use a product outside of our accepted criteria.Disclaimer
Though we do strive to guarantee the information represented in this datasheet, AAA Biotech cannot be held responsible for any oversights or imprecisions. AAA Biotech reserves the right to adjust any aspect of this datasheet at any time and without notice. It is the responsibility of the customer to inform AAA Biotech of any product performance issues observed or experienced within 30 days of receipt of said product. To see additional details on this or any of our other policies, please see our Terms & Conditions page.Item has been added to Shopping Cart
If you are ready to order, navigate to Shopping Cart and get ready to checkout.
