Host
Rabbit
Reactivity
Human
Clonality
Polyclonal
Purity/Purification
Antigen affinity purification
Form/Format
pH7.4 PBS, 0.05% NaN3, 40% Glycerol
Concentration
1.1mg/mL (varies by lot)
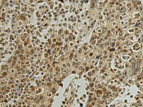
Applicable Applications for anti-SURF6 antibody
IHC (Immunohistochemistry)
Immunogen
Fusion protein of human SURF6
Conjugation
Unconjugated
Preparation and Storage
Store at -20 degree C for 1 year.
Related Product Information for anti-SURF6 antibody
This gene encodes a conserved protein that is localized to the nucleolus. The encoded protein may function as a nucleolar-matrix protein with nucleic acid-binding properties. There is a pseudogene for this gene on chromosome Y. Alternative splicing results in multiple transcript variants.
Product Categories/Family for anti-SURF6 antibody
NCBI and Uniprot Product Information
NCBI GI #
NCBI GeneID
Molecular Weight
41,450 Da
NCBI Official Full Name
Homo sapiens surfeit 6, mRNA
NCBI Official Synonym Full Names
surfeit 6
NCBI Official Symbol
SURF6
NCBI Official Synonym Symbols
RRP14
NCBI Protein Information
surfeit locus protein 6
UniProt Protein Name
Ankyrin repeat and SAM domain-containing protein 6
UniProt Gene Name
ANKS6
UniProt Synonym Gene Names
ANKRD14; PKDR1; SAMD6; SAM domain-containing protein 6
UniProt Entry Name
ANKS6_HUMAN
Customer Reviews
Loading reviews...
Share Your Experience
Similar Products
Product Notes
The SURF6 anks6 (Catalog #AAA311726) is an Antibody produced from Rabbit and is intended for research purposes only. The product is available for immediate purchase. The SURF6 Antibody reacts with Human and may cross-react with other species as described in the data sheet. AAA Biotech's SURF6 can be used in a range of immunoassay formats including, but not limited to, IHC (Immunohistochemistry). Researchers should empirically determine the suitability of the SURF6 anks6 for an application not listed in the data sheet. Researchers commonly develop new applications and it is an integral, important part of the investigative research process. It is sometimes possible for the material contained within the vial of "SURF6, Polyclonal Antibody" to become dispersed throughout the inside of the vial, particularly around the seal of said vial, during shipment and storage. We always suggest centrifuging these vials to consolidate all of the liquid away from the lid and to the bottom of the vial prior to opening. Please be advised that certain products may require dry ice for shipping and that, if this is the case, an additional dry ice fee may also be required.Precautions
All products in the AAA Biotech catalog are strictly for research-use only, and are absolutely not suitable for use in any sort of medical, therapeutic, prophylactic, in-vivo, or diagnostic capacity. By purchasing a product from AAA Biotech, you are explicitly certifying that said products will be properly tested and used in line with industry standard. AAA Biotech and its authorized distribution partners reserve the right to refuse to fulfill any order if we have any indication that a purchaser may be intending to use a product outside of our accepted criteria.Disclaimer
Though we do strive to guarantee the information represented in this datasheet, AAA Biotech cannot be held responsible for any oversights or imprecisions. AAA Biotech reserves the right to adjust any aspect of this datasheet at any time and without notice. It is the responsibility of the customer to inform AAA Biotech of any product performance issues observed or experienced within 30 days of receipt of said product. To see additional details on this or any of our other policies, please see our Terms & Conditions page.Item has been added to Shopping Cart
If you are ready to order, navigate to Shopping Cart and get ready to checkout.
