anti-Human, Rat Surfactant protein D Polyclonal Antibody | anti-SFTPD antibody
Anti-Surfactant protein D Antibody
IHC (Immunohistochemistry)
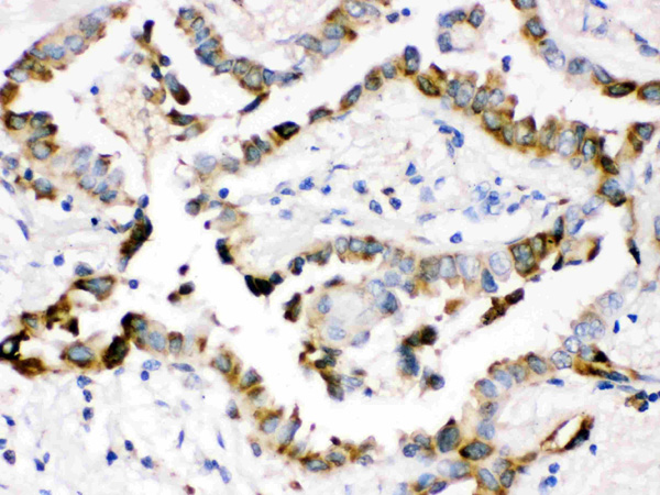
(Figure 5. IHC analysis of Surfactant protein D using anti-Surfactant protein D antibody (AAA46416).Surfactant protein D was detected in frozen section of human placenta tissue. Heat mediated antigen retrieval was performed in citrate buffer (pH6, epitope retrieval solution) for 20 mins. The tissue section was blocked with 10% goat serum. The tissue section was then incubated with 1ug/ml rabbit anti-Surfactant protein D Antibody (AAA46416) overnight at 4 degree C. Biotinylated goat anti-rabbit IgG was used as secondary antibody and incubated for 30 minutes at 37 degree C. The tissue section was developed using Strepavidin-Biotin-Complex (SABC) with DAB as the chromogen. 5)
IHC (Immunohistochemistry)
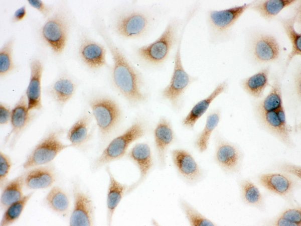
(Figure 4. IHC analysis of Surfactant protein D using anti-Surfactant protein D antibody (AAA46416).Surfactant protein D was detected in immunocytochemical section of Hela cell. Heat mediated antigen retrieval was performed in citrate buffer (pH6, epitope retrieval solution) for 20 mins. The tissue section was blocked with 10% goat serum. The tissue section was then incubated with 1ug/ml rabbit anti-Surfactant protein D Antibody (AAA46416) overnight at 4 degree C. Biotinylated goat anti-rabbit IgG was used as secondary antibody and incubated for 30 minutes at 37 degree C. The tissue section was developed using Strepavidin-Biotin-Complex (SABC) with DAB as the chromogen.)
IHC (Immunohistochemisry)
(Figure 3. IHC analysis of Surfactant protein D using anti-Surfactant protein D antibody (AAA46416).Surfactant protein D was detected in immunocytochemical section of A549 cell. Heat mediated antigen retrieval was performed in citrate buffer (pH6, epitope retrieval solution) for 20 mins. The tissue section was blocked with 10% goat serum. The tissue section was then incubated with 1ug/ml rabbit anti-Surfactant protein D Antibody (AAA46416) overnight at 4 degree C. Biotinylated goat anti-rabbit IgG was used as secondary antibody and incubated for 30 minutes at 37 degree C. The tissue section was developed using Strepavidin-Biotin-Complex (SABC) with DAB as the chromogen.)
IHC (Immunohiostchemistry)
(Anti- Surfactant protein D Picoband antibody, AAA46416, IHC(P)IHC(P): Human Lung Cancer Tissue)
WB (Western Blot)
(Anti- Surfactant protein D Picoband antibody, AAA46416, Western blottingAll lanes: Anti Surfactant protein D (AAA46416) at 0.5ug/mlLane 1: Rat Lung Tissue Lysate at 50ugLane 2: Rat Brain Tissue Lysate at 50ugLane 3: PANC Whole Cell Lysate at 40ugPredicted bind size: 38KDObserved bind size: 38KD)
Background: Surfactant, pulmonary-associated protein D, also known as SFTPD or SP-D, is a protein which in humans is encoded by the SFTPD gene. It is mapped to 10q22.2-q23.1. The protein encoded by this gene is part of the innate immune response, protecting the lungs against inhaled microorganisms and chemicals. The encoded protein may also be involved in surfactant metabolism.
NCBI and Uniprot Product Information
Customer Reviews
Loading reviews...
Share Your Experience
Similar Products
Product Notes
The SFTPD sftpd (Catalog #AAA46416) is an Antibody and is intended for research purposes only. The product is available for immediate purchase. The Anti-Surfactant protein D Antibody reacts with Human, Rat and may cross-react with other species as described in the data sheet. AAA Biotech's Surfactant protein D can be used in a range of immunoassay formats including, but not limited to, ELISA, IHC (Immunohistochemistry), WB (Western Blot). Researchers should empirically determine the suitability of the SFTPD sftpd for an application not listed in the data sheet. Researchers commonly develop new applications and it is an integral, important part of the investigative research process. It is sometimes possible for the material contained within the vial of "Surfactant protein D, Polyclonal Antibody" to become dispersed throughout the inside of the vial, particularly around the seal of said vial, during shipment and storage. We always suggest centrifuging these vials to consolidate all of the liquid away from the lid and to the bottom of the vial prior to opening. Please be advised that certain products may require dry ice for shipping and that, if this is the case, an additional dry ice fee may also be required.Precautions
All products in the AAA Biotech catalog are strictly for research-use only, and are absolutely not suitable for use in any sort of medical, therapeutic, prophylactic, in-vivo, or diagnostic capacity. By purchasing a product from AAA Biotech, you are explicitly certifying that said products will be properly tested and used in line with industry standard. AAA Biotech and its authorized distribution partners reserve the right to refuse to fulfill any order if we have any indication that a purchaser may be intending to use a product outside of our accepted criteria.Disclaimer
Though we do strive to guarantee the information represented in this datasheet, AAA Biotech cannot be held responsible for any oversights or imprecisions. AAA Biotech reserves the right to adjust any aspect of this datasheet at any time and without notice. It is the responsibility of the customer to inform AAA Biotech of any product performance issues observed or experienced within 30 days of receipt of said product. To see additional details on this or any of our other policies, please see our Terms & Conditions page.Item has been added to Shopping Cart
If you are ready to order, navigate to Shopping Cart and get ready to checkout.
