Rabbit anti-Human TAGLN Polyclonal Antibody | anti-TAGLN antibody
TAGLN Antibody
Gene Names
TAGLN; SM22; SMCC; TAGLN1; WS3-10
Reactivity
Human
Applications
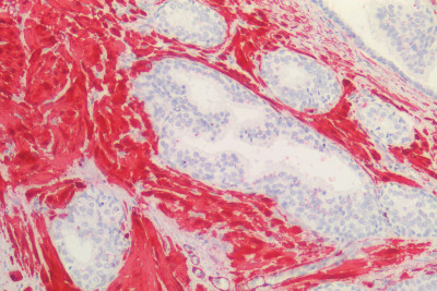
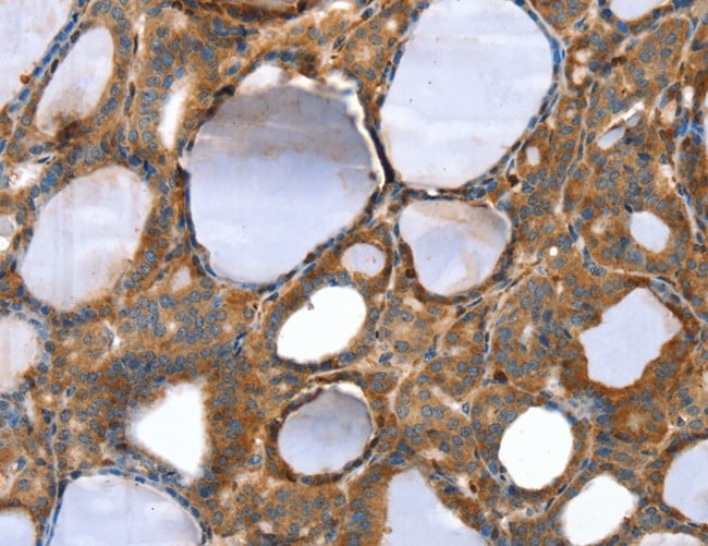
Immunohistochemistry
Purity
Antigen Affinity Purification
Synonyms
TAGLN, Antibody; TAGLN Antibody; SM22; SMCC; TAGLN1; WS3-10; anti-TAGLN antibody
Host
Rabbit
Reactivity
Human
Clonality
Polyclonal
Specificity
The antibody detects endogenous levels of total TAGLN protein.
Purity/Purification
Antigen Affinity Purification
Form/Format
Rabbit IgG in pH7.4 PBS, 0.05% NaN3, 40% Glycerol.
Concentration
1.6 mg/ml (varies by lot)
Sequence Length
201
Applicable Applications for anti-TAGLN antibody
IHC (Immunohistochemistry)
Immunogen
Fusion protein of human TAGLN
Immunogen Type
Protein
Preparation and Storage
Store at -20 degree C
Related Product Information for anti-TAGLN antibody
The protein encoded by this gene is a transformation and shape-change sensitive actin cross-linking/gelling protein found in fibroblasts and smooth muscle. Its expression is down-regulated in many cell lines, and this down-regulation may be an early and sensitive marker for the onset of transformation. A functional role of this protein is unclear. Two transcript variants encoding the same protein have been found for this gene.
Product Categories/Family for anti-TAGLN antibody
NCBI and Uniprot Product Information
NCBI GI #
NCBI GeneID
NCBI Accession #
NCBI GenBank Nucleotide #
Molecular Weight
22,611 Da
NCBI Official Full Name
transgelin
NCBI Official Synonym Full Names
transgelin
NCBI Official Symbol
TAGLN
NCBI Official Synonym Symbols
SM22; SMCC; TAGLN1; WS3-10
NCBI Protein Information
transgelin
UniProt Protein Name
Transgelin
UniProt Gene Name
TAGLN
UniProt Synonym Gene Names
SM22; WS3-10; SM22-alpha
UniProt Entry Name
TAGL_HUMAN
Customer Reviews
Loading reviews...
Share Your Experience
Similar Products
Product Notes
The TAGLN tagln (Catalog #AAA308858) is an Antibody produced from Rabbit and is intended for research purposes only. The product is available for immediate purchase. The TAGLN Antibody reacts with Human and may cross-react with other species as described in the data sheet. AAA Biotech's TAGLN can be used in a range of immunoassay formats including, but not limited to, IHC (Immunohistochemistry). Researchers should empirically determine the suitability of the TAGLN tagln for an application not listed in the data sheet. Researchers commonly develop new applications and it is an integral, important part of the investigative research process. It is sometimes possible for the material contained within the vial of "TAGLN, Polyclonal Antibody" to become dispersed throughout the inside of the vial, particularly around the seal of said vial, during shipment and storage. We always suggest centrifuging these vials to consolidate all of the liquid away from the lid and to the bottom of the vial prior to opening. Please be advised that certain products may require dry ice for shipping and that, if this is the case, an additional dry ice fee may also be required.Precautions
All products in the AAA Biotech catalog are strictly for research-use only, and are absolutely not suitable for use in any sort of medical, therapeutic, prophylactic, in-vivo, or diagnostic capacity. By purchasing a product from AAA Biotech, you are explicitly certifying that said products will be properly tested and used in line with industry standard. AAA Biotech and its authorized distribution partners reserve the right to refuse to fulfill any order if we have any indication that a purchaser may be intending to use a product outside of our accepted criteria.Disclaimer
Though we do strive to guarantee the information represented in this datasheet, AAA Biotech cannot be held responsible for any oversights or imprecisions. AAA Biotech reserves the right to adjust any aspect of this datasheet at any time and without notice. It is the responsibility of the customer to inform AAA Biotech of any product performance issues observed or experienced within 30 days of receipt of said product. To see additional details on this or any of our other policies, please see our Terms & Conditions page.Item has been added to Shopping Cart
If you are ready to order, navigate to Shopping Cart and get ready to checkout.
