Rabbit TBP Polyclonal Antibody | anti-TBP antibody
TBP Antibody
Phosphate buffered saline, pH 7.4, 150mM NaCl, 0.02% sodium azide and 50% glycerol.
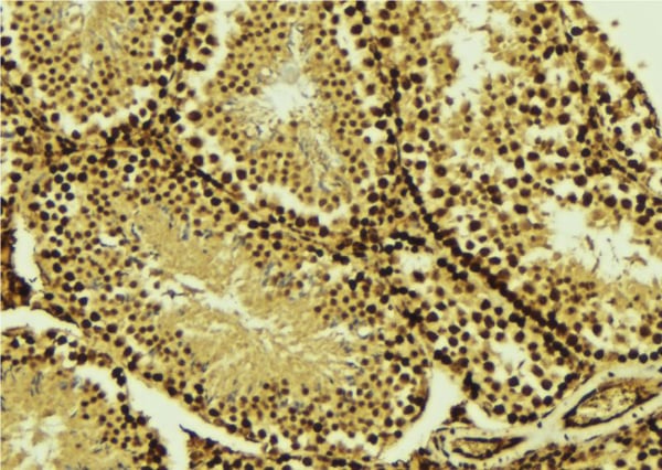
IHC (Immunohistochemisry)
(AAA322107 at 1/100 staining Mouse testis tissue by IHC-P. The sample was formaldehyde fixed and a heat mediated antigen retrieval step in citrate buffer was performed. The sample was then blocked and incubated with the antibody for 1.5 hours at 22 degree C. An HRP conjugated goat anti-rabbit antibody was used as the secondary.)
IF (Immunofluorescence)
(AAA322107 staining 293 by IF/ICC. The sample were fixed with PFA and permeabilized in 0.1% Triton X-100, then blocked in 10% serum for 45 minutes at 25 degree C. The primary antibody was diluted at 1/200 and incubated with the sample for 1 hour at 37 degree C. An Alexa Fluor 594 conjugated goat anti-rabbit IgG (H+L) Ab, diluted at 1/600, was used as the secondary antibody.)
Function: General transcription factor that functions at the core of the DNA-binding multiprotein factor TFIID (PubMed:2374612, PubMed:2363050, PubMed:2194289, PubMed:9836642, PubMed:27193682). Binding of TFIID to the TATA box is the initial transcriptional step of the pre-initiation complex (PIC), playing a role in the activation of eukaryotic genes transcribed by RNA polymerase II (PubMed:2374612, PubMed:2363050, PubMed:2194289, PubMed:9836642, PubMed:27193682). Component of a BRF2-containing transcription factor complex that regulates transcription mediated by RNA polymerase III (PubMed:26638071). Component of the transcription factor SL1/TIF-IB complex, which is involved in the assembly of the PIC (pre-initiation complex) during RNA polymerase I-dependent transcription (PubMed:15970593). The rate of PIC formation probably is primarily dependent on the rate of association of SL1 with the rDNA promoter. SL1 is involved in stabilization of nucleolar transcription factor 1/UBTF on rDNA.
Subunit Structure: Binds DNA as monomer (PubMed:2374612, PubMed:2194289). Belongs to the TFIID complex together with the TBP-associated factors (TAFs) (PubMed:9836642, PubMed:27007846). Part of a TFIID-containing RNA polymerase II pre-initiation complex that is composed of TBP and at least GTF2A1, GTF2A2, GTF2E1, GTF2E2, GTF2F1, GTF2H2, GTF2H3, GTF2H4, GTF2H5, GTF2B, TCEA1, ERCC2, ERCC3, TAF1, TAF2, TAF3, TAF4, TAF5, TAF6, TAF7, TAF8, TAF9, TAF10, TAF11, TAF12 and TAF13 (PubMed:27007846). Component of the transcription factor SL1/TIF-IB complex, composed of TBP and at least TAF1A, TAF1B, TAF1C and TAF1D (PubMed:7801123). Association of TBP to form either TFIID or SL1/TIF-IB appears to be mutually exclusive (PubMed:7801123). Interacts with TAF1A, TAF1B and TAF1C (PubMed:7801123). Interacts with TFIIB, NCOA6, DRAP1, DR1 and ELF3 (PubMed:10567404, PubMed:10391676, PubMed:11461703). Interacts with SPIB, SNAPC1, SNAPC2 and SNAPC4 (PubMed:10196196, PubMed:12621023). Interacts with UTF1 (PubMed:9748258). Interacts with BRF2; this interaction promotes recruitment of BRF2 to TATA box-containing promoters (PubMed:11564744, PubMed:26638071). Interacts with UBTF (PubMed:7982918). Interacts with GPBP1 (By similarity). Interacts with CITED2 (By similarity). Interacts with ATF7IP (Probable). Interacts with HIV-1 Tat (PubMed:8121496, PubMed:7608968, PubMed:15719058). Interacts with herpes simplex virus 1 ICP4 (PubMed:8392607). Interacts with human adenovirus E1A protein; this interaction probably disrupts the TBP-TATA complex (PubMed:8146144). Interacts with LLPH (By similarity). Interacts with HSF1 (via transactivation domain) (PubMed:11005381).
Similarity: Belongs to the TBP family.
NCBI and Uniprot Product Information
Predicted: 38 kDa
Customer Reviews
Loading reviews...
Share Your Experience
Similar Products
Product Notes
The TBP tbp (Catalog #AAA322107) is an Antibody produced from Rabbit and is intended for research purposes only. The product is available for immediate purchase. The TBP Antibody reacts with Human, Mouse, Rat and may cross-react with other species as described in the data sheet. AAA Biotech's TBP can be used in a range of immunoassay formats including, but not limited to, ELISA, ICC (Immunocytochemistry), IF (Immunofluorescence), IHC (Immunohistochemistry), WB (Western Blot). Researchers should empirically determine the suitability of the TBP tbp for an application not listed in the data sheet. Researchers commonly develop new applications and it is an integral, important part of the investigative research process. It is sometimes possible for the material contained within the vial of "TBP, Polyclonal Antibody" to become dispersed throughout the inside of the vial, particularly around the seal of said vial, during shipment and storage. We always suggest centrifuging these vials to consolidate all of the liquid away from the lid and to the bottom of the vial prior to opening. Please be advised that certain products may require dry ice for shipping and that, if this is the case, an additional dry ice fee may also be required.Precautions
All products in the AAA Biotech catalog are strictly for research-use only, and are absolutely not suitable for use in any sort of medical, therapeutic, prophylactic, in-vivo, or diagnostic capacity. By purchasing a product from AAA Biotech, you are explicitly certifying that said products will be properly tested and used in line with industry standard. AAA Biotech and its authorized distribution partners reserve the right to refuse to fulfill any order if we have any indication that a purchaser may be intending to use a product outside of our accepted criteria.Disclaimer
Though we do strive to guarantee the information represented in this datasheet, AAA Biotech cannot be held responsible for any oversights or imprecisions. AAA Biotech reserves the right to adjust any aspect of this datasheet at any time and without notice. It is the responsibility of the customer to inform AAA Biotech of any product performance issues observed or experienced within 30 days of receipt of said product. To see additional details on this or any of our other policies, please see our Terms & Conditions page.Item has been added to Shopping Cart
If you are ready to order, navigate to Shopping Cart and get ready to checkout.
