Host
Rabbit
Reactivity
Human
Clonality
Polyclonal
Specificity
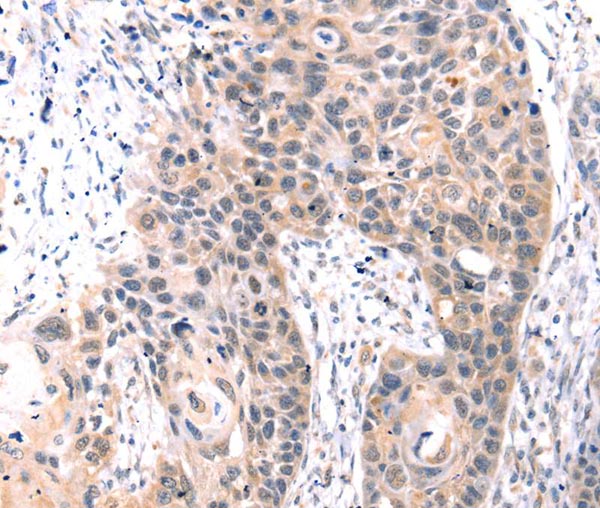
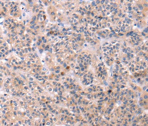
The antibody detects endogenous levels of total TCERG1L protein.
Purity/Purification
Antigen affinity purification.
Form/Format
Rabbit IgG in pH7.4 PBS, 0.05% NaN3, 40% Glycerol.
Concentration
1.6 mg/ml (varies by lot)
Sequence Length
586
Applicable Applications for anti-TCERG1L antibody
IHC (Immunohistochemistry)
Immunogen Type
Peptide
Immunogen Description
Synthetic peptide corresponding to residues near the C terminal of human transcription elongation regulator 1-like
Target Name
TCERG1L
Preparation and Storage
Store at -20 degree C
Related Product Information for anti-TCERG1L antibody
TCERG1L (transcription elongation regulator 1-like protein) is a 586 amino acid protein that contains two FF domains and two WW domains. The gene that encodes TCERG1L contains just over 219,000 bases and maps to human chromosome 10q26.3. Spanning nearly 135 million base pairs and encoding nearly 1,200 genes, chromosome 10 makes up approximately 4.5% of the human genome. Several protein-coding genes, including those that encode chemokines, cadherins, excision repair proteins, early growth response factors (Egrs) and fibroblast growth receptors (FGFRs), are located on chromosome 10.
Product Categories/Family for anti-TCERG1L antibody
NCBI and Uniprot Product Information
NCBI GI #
NCBI GeneID
NCBI Accession #
NCBI GenBank Nucleotide #
Molecular Weight
65,660 Da
NCBI Official Full Name
transcription elongation regulator 1-like protein
NCBI Official Synonym Full Names
transcription elongation regulator 1-like
NCBI Official Symbol
TCERG1L
NCBI Protein Information
transcription elongation regulator 1-like protein
UniProt Protein Name
Transcription elongation regulator 1-like protein
UniProt Gene Name
TCERG1L
UniProt Entry Name
TCRGL_HUMAN
Customer Reviews
Loading reviews...
Share Your Experience
Similar Products
Product Notes
The TCERG1L tcerg1l (Catalog #AAA301823) is an Antibody produced from Rabbit and is intended for research purposes only. The product is available for immediate purchase. The TCERG1L Antibody reacts with Human and may cross-react with other species as described in the data sheet. AAA Biotech's TCERG1L can be used in a range of immunoassay formats including, but not limited to, IHC (Immunohistochemistry). Researchers should empirically determine the suitability of the TCERG1L tcerg1l for an application not listed in the data sheet. Researchers commonly develop new applications and it is an integral, important part of the investigative research process. It is sometimes possible for the material contained within the vial of "TCERG1L, Polyclonal Antibody" to become dispersed throughout the inside of the vial, particularly around the seal of said vial, during shipment and storage. We always suggest centrifuging these vials to consolidate all of the liquid away from the lid and to the bottom of the vial prior to opening. Please be advised that certain products may require dry ice for shipping and that, if this is the case, an additional dry ice fee may also be required.Precautions
All products in the AAA Biotech catalog are strictly for research-use only, and are absolutely not suitable for use in any sort of medical, therapeutic, prophylactic, in-vivo, or diagnostic capacity. By purchasing a product from AAA Biotech, you are explicitly certifying that said products will be properly tested and used in line with industry standard. AAA Biotech and its authorized distribution partners reserve the right to refuse to fulfill any order if we have any indication that a purchaser may be intending to use a product outside of our accepted criteria.Disclaimer
Though we do strive to guarantee the information represented in this datasheet, AAA Biotech cannot be held responsible for any oversights or imprecisions. AAA Biotech reserves the right to adjust any aspect of this datasheet at any time and without notice. It is the responsibility of the customer to inform AAA Biotech of any product performance issues observed or experienced within 30 days of receipt of said product. To see additional details on this or any of our other policies, please see our Terms & Conditions page.Item has been added to Shopping Cart
If you are ready to order, navigate to Shopping Cart and get ready to checkout.
