Rabbit TCF7L1 Polyclonal Antibody | anti-TCF7L1 antibody
TCF7L1 antibody - N-terminal region
Gene Names
TCF7L1; TCF3; TCF-3
Reactivity
Cow, Dog, Guinea Pig, Human, Mouse, Rat
Applications
Western Blot, Immunohistochemistry
Purity
Affinity Purified
Synonyms
TCF7L1, Antibody; TCF7L1 antibody - N-terminal region; anti-TCF7L1 antibody
Host
Rabbit
Reactivity
Cow, Dog, Guinea Pig, Human, Mouse, Rat
Clonality
Polyclonal
Purity/Purification
Affinity Purified
Form/Format
Liquid. Purified antibody supplied in 1x PBS buffer with 0.09% (w/v) sodium azide and 2% sucrose.
Sequence
Synthetic peptide located within the following region: NDELIPFQDEGGEEQEPSSDSASAQRDLDEVKSSLVNESENQSSSSDSEA
Sequence Length
588
Applicable Applications for anti-TCF7L1 antibody
WB (Western Blot), IHC (Immunohistochemistry)
Homology
Cow: 100%; Dog: 100%; Guinea Pig: 100%; Human: 100%; Mouse: 100%; Rat: 100%
Immunogen
The immunogen is a synthetic peptide directed towards the N terminal region of human TCF7L1
Preparation and Storage
For short term use, store at 2-8 degree C up to 1 week. For long term storage, store at -20 degree C in small aliquots to prevent freeze-thaw cycles.
Related Product Information for anti-TCF7L1 antibody
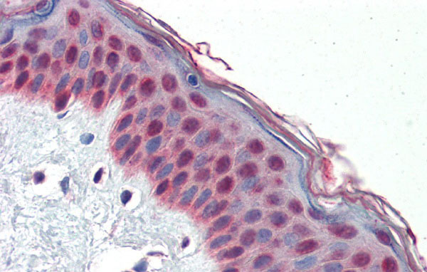
This is a rabbit polyclonal antibody against TCF7L1. It was validated on Western Blot using a cell lysate as a positive control.
Target Description: TCF7L1 participates in the Wnt signaling pathway. It binds to DNA and acts as a repressor in the absence of CTNNB1, and as an activator in its presence. It is necessary for the terminal differentiation of epidermal cells, the formation of keratohyalin granules and the development of the barrier function of the epidermis. TCF7L1 down-regulates NQO1, leading to increased mitomycin c resistance.
Target Description: TCF7L1 participates in the Wnt signaling pathway. It binds to DNA and acts as a repressor in the absence of CTNNB1, and as an activator in its presence. It is necessary for the terminal differentiation of epidermal cells, the formation of keratohyalin granules and the development of the barrier function of the epidermis. TCF7L1 down-regulates NQO1, leading to increased mitomycin c resistance.
Product Categories/Family for anti-TCF7L1 antibody
NCBI and Uniprot Product Information
NCBI GI #
NCBI GeneID
NCBI Accession #
NCBI GenBank Nucleotide #
UniProt Accession #
Molecular Weight
63kDa
NCBI Official Full Name
transcription factor 7-like 1
NCBI Official Synonym Full Names
transcription factor 7 like 1
NCBI Official Symbol
TCF7L1
NCBI Official Synonym Symbols
TCF3; TCF-3
NCBI Protein Information
transcription factor 7-like 1
UniProt Protein Name
Transcription factor 7-like 1
UniProt Gene Name
TCF7L1
UniProt Synonym Gene Names
TCF3; TCF-3
UniProt Entry Name
TF7L1_HUMAN
Customer Reviews
Loading reviews...
Share Your Experience
Similar Products
Product Notes
The TCF7L1 tcf7l1 (Catalog #AAA197088) is an Antibody produced from Rabbit and is intended for research purposes only. The product is available for immediate purchase. The TCF7L1 antibody - N-terminal region reacts with Cow, Dog, Guinea Pig, Human, Mouse, Rat and may cross-react with other species as described in the data sheet. AAA Biotech's TCF7L1 can be used in a range of immunoassay formats including, but not limited to, WB (Western Blot), IHC (Immunohistochemistry). Researchers should empirically determine the suitability of the TCF7L1 tcf7l1 for an application not listed in the data sheet. Researchers commonly develop new applications and it is an integral, important part of the investigative research process. The amino acid sequence is listed below: Synthetic peptide located within the following region: NDELIPFQDE GGEEQEPSSD SASAQRDLDE VKSSLVNESE NQSSSSDSEA. It is sometimes possible for the material contained within the vial of "TCF7L1, Polyclonal Antibody" to become dispersed throughout the inside of the vial, particularly around the seal of said vial, during shipment and storage. We always suggest centrifuging these vials to consolidate all of the liquid away from the lid and to the bottom of the vial prior to opening. Please be advised that certain products may require dry ice for shipping and that, if this is the case, an additional dry ice fee may also be required.Precautions
All products in the AAA Biotech catalog are strictly for research-use only, and are absolutely not suitable for use in any sort of medical, therapeutic, prophylactic, in-vivo, or diagnostic capacity. By purchasing a product from AAA Biotech, you are explicitly certifying that said products will be properly tested and used in line with industry standard. AAA Biotech and its authorized distribution partners reserve the right to refuse to fulfill any order if we have any indication that a purchaser may be intending to use a product outside of our accepted criteria.Disclaimer
Though we do strive to guarantee the information represented in this datasheet, AAA Biotech cannot be held responsible for any oversights or imprecisions. AAA Biotech reserves the right to adjust any aspect of this datasheet at any time and without notice. It is the responsibility of the customer to inform AAA Biotech of any product performance issues observed or experienced within 30 days of receipt of said product. To see additional details on this or any of our other policies, please see our Terms & Conditions page.Item has been added to Shopping Cart
If you are ready to order, navigate to Shopping Cart and get ready to checkout.
