Rabbit anti-Human, Mouse Tetranectin Polyclonal Antibody | anti-CLEC3B antibody
Tetranectin Polyclonal Antibody
Gene Names
CLEC3B; TN; TNA
Reactivity
Human, Mouse
Applications
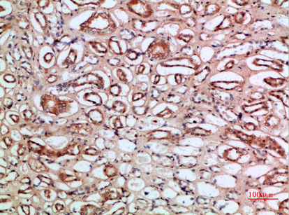
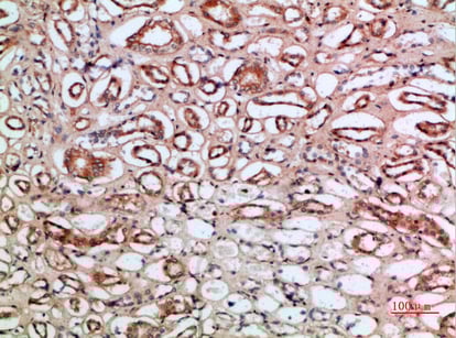
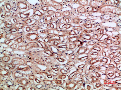
Immunohistochemistry
Synonyms
Tetranectin, Antibody; Tetranectin Polyclonal Antibody; Tetranectin (TN)(C-type lectin domain family 3 member B)(Plasminogen kringle 4-binding protein); anti-CLEC3B antibody
Host
Rabbit
Reactivity
Human, Mouse
Clonality
Polyclonal
Applicable Applications for anti-CLEC3B antibody
IHC (Immunohistochemistry)
Preparation and Storage
Maintain refrigerated at 2-8 degree C for up to 2 weeks. For long term storage store at -20 degree C in small aliquots to prevent freeze-thaw cycles.
Related Product Information for anti-CLEC3B antibody
Tetranectin binds to plasminogen and to isolated kringle 4. May be involved in the packaging of molecules destined for exocytosis.
NCBI and Uniprot Product Information
NCBI GI #
NCBI GeneID
Molecular Weight
22,537 Da
NCBI Official Full Name
Tetranectin
NCBI Official Synonym Full Names
C-type lectin domain family 3, member B
NCBI Official Symbol
CLEC3B
NCBI Official Synonym Symbols
TN; TNA
NCBI Protein Information
tetranectin; plasminogen kringle 4-binding protein; tetranectin (plasminogen binding protein); tetranectin (plasminogen-binding protein)
UniProt Protein Name
Tetranectin
UniProt Gene Name
CLEC3B
UniProt Synonym Gene Names
TNA; TN
UniProt Entry Name
TETN_HUMAN
Customer Reviews
Loading reviews...
Share Your Experience
Similar Products
Product Notes
The CLEC3B clec3b (Catalog #AAA296596) is an Antibody produced from Rabbit and is intended for research purposes only. The product is available for immediate purchase. The Tetranectin Polyclonal Antibody reacts with Human, Mouse and may cross-react with other species as described in the data sheet. AAA Biotech's Tetranectin can be used in a range of immunoassay formats including, but not limited to, IHC (Immunohistochemistry). Researchers should empirically determine the suitability of the CLEC3B clec3b for an application not listed in the data sheet. Researchers commonly develop new applications and it is an integral, important part of the investigative research process. It is sometimes possible for the material contained within the vial of "Tetranectin, Polyclonal Antibody" to become dispersed throughout the inside of the vial, particularly around the seal of said vial, during shipment and storage. We always suggest centrifuging these vials to consolidate all of the liquid away from the lid and to the bottom of the vial prior to opening. Please be advised that certain products may require dry ice for shipping and that, if this is the case, an additional dry ice fee may also be required.Precautions
All products in the AAA Biotech catalog are strictly for research-use only, and are absolutely not suitable for use in any sort of medical, therapeutic, prophylactic, in-vivo, or diagnostic capacity. By purchasing a product from AAA Biotech, you are explicitly certifying that said products will be properly tested and used in line with industry standard. AAA Biotech and its authorized distribution partners reserve the right to refuse to fulfill any order if we have any indication that a purchaser may be intending to use a product outside of our accepted criteria.Disclaimer
Though we do strive to guarantee the information represented in this datasheet, AAA Biotech cannot be held responsible for any oversights or imprecisions. AAA Biotech reserves the right to adjust any aspect of this datasheet at any time and without notice. It is the responsibility of the customer to inform AAA Biotech of any product performance issues observed or experienced within 30 days of receipt of said product. To see additional details on this or any of our other policies, please see our Terms & Conditions page.Item has been added to Shopping Cart
If you are ready to order, navigate to Shopping Cart and get ready to checkout.
