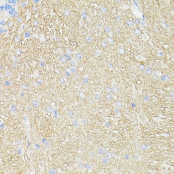
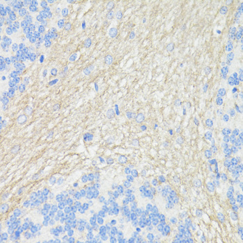
Rabbit anti-Mouse, Rat THY1 Polyclonal Antibody | anti-THY1 antibody
THY1 Polyclonal Antibody
Gene Names
THY1; CD90; CDw90
Reactivity
Mouse, Rat
Applications
Immunohistochemistry, Western Blot
Purity
Affinity Purification
Synonyms
THY1, Antibody; THY1 Polyclonal Antibody; THY1; CD90; CDw90; Thy-1 cell surface antigen; anti-THY1 antibody
Host
Rabbit
Reactivity
Mouse, Rat
Clonality
Polyclonal
Isotype
IgG
Purity/Purification
Affinity Purification
Form/Format
PBS with 0.02% sodium azide, 50% glycerol, pH7.3.
Concentration
3.53 mg/ml (varies by lot)
Sequence Length
161
Applicable Applications for anti-THY1 antibody
IHC (Immunohistochemistry), WB (Western Blot)
Immunogen
A synthetic peptide corresponding to a sequence within amino acids 31-81 of human THY1 (NP_006279.2).
Immunogen Sequence
DQSLRLDCRHENTSSSPIQYEFSLTRETKKHVLFGTVGVPEHTYRSRTNFT
Preparation and Storage
Store at -20 degree C. Avoid freeze/thaw cycles.
Related Product Information for anti-THY1 antibody
This gene encodes a cell surface glycoprotein and member of the immunoglobulin superfamily of proteins. The encoded protein is involved in cell adhesion and cell communication in numerous cell types, but particularly in cells of the immune and nervous systems. The encoded protein is widely used as a marker for hematopoietic stem cells. This gene may function as a tumor suppressor in nasopharyngeal carcinoma. Alternative splicing results in multiple transcript variants.
NCBI and Uniprot Product Information
NCBI GI #
NCBI GeneID
NCBI Accession #
NCBI GenBank Nucleotide #
UniProt Accession #
Molecular Weight
17kDa
NCBI Official Full Name
thy-1 membrane glycoprotein preproprotein
NCBI Official Synonym Full Names
Thy-1 cell surface antigen
NCBI Official Symbol
THY1
NCBI Official Synonym Symbols
CD90; CDw90
NCBI Protein Information
thy-1 membrane glycoprotein
UniProt Protein Name
Thy-1 membrane glycoprotein
UniProt Gene Name
THY1
UniProt Entry Name
THY1_HUMAN
Customer Reviews
Loading reviews...
Share Your Experience
Similar Products
Product Notes
The THY1 thy1 (Catalog #AAA281489) is an Antibody produced from Rabbit and is intended for research purposes only. The product is available for immediate purchase. The THY1 Polyclonal Antibody reacts with Mouse, Rat and may cross-react with other species as described in the data sheet. AAA Biotech's THY1 can be used in a range of immunoassay formats including, but not limited to, IHC (Immunohistochemistry), WB (Western Blot). Researchers should empirically determine the suitability of the THY1 thy1 for an application not listed in the data sheet. Researchers commonly develop new applications and it is an integral, important part of the investigative research process. It is sometimes possible for the material contained within the vial of "THY1, Polyclonal Antibody" to become dispersed throughout the inside of the vial, particularly around the seal of said vial, during shipment and storage. We always suggest centrifuging these vials to consolidate all of the liquid away from the lid and to the bottom of the vial prior to opening. Please be advised that certain products may require dry ice for shipping and that, if this is the case, an additional dry ice fee may also be required.Precautions
All products in the AAA Biotech catalog are strictly for research-use only, and are absolutely not suitable for use in any sort of medical, therapeutic, prophylactic, in-vivo, or diagnostic capacity. By purchasing a product from AAA Biotech, you are explicitly certifying that said products will be properly tested and used in line with industry standard. AAA Biotech and its authorized distribution partners reserve the right to refuse to fulfill any order if we have any indication that a purchaser may be intending to use a product outside of our accepted criteria.Disclaimer
Though we do strive to guarantee the information represented in this datasheet, AAA Biotech cannot be held responsible for any oversights or imprecisions. AAA Biotech reserves the right to adjust any aspect of this datasheet at any time and without notice. It is the responsibility of the customer to inform AAA Biotech of any product performance issues observed or experienced within 30 days of receipt of said product. To see additional details on this or any of our other policies, please see our Terms & Conditions page.Item has been added to Shopping Cart
If you are ready to order, navigate to Shopping Cart and get ready to checkout.
