Rabbit anti-Human, Mouse TMEM43 Polyclonal Antibody | anti-TMEM43 antibody
TMEM43 Polyclonal Antibody
Gene Names
TMEM43; LUMA; ARVC5; ARVD5; EDMD7
Reactivity
Human, Mouse
Applications
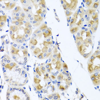
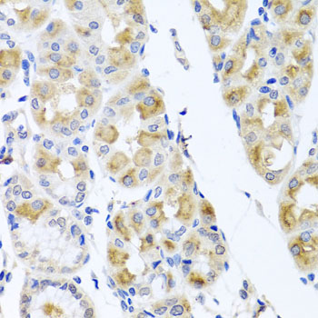
Immunohistochemistry, Western Blot
Purity
Affinity purification
Synonyms
TMEM43, Antibody; TMEM43 Polyclonal Antibody; TMEM43; ARVC5; ARVD5; EDMD7; LUMA; transmembrane protein 43; anti-TMEM43 antibody
Host
Rabbit
Reactivity
Human, Mouse
Clonality
Polyclonal
Isotype
IgG
Purity/Purification
Affinity purification
Form/Format
PBS with 50% glycerol, pH7.4
Applicable Applications for anti-TMEM43 antibody
IHC (Immunohistochemistry), WB (Western Blot)
Immunogen
Recombinant fusion protein of human TMEM43 (NP_077310.1).
Conjugation
Unconjugated
Preparation and Storage
Store at -20 degree C. Avoid freeze/thaw cycles.
Related Product Information for anti-TMEM43 antibody
This gene belongs to the TMEM43 family. Defects in this gene are the cause of familial arrhythmogenic right ventricular dysplasia type 5 (ARVD5), also known as arrhythmogenic right ventricular cardiomyopathy type 5 (ARVC5). Arrhythmogenic right ventricular dysplasia is an inherited disorder, often involving both ventricles, and is characterized by ventricular tachycardia, heart failure, sudden cardiac death, and fibrofatty replacement of cardiomyocytes. This gene contains a response element for PPAR gamma (an adipogenic transcription factor), which may explain the fibrofatty replacement of the myocardium, a characteristic pathological finding in ARVC.
Product Categories/Family for anti-TMEM43 antibody
NCBI and Uniprot Product Information
NCBI GI #
NCBI GeneID
NCBI Accession #
NCBI GenBank Nucleotide #
Molecular Weight
44,876 Da
NCBI Official Full Name
transmembrane protein 43
NCBI Official Synonym Full Names
transmembrane protein 43
NCBI Official Symbol
TMEM43
NCBI Official Synonym Symbols
LUMA; ARVC5; ARVD5; EDMD7
NCBI Protein Information
transmembrane protein 43
UniProt Protein Name
Transmembrane protein 43
UniProt Gene Name
TMEM43
UniProt Synonym Gene Names
UNQ2564/PRO6244
UniProt Entry Name
TMM43_HUMAN
Customer Reviews
Loading reviews...
Share Your Experience
Similar Products
Product Notes
The TMEM43 tmem43 (Catalog #AAA311679) is an Antibody produced from Rabbit and is intended for research purposes only. The product is available for immediate purchase. The TMEM43 Polyclonal Antibody reacts with Human, Mouse and may cross-react with other species as described in the data sheet. AAA Biotech's TMEM43 can be used in a range of immunoassay formats including, but not limited to, IHC (Immunohistochemistry), WB (Western Blot). Researchers should empirically determine the suitability of the TMEM43 tmem43 for an application not listed in the data sheet. Researchers commonly develop new applications and it is an integral, important part of the investigative research process. It is sometimes possible for the material contained within the vial of "TMEM43, Polyclonal Antibody" to become dispersed throughout the inside of the vial, particularly around the seal of said vial, during shipment and storage. We always suggest centrifuging these vials to consolidate all of the liquid away from the lid and to the bottom of the vial prior to opening. Please be advised that certain products may require dry ice for shipping and that, if this is the case, an additional dry ice fee may also be required.Precautions
All products in the AAA Biotech catalog are strictly for research-use only, and are absolutely not suitable for use in any sort of medical, therapeutic, prophylactic, in-vivo, or diagnostic capacity. By purchasing a product from AAA Biotech, you are explicitly certifying that said products will be properly tested and used in line with industry standard. AAA Biotech and its authorized distribution partners reserve the right to refuse to fulfill any order if we have any indication that a purchaser may be intending to use a product outside of our accepted criteria.Disclaimer
Though we do strive to guarantee the information represented in this datasheet, AAA Biotech cannot be held responsible for any oversights or imprecisions. AAA Biotech reserves the right to adjust any aspect of this datasheet at any time and without notice. It is the responsibility of the customer to inform AAA Biotech of any product performance issues observed or experienced within 30 days of receipt of said product. To see additional details on this or any of our other policies, please see our Terms & Conditions page.Item has been added to Shopping Cart
If you are ready to order, navigate to Shopping Cart and get ready to checkout.
