Rabbit TNF-R1 Polyclonal Antibody | anti-TNF-R1 antibody
TNF-R1 Antibody
Phosphate buffered saline, pH 7.4, 150mM NaCl, 0.02% sodium azide and 50% glycerol.
WB (Western Blot)
(Western blot analysis of extracts of HeLa Cell, using TNFR1 antibody. The lane on the left is treated with the antigen-specific peptide.)
WB (Western Blot)
(Western blot analysis of extracts of various tissue sample, using TNF-R1 Antibody.)
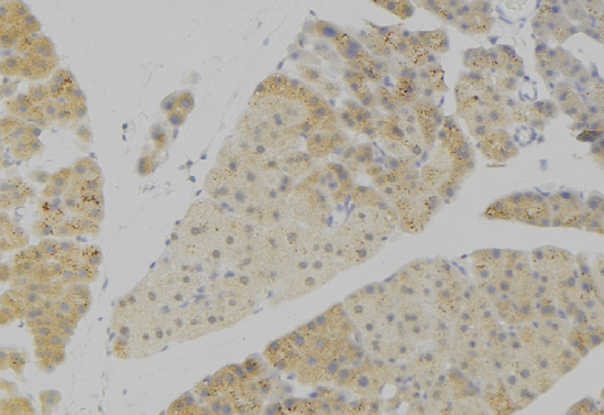
IHC (Immunohistochemistry)
(AAA326216 at 1/100 staining Human pancreas tissue by IHC-P. The sample was formaldehyde fixed and a heat mediated antigen retrieval step in citrate buffer was performed. The sample was then blocked and incubated with the antibody for 1.5 hours at 22 degree C. An HRP conjugated goat anti-rabbit antibody was used as the secondary.)
Function: Receptor for TNFSF2/TNF-alpha and homotrimeric TNFSF1/lymphotoxin-alpha. The adapter molecule FADD recruits caspase-8 to the activated receptor. The resulting death-inducing signaling complex (DISC) performs caspase-8 proteolytic activation which initiates the subsequent cascade of caspases (aspartate-specific cysteine proteases) mediating apoptosis. Contributes to the induction of non-cytocidal TNF effects including anti-viral state and activation of the acid sphingomyelinase.
Subunit Structure: Binding of TNF to the extracellular domain leads to homotrimerization. The aggregated death domains provide a novel molecular interface that interacts specifically with the death domain of TRADD. Various TRADD-interacting proteins such as TRAFS, RIPK1 and possibly FADD, are recruited to the complex by their association with TRADD. This complex activates at least two distinct signaling cascades, apoptosis and NF-kappa-B signaling. Interacts with BAG4, BABAM2, FEM1B, GRB2, SQSTM1 and TRPC4AP. Interacts directly with NOL3 (via CARD domain); inhibits TNF-signaling pathway (By similarity).
Post-translational Modifications: The soluble form is produced from the membrane form by proteolytic processing.
Similarity: The domain that induces A-SMASE is probably identical to the death domain. The N-SMASE activation domain (NSD) is both necessary and sufficient for activation of N-SMASE.Both the cytoplasmic membrane-proximal region and the C-terminal region containing the death domain are involved in the interaction with TRPC4AP.
NCBI and Uniprot Product Information
Predicted: 51 kDa
Customer Reviews
Loading reviews...
Share Your Experience
Similar Products
Product Notes
The TNF-R1 tnfrsf1a (Catalog #AAA326216) is an Antibody produced from Rabbit and is intended for research purposes only. The product is available for immediate purchase. The TNF-R1 Antibody reacts with Human, Mouse, Rat and may cross-react with other species as described in the data sheet. AAA Biotech's TNF-R1 can be used in a range of immunoassay formats including, but not limited to, ELISA, IHC (Immunohistochemistry), WB (Western Blot). Researchers should empirically determine the suitability of the TNF-R1 tnfrsf1a for an application not listed in the data sheet. Researchers commonly develop new applications and it is an integral, important part of the investigative research process. It is sometimes possible for the material contained within the vial of "TNF-R1, Polyclonal Antibody" to become dispersed throughout the inside of the vial, particularly around the seal of said vial, during shipment and storage. We always suggest centrifuging these vials to consolidate all of the liquid away from the lid and to the bottom of the vial prior to opening. Please be advised that certain products may require dry ice for shipping and that, if this is the case, an additional dry ice fee may also be required.Precautions
All products in the AAA Biotech catalog are strictly for research-use only, and are absolutely not suitable for use in any sort of medical, therapeutic, prophylactic, in-vivo, or diagnostic capacity. By purchasing a product from AAA Biotech, you are explicitly certifying that said products will be properly tested and used in line with industry standard. AAA Biotech and its authorized distribution partners reserve the right to refuse to fulfill any order if we have any indication that a purchaser may be intending to use a product outside of our accepted criteria.Disclaimer
Though we do strive to guarantee the information represented in this datasheet, AAA Biotech cannot be held responsible for any oversights or imprecisions. AAA Biotech reserves the right to adjust any aspect of this datasheet at any time and without notice. It is the responsibility of the customer to inform AAA Biotech of any product performance issues observed or experienced within 30 days of receipt of said product. To see additional details on this or any of our other policies, please see our Terms & Conditions page.Item has been added to Shopping Cart
If you are ready to order, navigate to Shopping Cart and get ready to checkout.
