Rabbit TNFRSF9 Polyclonal Antibody | anti-TNFRSF9 antibody
TNFRSF9 Polyclonal Antibody
Gene Names
TNFRSF9; ILA; 4-1BB; CD137; CDw137
Reactivity
Human, Mouse, Rat
Applications
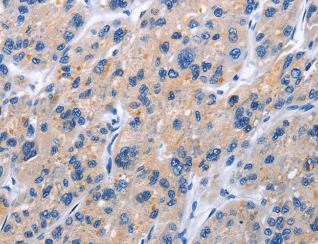
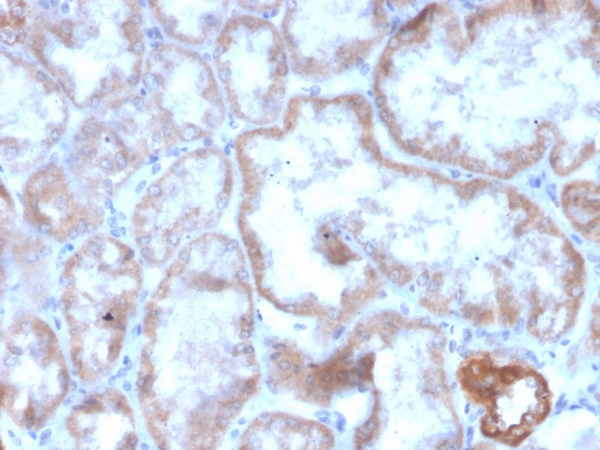
Immunohistochemistry, ELISA
Purity
Antigen affinity purification
Synonyms
TNFRSF9, Antibody; TNFRSF9 Polyclonal Antibody; ILA; 4-1BB; CD137; CDw137; anti-TNFRSF9 antibody
Host
Rabbit
Reactivity
Human, Mouse, Rat
Clonality
Polyclonal
Isotype
IgG
Purity/Purification
Antigen affinity purification
Concentration
1.7mg/mL (varies by lot)
Sequence Length
255
Applicable Applications for anti-TNFRSF9 antibody
IHC (Immunohistochemistry), ELISA
Immunogen
Recombinant protein of human TNFRSF9
Buffer
PBS with 0.05% sodium azide, 50% glycerol, pH7.3
Preparation and Storage
Store at -20 degree C (regular) and -80 degree C (long term). Avoid freeze / thaw cycles.
Related Product Information for anti-TNFRSF9 antibody
The protein encoded by this gene is a member of the TNF-receptor superfamily. This receptor contributes to the clonal expansion, survival, and development of T cells. It can also induce proliferation in peripheral monocytes, enhance T cell apoptosis induced by TCR/CD3 triggered activation, and regulate CD28 co-stimulation to promote Th1 cell responses. The expression of this receptor is induced by lymphocyte activation. TRAF adaptor proteins have been shown to bind to this receptor and transduce the signals leading to activation of NF-kappaB.
Product Categories/Family for anti-TNFRSF9 antibody
NCBI and Uniprot Product Information
NCBI GI #
NCBI GeneID
Molecular Weight
27,899 Da
NCBI Official Full Name
Tumor necrosis factor receptor superfamily member 9
NCBI Official Synonym Full Names
tumor necrosis factor receptor superfamily, member 9
NCBI Official Symbol
TNFRSF9
NCBI Official Synonym Symbols
ILA; 4-1BB; CD137; CDw137
NCBI Protein Information
tumor necrosis factor receptor superfamily member 9; 4-1BB ligand receptor; CD137 antigen; T cell antigen ILA; T-cell antigen 4-1BB homolog; T-cell antigen ILA; homolog of mouse 4-1BB; induced by lymphocyte activation (ILA); interleukin-activated receptor, homolog of mouse Ly63; receptor protein 4-1BB
UniProt Protein Name
Tumor necrosis factor receptor superfamily member 9
UniProt Gene Name
TNFRSF9
UniProt Synonym Gene Names
CD137; ILA
UniProt Entry Name
TNR9_HUMAN
Customer Reviews
Loading reviews...
Share Your Experience
Similar Products
Product Notes
The TNFRSF9 tnfrsf9 (Catalog #AAA166329) is an Antibody produced from Rabbit and is intended for research purposes only. The product is available for immediate purchase. The TNFRSF9 Polyclonal Antibody reacts with Human, Mouse, Rat and may cross-react with other species as described in the data sheet. AAA Biotech's TNFRSF9 can be used in a range of immunoassay formats including, but not limited to, IHC (Immunohistochemistry), ELISA. Researchers should empirically determine the suitability of the TNFRSF9 tnfrsf9 for an application not listed in the data sheet. Researchers commonly develop new applications and it is an integral, important part of the investigative research process. It is sometimes possible for the material contained within the vial of "TNFRSF9, Polyclonal Antibody" to become dispersed throughout the inside of the vial, particularly around the seal of said vial, during shipment and storage. We always suggest centrifuging these vials to consolidate all of the liquid away from the lid and to the bottom of the vial prior to opening. Please be advised that certain products may require dry ice for shipping and that, if this is the case, an additional dry ice fee may also be required.Precautions
All products in the AAA Biotech catalog are strictly for research-use only, and are absolutely not suitable for use in any sort of medical, therapeutic, prophylactic, in-vivo, or diagnostic capacity. By purchasing a product from AAA Biotech, you are explicitly certifying that said products will be properly tested and used in line with industry standard. AAA Biotech and its authorized distribution partners reserve the right to refuse to fulfill any order if we have any indication that a purchaser may be intending to use a product outside of our accepted criteria.Disclaimer
Though we do strive to guarantee the information represented in this datasheet, AAA Biotech cannot be held responsible for any oversights or imprecisions. AAA Biotech reserves the right to adjust any aspect of this datasheet at any time and without notice. It is the responsibility of the customer to inform AAA Biotech of any product performance issues observed or experienced within 30 days of receipt of said product. To see additional details on this or any of our other policies, please see our Terms & Conditions page.Item has been added to Shopping Cart
If you are ready to order, navigate to Shopping Cart and get ready to checkout.
