Rabbit TPM1 Polyclonal Antibody | anti-TPM1 antibody
TPM1 Polyclonal Antibody
Gene Names
TPM1; CMH3; TMSA; CMD1Y; LVNC9; C15orf13; HTM-alpha
Reactivity
Human, Mouse, Rat
Applications
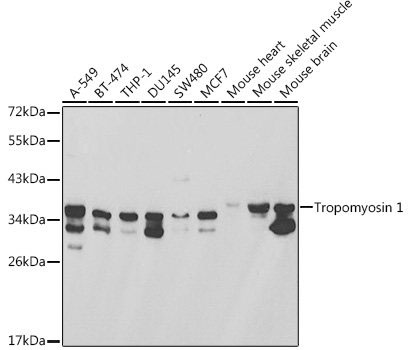
Immunofluorescence, Western Blot
Purity
Affinity purification
Synonyms
TPM1, Antibody; TPM1 Polyclonal Antibody; TPM1; C15orf13; CMD1Y; CMH3; HEL-S-265; HTM-alpha; LVNC9; TMSA; anti-TPM1 antibody
Host
Rabbit
Reactivity
Human, Mouse, Rat
Clonality
Polyclonal
Isotype
IgG
Purity/Purification
Affinity purification
Form/Format
PBS with 0.02% sodium azide,50% glycerol,pH7.3.
Concentration
1mg/mL (varies by lot)
Applicable Applications for anti-TPM1 antibody
IF (Immunofluorescence), WB (Western Blot)
Immunogen
Recombinant fusion protein of human TPM1
Research Area
Cancer, Cardiovascular, Signal Transduction
Preparation and Storage
Storage: -20 degree C/One year. Avoid freeze/thaw cycles.
Related Product Information for anti-TPM1 antibody
This gene is member of the tropomyosin family of highly conserved, widely distributed actin-binding proteins involved in the contractile system of striated and smooth muscles and the cytoskeleton of non-muscle cells. Tropomyosin is composed of two alpha-helical chains arranged as a coiled-coil. It is polymerized end to end along the two grooves of actin filaments and provides stability to the filaments. The encoded protein is one type of alpha helical chain that forms the predominant tropomyosin of striated muscle, where it also functions in association with the troponin complex to regulate the calcium-dependent interaction of actin and myosin during muscle contraction. In smooth muscle and non-muscle cells, alternatively spliced transcript variants encoding a range of isoforms have been described. Mutations in this gene are associated with type 3 familial hypertrophic cardiomyopathy.
Product Categories/Family for anti-TPM1 antibody
NCBI and Uniprot Product Information
NCBI GI #
NCBI GeneID
NCBI Accession #
NCBI GenBank Nucleotide #
UniProt Accession #
Molecular Weight
284
NCBI Official Full Name
tropomyosin alpha-1 chain isoform 5
NCBI Official Synonym Full Names
tropomyosin 1 (alpha)
NCBI Official Symbol
TPM1
NCBI Official Synonym Symbols
CMH3; TMSA; CMD1Y; LVNC9; C15orf13; HTM-alpha
NCBI Protein Information
tropomyosin alpha-1 chain; alpha-tropomyosin; sarcomeric tropomyosin kappa; cardiomyopathy, hypertrophic 3; tropomyosin 1 (alpha) isoform 1; tropomyosin 1 (alpha) isoform 2; tropomyosin 1 (alpha) isoform 3; tropomyosin 1 (alpha) isoform 4; tropomyosin 1 (
UniProt Protein Name
Tropomyosin alpha-1 chain
UniProt Gene Name
TPM1
UniProt Synonym Gene Names
C15orf13; TMSA
UniProt Entry Name
TPM1_HUMAN
Similar Products
Product Notes
The TPM1 tpm1 (Catalog #AAA178685) is an Antibody produced from Rabbit and is intended for research purposes only. The product is available for immediate purchase. The TPM1 Polyclonal Antibody reacts with Human, Mouse, Rat and may cross-react with other species as described in the data sheet. AAA Biotech's TPM1 can be used in a range of immunoassay formats including, but not limited to, IF (Immunofluorescence), WB (Western Blot). Researchers should empirically determine the suitability of the TPM1 tpm1 for an application not listed in the data sheet. Researchers commonly develop new applications and it is an integral, important part of the investigative research process. It is sometimes possible for the material contained within the vial of "TPM1, Polyclonal Antibody" to become dispersed throughout the inside of the vial, particularly around the seal of said vial, during shipment and storage. We always suggest centrifuging these vials to consolidate all of the liquid away from the lid and to the bottom of the vial prior to opening. Please be advised that certain products may require dry ice for shipping and that, if this is the case, an additional dry ice fee may also be required.Precautions
All products in the AAA Biotech catalog are strictly for research-use only, and are absolutely not suitable for use in any sort of medical, therapeutic, prophylactic, in-vivo, or diagnostic capacity. By purchasing a product from AAA Biotech, you are explicitly certifying that said products will be properly tested and used in line with industry standard. AAA Biotech and its authorized distribution partners reserve the right to refuse to fulfill any order if we have any indication that a purchaser may be intending to use a product outside of our accepted criteria.Disclaimer
Though we do strive to guarantee the information represented in this datasheet, AAA Biotech cannot be held responsible for any oversights or imprecisions. AAA Biotech reserves the right to adjust any aspect of this datasheet at any time and without notice. It is the responsibility of the customer to inform AAA Biotech of any product performance issues observed or experienced within 30 days of receipt of said product. To see additional details on this or any of our other policies, please see our Terms & Conditions page.Item has been added to Shopping Cart
If you are ready to order, navigate to Shopping Cart and get ready to checkout.
