Rabbit TrkA Polyclonal Antibody | anti-TrkA antibody
Phospho-TrkA (Tyr496) Antibody
Predicted: Pig, Zebrafish, Bovine, Horse, Sheep, Rabbit, Dog
Predicted: Pig, Zebrafish, Bovine, Horse, Sheep, Rabbit, Dog
WB (Western Blot)
(Western blot analysis of Phospho-TrkA (Tyr496) in lysates of jurkat?, using Phospho-TrkA (Tyr496) Antibody.)
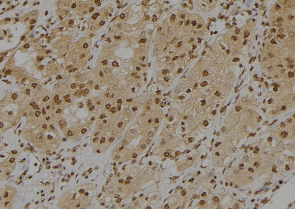
IHC (Immunohistochemistry)
(At 1/100 staining human kidney tissue sections by IHC-P. The tissue was formaldehyde fixed and a heat mediated antigen retrieval step in citrate buffer was performed. The tissue was then blocked and incubated with the antibody for 1.5 hours at 22 degree C. An HRP conjugated goat anti-rabbit antibody was used as the secondary)
Post Translational Modifications: Ligand-mediated autophosphorylation (PubMed:2927393, PubMed:1281417, PubMed:15488758, PubMed:7510697, PubMed:8155326, PubMed:8325889, PubMed:27676246, PubMed:28177573). Interaction with SQSTM1 is phosphotyrosine-dependent. Autophosphorylation at Tyr-496 mediates interaction and phosphorylation of SHC1 (PubMed:15488758, PubMed:7510697, PubMed:8155326, PubMed:8325889). N-glycosylated (PubMed:2927393). Isoform TrkA-I and isoform TrkA-II are N-glycosylated. Ubiquitinated (PubMed:27445338). Undergoes polyubiquitination upon activation; regulated by NGFR (PubMed:27445338). Ubiquitination by NEDD4L leads to degradation (PubMed:27445338). Ubiquitination regulates the internalization of the receptor (By similarity).
Subunit Structure: Exists in a dynamic equilibrium between monomeric (low affinity) and dimeric (high affinity) structures. Homodimerization is induced by binding of a NGF dimer (PubMed:1281417, PubMed:10490030, PubMed:17196528). Interacts with SQSTM1; bridges NTRK1 to NGFR (PubMed:11244088). Forms a ternary complex with NGFR and KIDINS220; this complex is affected by the expression levels of KIDINS220 and an increase in KIDINS220 expression leads to a decreased association of NGFR and NTRK1 (By similarity). Interacts with SH2D1A; regulates NTRK1 (By similarity). Interacts (phosphorylated upon activation by NGF) with SHC1; mediates SHC1 phosphorylation and activation (PubMed:8155326, PubMed:15488758). Interacts (phosphorylated upon activation by NGF) with PLCG1; mediates PLCG1 phosphorylation and activation (PubMed:7510697, PubMed:15488758). Interacts (phosphorylated) with SH2B1 and SH2B2 (By similarity). Interacts with GRB2 (PubMed:15488758). Interacts with PIK3R1 (PubMed:15488758). Interacts with FRS2 (PubMed:15488758). Interacts with SORT1; may regulate NTRK1 anterograde axonal transport (PubMed:21102451). Interacts with RAB7A (By similarity). Found in a complex, at least composed of KIDINS220, MAGI2, NTRK1 and RAPGEF2; the complex is mainly formed at late endosomes in a nerve growth factor (NGF)-dependent manner (By similarity). Interacts with RAPGEF2; the interaction is strengthened after NGF stimulation (By similarity). Interacts with PTPRS (By similarity). Interacts with USP36; USP36 does not deubiquitinate NTRK1 (PubMed:27445338).
Similarity: The transmembrane domain mediates interaction with KIDINS220. The extracellular domain mediates interaction with NGFR. Belongs to the protein kinase superfamily. Tyr protein kinase family. Insulin receptor subfamily.
NCBI and Uniprot Product Information
Predicted: 88 kDa
Customer Reviews
Loading reviews...
Share Your Experience
Similar Products
Product Notes
The TrkA ntrk1 (Catalog #AAA328351) is an Antibody produced from Rabbit and is intended for research purposes only. The product is available for immediate purchase. The Phospho-TrkA (Tyr496) Antibody reacts with Human Predicted: Pig, Zebrafish, Bovine, Horse, Sheep, Rabbit, Dog and may cross-react with other species as described in the data sheet. AAA Biotech's TrkA can be used in a range of immunoassay formats including, but not limited to, ELISA (Peptide ELISA), IHC (Immunohistochemistry), WB (Western Blot). Researchers should empirically determine the suitability of the TrkA ntrk1 for an application not listed in the data sheet. Researchers commonly develop new applications and it is an integral, important part of the investigative research process. It is sometimes possible for the material contained within the vial of "TrkA, Polyclonal Antibody" to become dispersed throughout the inside of the vial, particularly around the seal of said vial, during shipment and storage. We always suggest centrifuging these vials to consolidate all of the liquid away from the lid and to the bottom of the vial prior to opening. Please be advised that certain products may require dry ice for shipping and that, if this is the case, an additional dry ice fee may also be required.Precautions
All products in the AAA Biotech catalog are strictly for research-use only, and are absolutely not suitable for use in any sort of medical, therapeutic, prophylactic, in-vivo, or diagnostic capacity. By purchasing a product from AAA Biotech, you are explicitly certifying that said products will be properly tested and used in line with industry standard. AAA Biotech and its authorized distribution partners reserve the right to refuse to fulfill any order if we have any indication that a purchaser may be intending to use a product outside of our accepted criteria.Disclaimer
Though we do strive to guarantee the information represented in this datasheet, AAA Biotech cannot be held responsible for any oversights or imprecisions. AAA Biotech reserves the right to adjust any aspect of this datasheet at any time and without notice. It is the responsibility of the customer to inform AAA Biotech of any product performance issues observed or experienced within 30 days of receipt of said product. To see additional details on this or any of our other policies, please see our Terms & Conditions page.Item has been added to Shopping Cart
If you are ready to order, navigate to Shopping Cart and get ready to checkout.
