Rabbit TRPC3 Polyclonal Antibody | anti-TRPC3 antibody
TRPC3 antibody - N-terminal region
Gene Names
TRPC3; TRP3; SCA41
Reactivity
Cow, Dog, Guinea Pig, Horse, Human, Mouse, Rabbit, Rat, Zebrafish
Applications
Western Blot
Purity
Affinity Purified
Synonyms
TRPC3, Antibody; TRPC3 antibody - N-terminal region; anti-TRPC3 antibody
Host
Rabbit
Reactivity
Cow, Dog, Guinea Pig, Horse, Human, Mouse, Rabbit, Rat, Zebrafish
Clonality
Polyclonal
Purity/Purification
Affinity Purified
Form/Format
Liquid. Purified antibody supplied in 1x PBS buffer with 0.09% (w/v) sodium azide and 2% sucrose.
Sequence
Synthetic peptide located within the following region: MEGSPSLRRMTVMREKGRRQAVRGPAFMFNDRGTSLTAEEERFLDAAEYG
Sequence Length
848
Applicable Applications for anti-TRPC3 antibody
WB (Western Blot)
Homology
Cow: 100%; Dog: 100%; Guinea Pig: 100%; Horse: 100%; Human: 100%; Mouse: 93%; Rabbit: 100%; Rat: 100%; Zebrafish: 93%
Immunogen
The immunogen is a synthetic peptide directed towards the n terminal region of human TRPC3
Preparation and Storage
For short term use, store at 2-8 degree C up to 1 week. For long term storage, store at -20 degree C in small aliquots to prevent freeze-thaw cycles.
Related Product Information for anti-TRPC3 antibody
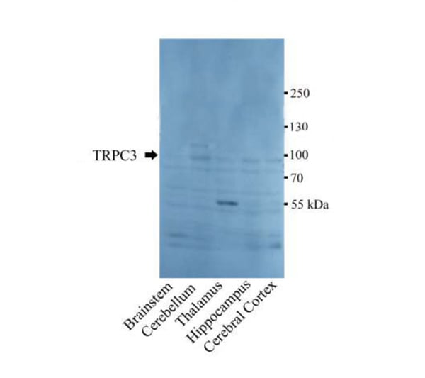
This is a rabbit polyclonal antibody against TRPC3. It was validated on Western Blot using a cell lysate as a positive control.
Target Description: TRPC3 is thought to form a receptor-activated non-selective calcium permeant cation channel. Probably is operated by a phosphatidylinositol second messenger system activated by receptor tyrosine kinases or G-protein coupled receptors. TRPC3 is activated by diacylglycerol (DAG) in a membrane-delimited fashion, independently of protein kinase C, and by inositol-1,4,5-triphosphate receptors (ITPR) with bound IP3. TRPC3 may also be activated by internal calcium store depletion.
Target Description: TRPC3 is thought to form a receptor-activated non-selective calcium permeant cation channel. Probably is operated by a phosphatidylinositol second messenger system activated by receptor tyrosine kinases or G-protein coupled receptors. TRPC3 is activated by diacylglycerol (DAG) in a membrane-delimited fashion, independently of protein kinase C, and by inositol-1,4,5-triphosphate receptors (ITPR) with bound IP3. TRPC3 may also be activated by internal calcium store depletion.
Product Categories/Family for anti-TRPC3 antibody
NCBI and Uniprot Product Information
NCBI GI #
NCBI GeneID
NCBI Accession #
NCBI GenBank Nucleotide #
UniProt Accession #
Molecular Weight
97kDa
NCBI Official Full Name
short transient receptor potential channel 3 isoform b
NCBI Official Synonym Full Names
transient receptor potential cation channel subfamily C member 3
NCBI Official Symbol
TRPC3
NCBI Official Synonym Symbols
TRP3; SCA41
NCBI Protein Information
short transient receptor potential channel 3
UniProt Protein Name
Short transient receptor potential channel 3
UniProt Gene Name
TRPC3
UniProt Synonym Gene Names
TRP3; TrpC3; TRP-3; hTrp-3; hTrp3
UniProt Entry Name
TRPC3_HUMAN
Customer Reviews
Loading reviews...
Share Your Experience
Similar Products
Product Notes
The TRPC3 trpc3 (Catalog #AAA200847) is an Antibody produced from Rabbit and is intended for research purposes only. The product is available for immediate purchase. The TRPC3 antibody - N-terminal region reacts with Cow, Dog, Guinea Pig, Horse, Human, Mouse, Rabbit, Rat, Zebrafish and may cross-react with other species as described in the data sheet. AAA Biotech's TRPC3 can be used in a range of immunoassay formats including, but not limited to, WB (Western Blot). Researchers should empirically determine the suitability of the TRPC3 trpc3 for an application not listed in the data sheet. Researchers commonly develop new applications and it is an integral, important part of the investigative research process. The amino acid sequence is listed below: Synthetic peptide located within the following region: MEGSPSLRRM TVMREKGRRQ AVRGPAFMFN DRGTSLTAEE ERFLDAAEYG. It is sometimes possible for the material contained within the vial of "TRPC3, Polyclonal Antibody" to become dispersed throughout the inside of the vial, particularly around the seal of said vial, during shipment and storage. We always suggest centrifuging these vials to consolidate all of the liquid away from the lid and to the bottom of the vial prior to opening. Please be advised that certain products may require dry ice for shipping and that, if this is the case, an additional dry ice fee may also be required.Precautions
All products in the AAA Biotech catalog are strictly for research-use only, and are absolutely not suitable for use in any sort of medical, therapeutic, prophylactic, in-vivo, or diagnostic capacity. By purchasing a product from AAA Biotech, you are explicitly certifying that said products will be properly tested and used in line with industry standard. AAA Biotech and its authorized distribution partners reserve the right to refuse to fulfill any order if we have any indication that a purchaser may be intending to use a product outside of our accepted criteria.Disclaimer
Though we do strive to guarantee the information represented in this datasheet, AAA Biotech cannot be held responsible for any oversights or imprecisions. AAA Biotech reserves the right to adjust any aspect of this datasheet at any time and without notice. It is the responsibility of the customer to inform AAA Biotech of any product performance issues observed or experienced within 30 days of receipt of said product. To see additional details on this or any of our other policies, please see our Terms & Conditions page.Item has been added to Shopping Cart
If you are ready to order, navigate to Shopping Cart and get ready to checkout.
