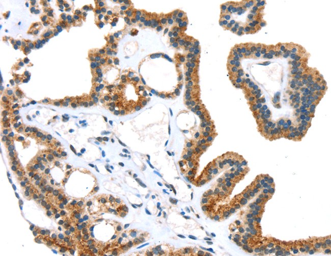
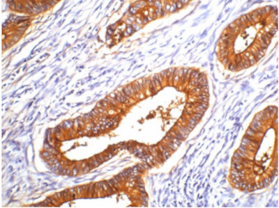
Rabbit TRPM6 Polyclonal Antibody | anti-TRPM6 antibody
TRPM6 Polyclonal Antibody
Gene Names
TRPM6; HSH; HMGX; HOMG; CHAK2; HOMG1
Reactivity
Human, Mouse, Rat
Applications
Immunohistochemistry, ELISA
Purity
Antigen affinity purification
Synonyms
TRPM6, Antibody; TRPM6 Polyclonal Antibody; HSH; HMGX; HOMG; CHAK2; HOMG1; anti-TRPM6 antibody
Host
Rabbit
Reactivity
Human, Mouse, Rat
Clonality
Polyclonal
Isotype
IgG
Purity/Purification
Antigen affinity purification
Concentration
1.1mg/mL (varies by lot)
Sequence Length
2017
Applicable Applications for anti-TRPM6 antibody
IHC (Immunohistochemistry), ELISA
Immunogen
Synthetic peptide of human TRPM6
Buffer
PBS with 0.05% sodium azide, 50% glycerol, pH7.3
Preparation and Storage
Store at -20 degree C (regular) and -80 degree C (long term). Avoid freeze / thaw cycles.
Related Product Information for anti-TRPM6 antibody
This gene is predominantly expressed in the kidney and colon, and encodes a protein containing an ion channel domain and a protein kinase domain. It is crucial for magnesium homeostasis, and plays an essential role in epithelial magnesium transport and in the active magnesium absorption in the gut and kidney. Mutations in this gene are associated with hypomagnesemia with secondary hypocalcemia. Alternatively spliced transcript variants encoding different isoforms have been noted for this gene.
NCBI and Uniprot Product Information
NCBI GI #
NCBI GeneID
NCBI Accession #
NCBI GenBank Nucleotide #
Molecular Weight
65,083 Da
NCBI Official Full Name
transient receptor potential cation channel subfamily M member 6 isoform c
NCBI Official Synonym Full Names
transient receptor potential cation channel, subfamily M, member 6
NCBI Official Symbol
TRPM6
NCBI Official Synonym Symbols
HSH; HMGX; HOMG; CHAK2; HOMG1
NCBI Protein Information
transient receptor potential cation channel subfamily M member 6; channel kinase 2; melastatin-related TRP cation channel 6
UniProt Protein Name
Transient receptor potential cation channel subfamily M member 6
UniProt Gene Name
TRPM6
UniProt Synonym Gene Names
CHAK2
UniProt Entry Name
TRPM6_HUMAN
Similar Products
Product Notes
The TRPM6 trpm6 (Catalog #AAA170070) is an Antibody produced from Rabbit and is intended for research purposes only. The product is available for immediate purchase. The TRPM6 Polyclonal Antibody reacts with Human, Mouse, Rat and may cross-react with other species as described in the data sheet. AAA Biotech's TRPM6 can be used in a range of immunoassay formats including, but not limited to, IHC (Immunohistochemistry), ELISA. Researchers should empirically determine the suitability of the TRPM6 trpm6 for an application not listed in the data sheet. Researchers commonly develop new applications and it is an integral, important part of the investigative research process. It is sometimes possible for the material contained within the vial of "TRPM6, Polyclonal Antibody" to become dispersed throughout the inside of the vial, particularly around the seal of said vial, during shipment and storage. We always suggest centrifuging these vials to consolidate all of the liquid away from the lid and to the bottom of the vial prior to opening. Please be advised that certain products may require dry ice for shipping and that, if this is the case, an additional dry ice fee may also be required.Precautions
All products in the AAA Biotech catalog are strictly for research-use only, and are absolutely not suitable for use in any sort of medical, therapeutic, prophylactic, in-vivo, or diagnostic capacity. By purchasing a product from AAA Biotech, you are explicitly certifying that said products will be properly tested and used in line with industry standard. AAA Biotech and its authorized distribution partners reserve the right to refuse to fulfill any order if we have any indication that a purchaser may be intending to use a product outside of our accepted criteria.Disclaimer
Though we do strive to guarantee the information represented in this datasheet, AAA Biotech cannot be held responsible for any oversights or imprecisions. AAA Biotech reserves the right to adjust any aspect of this datasheet at any time and without notice. It is the responsibility of the customer to inform AAA Biotech of any product performance issues observed or experienced within 30 days of receipt of said product. To see additional details on this or any of our other policies, please see our Terms & Conditions page.Item has been added to Shopping Cart
If you are ready to order, navigate to Shopping Cart and get ready to checkout.
