Rabbit anti-Human, Rat TRRAP Polyclonal Antibody | anti-TRRAP antibody
TRRAP Rabbit Polyclonal Antibody
Gene Names
TRRAP; Tra1; TR-AP; PAF400; STAF40; PAF350/400
Reactivity
Human, Rat
Applications
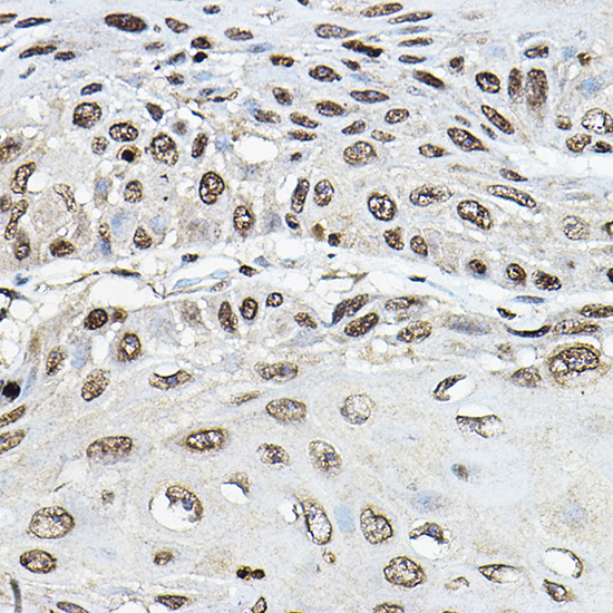
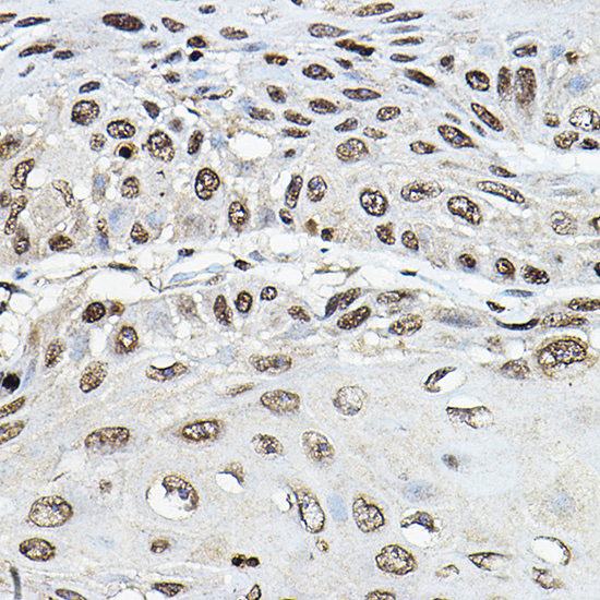
Immunohistochemistry, Western Blot
Purity
Affinity purification
Synonyms
TRRAP, Antibody; TRRAP Rabbit Polyclonal Antibody; PAF350/400, PAF400, STAF40, TR-AP, Tra1; anti-TRRAP antibody
Host
Rabbit
Reactivity
Human, Rat
Clonality
Polyclonal
Isotype
IgG
Purity/Purification
Affinity purification
Form/Format
Buffer: PBS with 0.02% sodium azide, 50% glycerol, pH7.3.
Applicable Applications for anti-TRRAP antibody
IHC (Immunohistochemistry), WB (Western Blot)
Immunogen
Recombinant protein of human TRRAP.
Preparation and Storage
Store at -20 degree C. Avoid freeze/thaw cycles.
Related Product Information for anti-TRRAP antibody
This gene encodes a large multidomain protein of the phosphoinositide 3-kinase-related kinases (PIKK) family. The encoded protein is a common component of many histone acetyltransferase (HAT) complexes and plays a role in transcription and DNA repair by recruiting HAT complexes to chromatin. Deregulation of this gene may play a role in several types of cancer including glioblastoma multiforme. Alternatively spliced transcript variants encoding multiple isoforms have been observed for this gene. [provided by RefSeq, Sep 2011]
Product Categories/Family for anti-TRRAP antibody
NCBI and Uniprot Product Information
NCBI GI #
NCBI GeneID
NCBI Accession #
NCBI GenBank Nucleotide #
Molecular Weight
434,414 Da
NCBI Official Full Name
transformation/transcription domain-associated protein isoform 1
NCBI Official Synonym Full Names
transformation/transcription domain-associated protein
NCBI Official Symbol
TRRAP
NCBI Official Synonym Symbols
Tra1; TR-AP; PAF400; STAF40; PAF350/400
NCBI Protein Information
transformation/transcription domain-associated protein; 350/400 kDa PCAF-associated factor; tra1 homolog
UniProt Protein Name
Transformation/transcription domain-associated protein
UniProt Gene Name
TRRAP
UniProt Synonym Gene Names
PAF400; PAF350/400
UniProt Entry Name
TRRAP_HUMAN
Customer Reviews
Loading reviews...
Share Your Experience
Similar Products
Product Notes
The TRRAP trrap (Catalog #AAA314668) is an Antibody produced from Rabbit and is intended for research purposes only. The product is available for immediate purchase. The TRRAP Rabbit Polyclonal Antibody reacts with Human, Rat and may cross-react with other species as described in the data sheet. AAA Biotech's TRRAP can be used in a range of immunoassay formats including, but not limited to, IHC (Immunohistochemistry), WB (Western Blot). Researchers should empirically determine the suitability of the TRRAP trrap for an application not listed in the data sheet. Researchers commonly develop new applications and it is an integral, important part of the investigative research process. It is sometimes possible for the material contained within the vial of "TRRAP, Polyclonal Antibody" to become dispersed throughout the inside of the vial, particularly around the seal of said vial, during shipment and storage. We always suggest centrifuging these vials to consolidate all of the liquid away from the lid and to the bottom of the vial prior to opening. Please be advised that certain products may require dry ice for shipping and that, if this is the case, an additional dry ice fee may also be required.Precautions
All products in the AAA Biotech catalog are strictly for research-use only, and are absolutely not suitable for use in any sort of medical, therapeutic, prophylactic, in-vivo, or diagnostic capacity. By purchasing a product from AAA Biotech, you are explicitly certifying that said products will be properly tested and used in line with industry standard. AAA Biotech and its authorized distribution partners reserve the right to refuse to fulfill any order if we have any indication that a purchaser may be intending to use a product outside of our accepted criteria.Disclaimer
Though we do strive to guarantee the information represented in this datasheet, AAA Biotech cannot be held responsible for any oversights or imprecisions. AAA Biotech reserves the right to adjust any aspect of this datasheet at any time and without notice. It is the responsibility of the customer to inform AAA Biotech of any product performance issues observed or experienced within 30 days of receipt of said product. To see additional details on this or any of our other policies, please see our Terms & Conditions page.Item has been added to Shopping Cart
If you are ready to order, navigate to Shopping Cart and get ready to checkout.
