Rabbit TSC2 Polyclonal Antibody | anti-TSC2 antibody
Phospho-Tuberin/TSC2 (Thr1462) Antibody
Phosphate buffered saline, pH 7.4, 150mM NaCl, 0.02% sodium azide and 50% glycerol.
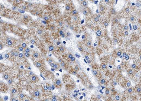
IHC (Immunohistochemisry)
(AAA321640 at 1/100 staining human liver tissue sections by IHC-P. The tissue was formaldehyde fixed and a heat mediated antigen retrieval step in citrate buffer was performed. The tissue was then blocked and incubated with the antibody for 1.5 hours at 22 degree C. An HRP conjugated goat anti-rabbit antibody was used as the secondary.)
WB (Western Blot)
(Western blot analysis of Phospho-Tuberin/TSC2 (Thr1462) Antibody expression in mouse brain and rat kidney tissues lysates.)
IF (Immunofluorescence)
(AAA321640 staining 293 by IF/ICC. The sample were fixed with PFA and permeabilized in 0.1% Triton X-100, then blocked in 10% serum for 45 minutes at 25 degree C. The primary antibody was diluted at 1/200 and incubated with the sample for 1 hour at 37 degree C. An Alexa Fluor 594 conjugated goat anti-rabbit IgG (H+L) Ab, diluted at 1/600, was used as the secondary antibody.)
Function: In complex with TSC1, this tumor suppressor inhibits the nutrient-mediated or growth factor-stimulated phosphorylation of S6K1 and EIF4EBP1 by negatively regulating mTORC1 signaling (PubMed:12271141, PubMed:28215400). Acts as a GTPase-activating protein (GAP) for the small GTPase RHEB, a direct activator of the protein kinase activity of mTORC1 (PubMed:15340059). May also play a role in microtubule-mediated protein transport (By similarity). Also stimulates the intrinsic GTPase activity of the Ras-related proteins RAP1A and RAB5 (By similarity).
Subunit Structure: Probably forms a complex composed of chaperones HSP90 and HSP70, co-chaperones STIP1/HOP, CDC37, PPP5C, PTGES3/p23, TSC1 and client protein TSC2 (PubMed:29127155). Probably forms a complex composed of chaperones HSP90 and HSP70, co-chaperones CDC37, PPP5C, TSC1 and client protein TSC2, CDK4, AKT, RAF1 and NR3C1; this complex does not contain co-chaperones STIP1/HOP and PTGES3/p23 (PubMed:29127155). Forms a complex containing HSP90AA1, TSC1 and TSC2; TSC1 is required to recruit TCS2 to the complex thereby stabilizing TSC2 (PubMed:29127155). Interacts with TSC1 and HERC1; the interaction with TSC1 stabilizes TSC2 and prevents the interaction with HERC1 (PubMed:9580671, PubMed:10585443, PubMed:15963462, PubMed:16464865). May also interact with the adapter molecule RABEP1 (PubMed:9045618). The final complex may contain TSC2 and RABEP1 linked to RAB5 (PubMed:9045618). Interacts with HSPA1 and HSPA8 (PubMed:15963462). Interacts with DAPK1 (PubMed:18974095). Interacts with FBXW5 (PubMed:18381890). Interacts with NAA10 (via C-terminal domain) (PubMed:20145209). Interacts with RRAGA (polyubiquitinated) (PubMed:25936802).
Post-translational Modifications: Phosphorylation at Ser-1387, Ser-1418 or Ser-1420 does not affect interaction with TSC1. Phosphorylation at Ser-939 and Thr-1462 by PKB/AKT1 is induced by growth factor stimulation. Phosphorylation by AMPK activates it and leads to negatively regulates the mTORC1 complex. Phosphorylated at Ser-1798 by RPS6KA1; phosphorylation inhibits TSC2 ability to suppress mTORC1 signaling. Phosphorylated by DAPK1. Ubiquitinated by the DCX(FBXW5) E3 ubiquitin-protein ligase complex, leading to its subsequent degradation. Ubiquitinated by MYCBP2 independently of its phosphorylation status leading to subsequent degradation; association with TSC1 protects from ubiquitination.
NCBI and Uniprot Product Information
Predicted: 201 kDa
Customer Reviews
Loading reviews...
Share Your Experience
Similar Products
Product Notes
The TSC2 tsc2 (Catalog #AAA321640) is an Antibody produced from Rabbit and is intended for research purposes only. The product is available for immediate purchase. The Phospho-Tuberin/TSC2 (Thr1462) Antibody reacts with Human, Mouse, Rat and may cross-react with other species as described in the data sheet. AAA Biotech's TSC2 can be used in a range of immunoassay formats including, but not limited to, ELISA, ICC (Immunocytochemistry), IF (Immunofluorescence), IHC (Immunohistochemistry), WB (Western Blot). Researchers should empirically determine the suitability of the TSC2 tsc2 for an application not listed in the data sheet. Researchers commonly develop new applications and it is an integral, important part of the investigative research process. It is sometimes possible for the material contained within the vial of "TSC2, Polyclonal Antibody" to become dispersed throughout the inside of the vial, particularly around the seal of said vial, during shipment and storage. We always suggest centrifuging these vials to consolidate all of the liquid away from the lid and to the bottom of the vial prior to opening. Please be advised that certain products may require dry ice for shipping and that, if this is the case, an additional dry ice fee may also be required.Precautions
All products in the AAA Biotech catalog are strictly for research-use only, and are absolutely not suitable for use in any sort of medical, therapeutic, prophylactic, in-vivo, or diagnostic capacity. By purchasing a product from AAA Biotech, you are explicitly certifying that said products will be properly tested and used in line with industry standard. AAA Biotech and its authorized distribution partners reserve the right to refuse to fulfill any order if we have any indication that a purchaser may be intending to use a product outside of our accepted criteria.Disclaimer
Though we do strive to guarantee the information represented in this datasheet, AAA Biotech cannot be held responsible for any oversights or imprecisions. AAA Biotech reserves the right to adjust any aspect of this datasheet at any time and without notice. It is the responsibility of the customer to inform AAA Biotech of any product performance issues observed or experienced within 30 days of receipt of said product. To see additional details on this or any of our other policies, please see our Terms & Conditions page.Item has been added to Shopping Cart
If you are ready to order, navigate to Shopping Cart and get ready to checkout.
