Rabbit anti-Human TSHZ2 Polyclonal Antibody | anti-TSHZ2 antibody
Rabbit Polyclonal to Human TSHZ2
WB (Western Blot)
(Western blot analysis of TSH2 Antibody (N-term) in CEM cell line lysates (35 ug/lane).TSH2 (arrow) was detected using the purified Pab.)
FCM/FACS (Flow Cytometry)
(TSH2 Antibody (N-term) flow cytometric analysis of CEM cells (right histogram) compared to a negative control cell (left histogram).FITC-conjugated goat-anti-rabbit secondary antibodies were used for the analysis.)
IF (Immunofluorescence)
(Fluorescent confocal image of U251 cell stained with TSH2 Antibody (N-term).U251 cells were fixed with 4% PFA (20 min), permeabilized with Triton X-100 (0.1%, 10 min), then incubated with TSH2 primary antibody (1:25, 1 h at 37[Character 2103]). For secondary antibody, Alexa Fluor[Character ae] 488 conjugated donkey anti-rabbit antibody (green) was used (1:400, 50 min at 37[Character 2103]).Cytoplasmic actin was counterstained with Alexa Fluor[Character ae] 555 (red) conjugated Phalloidin (7units/ml, 1 h at 37[Character 2103]). Nuclei were counterstained with DAPI (blue) (10 ug/ml, 10 min). TSH2 immunoreactivity is localized to Nucleus and Vesicles significantly.)
IHC (Immunohiostchemistry)
(TSH2 Antibody (N-term) immunohistochemistry analysis in formalin fixed and paraffin embedded human brain tissue followed by peroxidase conjugation of the secondary antibody and DAB staining. This demonstrates the use of the TSH2 Antibody (N-term) for immunohistochemistry.)
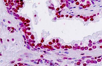
IHC (Immunohistochemistry)
(Anti-TSHZ2 antibody IHC staining of human prostate. Immunohistochemistry of formalin-fixed, paraffin-embedded tissue after heat-induced antigen retrieval.)
Customer Reviews
Loading reviews...
Share Your Experience
Similar Products
Product Notes
The TSHZ2 (Catalog #AAA52494) is an Antibody produced from Rabbit and is intended for research purposes only. The product is available for immediate purchase. The Rabbit Polyclonal to Human TSHZ2 reacts with Human and may cross-react with other species as described in the data sheet. AAA Biotech's TSHZ2 can be used in a range of immunoassay formats including, but not limited to, FCM/FACS (Flow Cytometry), WB (Western Blot), IF (Immunofluorescence), IHC (Immunohistochemistry). Researchers should empirically determine the suitability of the TSHZ2 for an application not listed in the data sheet. Researchers commonly develop new applications and it is an integral, important part of the investigative research process. It is sometimes possible for the material contained within the vial of "TSHZ2, Polyclonal Antibody" to become dispersed throughout the inside of the vial, particularly around the seal of said vial, during shipment and storage. We always suggest centrifuging these vials to consolidate all of the liquid away from the lid and to the bottom of the vial prior to opening. Please be advised that certain products may require dry ice for shipping and that, if this is the case, an additional dry ice fee may also be required.Precautions
All products in the AAA Biotech catalog are strictly for research-use only, and are absolutely not suitable for use in any sort of medical, therapeutic, prophylactic, in-vivo, or diagnostic capacity. By purchasing a product from AAA Biotech, you are explicitly certifying that said products will be properly tested and used in line with industry standard. AAA Biotech and its authorized distribution partners reserve the right to refuse to fulfill any order if we have any indication that a purchaser may be intending to use a product outside of our accepted criteria.Disclaimer
Though we do strive to guarantee the information represented in this datasheet, AAA Biotech cannot be held responsible for any oversights or imprecisions. AAA Biotech reserves the right to adjust any aspect of this datasheet at any time and without notice. It is the responsibility of the customer to inform AAA Biotech of any product performance issues observed or experienced within 30 days of receipt of said product. To see additional details on this or any of our other policies, please see our Terms & Conditions page.Item has been added to Shopping Cart
If you are ready to order, navigate to Shopping Cart and get ready to checkout.
