Rabbit TSKS Polyclonal Antibody | anti-TSKS antibody
TSKS antibody - N-terminal region
Gene Names
TSKS; TSKS1; TSSKS; STK22S1; PPP1R161
Reactivity
Cow, Dog, Human, Mouse, Pig, Rabbit, Rat
Applications
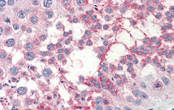
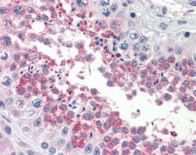
Western Blot, Immunohistochemistry
Purity
Affinity Purified
Synonyms
TSKS, Antibody; TSKS antibody - N-terminal region; anti-TSKS antibody
Host
Rabbit
Reactivity
Cow, Dog, Human, Mouse, Pig, Rabbit, Rat
Clonality
Polyclonal
Purity/Purification
Affinity Purified
Form/Format
Liquid. Purified antibody supplied in 1x PBS buffer with 0.09% (w/v) sodium azide and 2% sucrose.
Sequence
Synthetic peptide located within the following region: MASVVVKTIWQSKEIHEAGDTPTGVESCSQLVPEAPRRVTSRAKGIPKKK
Sequence Length
592
Applicable Applications for anti-TSKS antibody
WB (Western Blot), IHC (Immunohistochemistry)
Homology
Cow: 86%; Dog: 86%; Human: 100%; Mouse: 86%; Pig: 86%; Rabbit: 79%; Rat: 86%
Immunogen
The immunogen is a synthetic peptide directed towards the N terminal region of human TSKS
Preparation and Storage
For short term use, store at 2-8 degree C up to 1 week. For long term storage, store at -20 degree C in small aliquots to prevent freeze-thaw cycles.
Related Product Information for anti-TSKS antibody
This is a rabbit polyclonal antibody against TSKS. It was validated on Western Blot using a cell lysate as a positive control.
Target Description: TSKS may play a role in testicular physiology, spermatogenesis or spermiogenesis. Expression of TSKS is highest in the testis and down-regulated in testicular cancer. The gene is localized to the region 19q13.3 among the related RAS viral oncogene homolog (RRAS) and interferon regulatory factor 3 (IRF3) genes, which are both involved in tumorigenesis pathways and progression.This gene may play a role in testicular physiology, spermatogenesis or spermiogenesis. Expression of the encoded protein is highest in the testis and down-regulated in testicular cancer. The gene is localized to the region 19q13.3 among the related RAS viral oncogene homolog (RRAS) and interferon regulatory factor 3 (IRF3) genes, which are both involved in tumorigenesis pathways and progression.
Target Description: TSKS may play a role in testicular physiology, spermatogenesis or spermiogenesis. Expression of TSKS is highest in the testis and down-regulated in testicular cancer. The gene is localized to the region 19q13.3 among the related RAS viral oncogene homolog (RRAS) and interferon regulatory factor 3 (IRF3) genes, which are both involved in tumorigenesis pathways and progression.This gene may play a role in testicular physiology, spermatogenesis or spermiogenesis. Expression of the encoded protein is highest in the testis and down-regulated in testicular cancer. The gene is localized to the region 19q13.3 among the related RAS viral oncogene homolog (RRAS) and interferon regulatory factor 3 (IRF3) genes, which are both involved in tumorigenesis pathways and progression.
Product Categories/Family for anti-TSKS antibody
NCBI and Uniprot Product Information
NCBI GI #
NCBI GeneID
NCBI Accession #
NCBI GenBank Nucleotide #
UniProt Accession #
Molecular Weight
65kDa
NCBI Official Full Name
testis-specific serine kinase substrate
NCBI Official Synonym Full Names
testis specific serine kinase substrate
NCBI Official Symbol
TSKS
NCBI Official Synonym Symbols
TSKS1; TSSKS; STK22S1; PPP1R161
NCBI Protein Information
testis-specific serine kinase substrate
UniProt Protein Name
Testis-specific serine kinase substrate
UniProt Gene Name
TSKS
UniProt Synonym Gene Names
STK22S1; TSKS1; Testis-specific kinase substrate
UniProt Entry Name
TSKS_HUMAN
Similar Products
Product Notes
The TSKS tsks (Catalog #AAA200328) is an Antibody produced from Rabbit and is intended for research purposes only. The product is available for immediate purchase. The TSKS antibody - N-terminal region reacts with Cow, Dog, Human, Mouse, Pig, Rabbit, Rat and may cross-react with other species as described in the data sheet. AAA Biotech's TSKS can be used in a range of immunoassay formats including, but not limited to, WB (Western Blot), IHC (Immunohistochemistry). Researchers should empirically determine the suitability of the TSKS tsks for an application not listed in the data sheet. Researchers commonly develop new applications and it is an integral, important part of the investigative research process. The amino acid sequence is listed below: Synthetic peptide located within the following region: MASVVVKTIW QSKEIHEAGD TPTGVESCSQ LVPEAPRRVT SRAKGIPKKK. It is sometimes possible for the material contained within the vial of "TSKS, Polyclonal Antibody" to become dispersed throughout the inside of the vial, particularly around the seal of said vial, during shipment and storage. We always suggest centrifuging these vials to consolidate all of the liquid away from the lid and to the bottom of the vial prior to opening. Please be advised that certain products may require dry ice for shipping and that, if this is the case, an additional dry ice fee may also be required.Precautions
All products in the AAA Biotech catalog are strictly for research-use only, and are absolutely not suitable for use in any sort of medical, therapeutic, prophylactic, in-vivo, or diagnostic capacity. By purchasing a product from AAA Biotech, you are explicitly certifying that said products will be properly tested and used in line with industry standard. AAA Biotech and its authorized distribution partners reserve the right to refuse to fulfill any order if we have any indication that a purchaser may be intending to use a product outside of our accepted criteria.Disclaimer
Though we do strive to guarantee the information represented in this datasheet, AAA Biotech cannot be held responsible for any oversights or imprecisions. AAA Biotech reserves the right to adjust any aspect of this datasheet at any time and without notice. It is the responsibility of the customer to inform AAA Biotech of any product performance issues observed or experienced within 30 days of receipt of said product. To see additional details on this or any of our other policies, please see our Terms & Conditions page.Item has been added to Shopping Cart
If you are ready to order, navigate to Shopping Cart and get ready to checkout.
