Rabbit anti-Human TSPAN1 / TM4SF Polyclonal Antibody | anti-TSPAN1 / TM4SF antibody
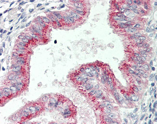
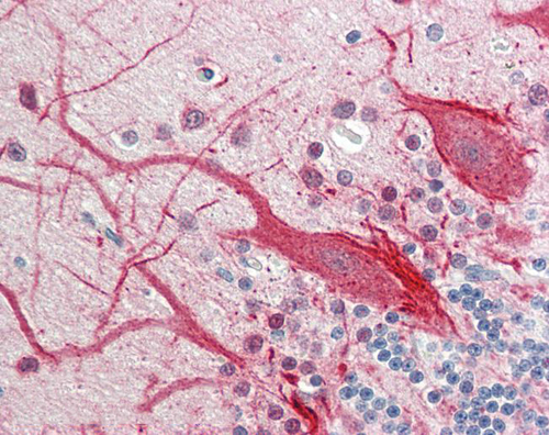
Anti-TSPAN1 / TM4SF Antibody (aa132-227) IHC-plus
Gene Names
TSPAN1; NET1; TM4C; TM4SF
Reactivity
Human
Applications
Western Blot, Immunohistochemistry
Purity
Immunoaffinity purified
Synonyms
TSPAN1 / TM4SF, Antibody; Anti-TSPAN1 / TM4SF Antibody (aa132-227) IHC-plus; Rabbit Polyclonal to Human TSPAN1 / TM4SF; Human TSPAN1 / TM4SF; TSPAN1; NET-1; TM4C; Tspan-1; Tetraspanin-1; Tetraspan 1; Tetraspan NET-1; Tetraspanin TM4-C; Tetraspanin 1; TM4SF; anti-TSPAN1 / TM4SF antibody
Host
Rabbit
Reactivity
Human
Clonality
Polyclonal
Specificity
Human TSPAN1 / TM4SF
Purity/Purification
Immunoaffinity purified
Form/Format
0.1 M Tris-glycine, pH 7.0, 10% glycerol, 0.01% Thimerosal
Concentration
1 mg/ml (varies by lot)
Sequence Length
241
Applicable Applications for anti-TSPAN1 / TM4SF antibody
WB (Western Blot), IHC (Immunohistochemistry)
Immunogen
TSPAN1 / TM4SF antibody was raised against synthetic peptide corresponding to a region within amino acids 132 and 227 of Tetraspan 1 (SwissProt O60635).
Immunogen Description
Synthetic peptide corresponding to a region within amino acids 132 and 227 of Tetraspan 1 (SwissProt O60635).
Immunogen Type
Synthetic peptide
Antigen Modification
aa132-227
Target Species
Human
Preparation and Storage
Keep as concentrated solution. Aliquot and store at -20 degree C or below. Avoid multiple freeze-thaw cycles.
Related Product Information for anti-TSPAN1 / TM4SF antibody
TSPAN1 Antibody, NET-1 Antibody, TM4C Antibody, Tspan-1 Antibody, Tetraspanin-1 Antibody, Tetraspan 1 Antibody, Tetraspan NET-1 Antibody, Tetraspanin TM4-C Antibody, Tetraspanin 1 Antibody, TM4SF Antibody Description: The protein encoded by this gene is a member of the transmembrane 4 superfamily, also known as the tetraspanin family. Most of these members are cell-surface proteins that are characterized by the presence of four hydrophobic domains. The proteins mediate signal transduction events that play a role in the regulation of cell development, activation, growth and motility.
NCBI and Uniprot Product Information
NCBI GI #
NCBI GeneID
NCBI Accession #
NCBI GenBank Nucleotide #
Molecular Weight
26,301 Da
NCBI Official Full Name
tetraspanin-1
NCBI Official Synonym Full Names
tetraspanin 1
NCBI Official Symbol
TSPAN1
NCBI Official Synonym Symbols
NET1; TM4C; TM4SF
NCBI Protein Information
tetraspanin-1
UniProt Protein Name
Tetraspanin-1
UniProt Gene Name
TSPAN1
UniProt Synonym Gene Names
Tspan-1
UniProt Entry Name
TSN1_HUMAN
Customer Reviews
Loading reviews...
Share Your Experience
Similar Products
Product Notes
The TSPAN1 / TM4SF tspan1 (Catalog #AAA162200) is an Antibody produced from Rabbit and is intended for research purposes only. The product is available for immediate purchase. The Anti-TSPAN1 / TM4SF Antibody (aa132-227) IHC-plus reacts with Human and may cross-react with other species as described in the data sheet. AAA Biotech's TSPAN1 / TM4SF can be used in a range of immunoassay formats including, but not limited to, WB (Western Blot), IHC (Immunohistochemistry). Researchers should empirically determine the suitability of the TSPAN1 / TM4SF tspan1 for an application not listed in the data sheet. Researchers commonly develop new applications and it is an integral, important part of the investigative research process. It is sometimes possible for the material contained within the vial of "TSPAN1 / TM4SF, Polyclonal Antibody" to become dispersed throughout the inside of the vial, particularly around the seal of said vial, during shipment and storage. We always suggest centrifuging these vials to consolidate all of the liquid away from the lid and to the bottom of the vial prior to opening. Please be advised that certain products may require dry ice for shipping and that, if this is the case, an additional dry ice fee may also be required.Precautions
All products in the AAA Biotech catalog are strictly for research-use only, and are absolutely not suitable for use in any sort of medical, therapeutic, prophylactic, in-vivo, or diagnostic capacity. By purchasing a product from AAA Biotech, you are explicitly certifying that said products will be properly tested and used in line with industry standard. AAA Biotech and its authorized distribution partners reserve the right to refuse to fulfill any order if we have any indication that a purchaser may be intending to use a product outside of our accepted criteria.Disclaimer
Though we do strive to guarantee the information represented in this datasheet, AAA Biotech cannot be held responsible for any oversights or imprecisions. AAA Biotech reserves the right to adjust any aspect of this datasheet at any time and without notice. It is the responsibility of the customer to inform AAA Biotech of any product performance issues observed or experienced within 30 days of receipt of said product. To see additional details on this or any of our other policies, please see our Terms & Conditions page.Item has been added to Shopping Cart
If you are ready to order, navigate to Shopping Cart and get ready to checkout.
