Loading...

Skip to main content
Call us at +1-800-604-9114 for more information about our products or contact us online Need help? +1-800-604-9114 or contact us
product-image-AAA173115_WB13.png WB (Western Blot) (Western Blot analysis of Mouse adrenal gland tissue using TTC23 Polyclonal Antibody at dilution of 1/800)

Rabbit anti-Human, Mouse TTC23 Polyclonal Antibody | anti-TTC23 antibody

TTC23 Polyclonal Antibody

Average rating 0.0
No ratings yet
Gene Names
TTC23; HCC-8
Reactivity
Human, Mouse
Applications
Immunohistochemistry, Western Blot, ELISA
Purity
Antigen Affinity Purification
Synonyms
TTC23, Antibody; TTC23 Polyclonal Antibody; HCC-8; anti-TTC23 antibody
Ordering
Host
Rabbit
Reactivity
Human, Mouse
Clonality
Polyclonal
Isotype
IgG
Purity/Purification
Antigen Affinity Purification
Concentration
2.1mg/ml (varies by lot)
Sequence Length
393
Applicable Applications for anti-TTC23 antibody
IHC (Immunohistochemistry), WB (Western Blot), ELISA
Immunogen
Fusion protein of human TTC23
Buffer
PBS with 0.05% sodium azide, 50% glycerol, pH7.3
Preparation and Storage
Store at -20 degree C. Avoid freeze/thaw cycles.

WB (Western Blot)

(Western Blot analysis of Mouse adrenal gland tissue using TTC23 Polyclonal Antibody at dilution of 1/800)

product-image-AAA173115_WB13.png WB (Western Blot) (Western Blot analysis of Mouse adrenal gland tissue using TTC23 Polyclonal Antibody at dilution of 1/800)

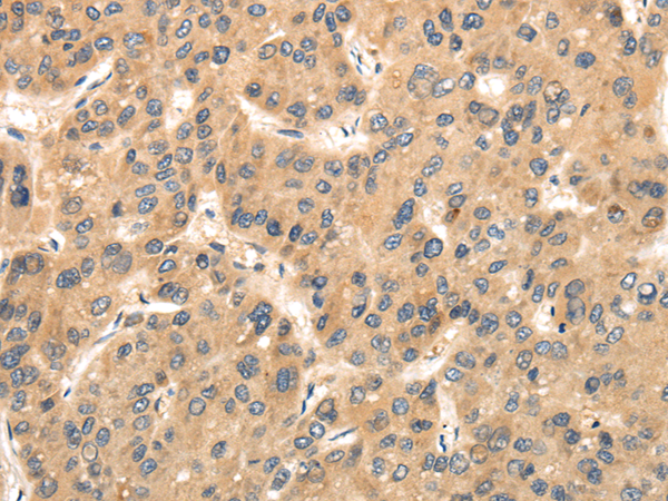
IHC (Immunohistochemistry)

(Immunohistochemistry of paraffin-embedded Human liver cancer using TTC23 Polyclonal Antibody at dilution of 1/35)

product-image-AAA173115_IHC15.png IHC (Immunohistochemistry) (Immunohistochemistry of paraffin-embedded Human liver cancer using TTC23 Polyclonal Antibody at dilution of 1/35)
Related Product Information for anti-TTC23 antibody
The tetratricopeptide repeat  (TPR) is a structural motif. It consists in a degenerate 34 amino acid sequence motif identified in a wide variety of proteins. It is found in tandem arrays of 3-16 motifs, [1] which form scaffolds to mediate protein-protein interactions and often the assembly of multiprotein complexes. These repeats usually fold together to produce a single, linearsolenoid domain called TPR domain.

NCBI and Uniprot Product Information

NCBI GI #
NCBI GeneID
Molecular Weight
50 kDa
NCBI Official Full Name
TTC23 protein
NCBI Official Synonym Full Names
tetratricopeptide repeat domain 23
NCBI Official Symbol
TTC23
NCBI Official Synonym Symbols
HCC-8
NCBI Protein Information
tetratricopeptide repeat protein 23
UniProt Protein Name
Tetratricopeptide repeat protein 23
UniProt Gene Name
TTC23
UniProt Synonym Gene Names
TPR repeat protein 23; HCC-8
UniProt Entry Name
TTC23_HUMAN

Customer Reviews

View All Reviews

Loading reviews...

Share Your Experience

Rating

Similar Products

Product Notes

The TTC23 ttc23 (Catalog #AAA173115) is an Antibody produced from Rabbit and is intended for research purposes only. The product is available for immediate purchase. The TTC23 Polyclonal Antibody reacts with Human, Mouse and may cross-react with other species as described in the data sheet. AAA Biotech's TTC23 can be used in a range of immunoassay formats including, but not limited to, IHC (Immunohistochemistry), WB (Western Blot), ELISA. Researchers should empirically determine the suitability of the TTC23 ttc23 for an application not listed in the data sheet. Researchers commonly develop new applications and it is an integral, important part of the investigative research process. It is sometimes possible for the material contained within the vial of "TTC23, Polyclonal Antibody" to become dispersed throughout the inside of the vial, particularly around the seal of said vial, during shipment and storage. We always suggest centrifuging these vials to consolidate all of the liquid away from the lid and to the bottom of the vial prior to opening. Please be advised that certain products may require dry ice for shipping and that, if this is the case, an additional dry ice fee may also be required.

Precautions

All products in the AAA Biotech catalog are strictly for research-use only, and are absolutely not suitable for use in any sort of medical, therapeutic, prophylactic, in-vivo, or diagnostic capacity. By purchasing a product from AAA Biotech, you are explicitly certifying that said products will be properly tested and used in line with industry standard. AAA Biotech and its authorized distribution partners reserve the right to refuse to fulfill any order if we have any indication that a purchaser may be intending to use a product outside of our accepted criteria.

Disclaimer

Though we do strive to guarantee the information represented in this datasheet, AAA Biotech cannot be held responsible for any oversights or imprecisions. AAA Biotech reserves the right to adjust any aspect of this datasheet at any time and without notice. It is the responsibility of the customer to inform AAA Biotech of any product performance issues observed or experienced within 30 days of receipt of said product. To see additional details on this or any of our other policies, please see our Terms & Conditions page.

Item has been added to Shopping Cart

If you are ready to order, navigate to Shopping Cart and get ready to checkout.

Submit a Question

Please complete the form below and a representative will contact you as soon as possible.

Request more Information

Please complete the form below and a representative will contact you as soon as possible.

Request a Manual

Please complete the form below and a representative will contact you as soon as possible.

Request a Quote

Please complete the form below and a representative will contact you as soon as possible.