Loading...

Skip to main content
Call us at +1-800-604-9114 for more information about our products or contact us online Need help? +1-800-604-9114 or contact us
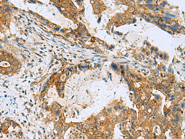
product-image-AAA175506_IHC11.png IHC (Immunohistochemisry) (Immunohistochemistry of paraffin-embedded Human gastric cancer tissue using TUBD1 Polyclonal Antibody at dilution of 1:70(×200))

Rabbit anti-Human, Mouse TUBD1 Polyclonal Antibody | anti-TUBD1 antibody

TUBD1 Polyclonal Antibody

Average rating 0.0
No ratings yet
Gene Names
TUBD1; TUBD
Reactivity
Human, Mouse
Applications
ELISA, Immunohistochemistry, Western Blot
Purity
Antigen Affinity Purification
Synonyms
TUBD1, Antibody; TUBD1 Polyclonal Antibody; Delta tubulin; Delta-tubulin; FLJ12709; TBD; TUBD; TUBD1; Tubulin delta chain; anti-TUBD1 antibody
Ordering
Host
Rabbit
Reactivity
Human, Mouse
Clonality
Polyclonal
Isotype
IgG
Purity/Purification
Antigen Affinity Purification
Form/Format
PBS with 0.05% NaN3 and 40% Glycerol, pH7.4
Concentration
1.26mg/mL (varies by lot)
Sequence Length
453
Applicable Applications for anti-TUBD1 antibody
ELISA, IHC (Immunohistochemistry), WB (Western Blot)
Immunogen
Fusion protein of human TUBD1
Conjugation
Unconjugated
Preparation and Storage
Store at -20 degree C. Avoid freeze/thaw cycles.

IHC (Immunohistochemisry)

(Immunohistochemistry of paraffin-embedded Human gastric cancer tissue using TUBD1 Polyclonal Antibody at dilution of 1:70(×200))

product-image-AAA175506_IHC11.png IHC (Immunohistochemisry) (Immunohistochemistry of paraffin-embedded Human gastric cancer tissue using TUBD1 Polyclonal Antibody at dilution of 1:70(×200))

IHC (Immunohiostchemistry)

(Immunohistochemistry of paraffin-embedded Human cervical cancer tissue using TUBD1 Polyclonal Antibody at dilution of 1:70(×200))

product-image-AAA175506_IHC13.png IHC (Immunohiostchemistry) (Immunohistochemistry of paraffin-embedded Human cervical cancer tissue using TUBD1 Polyclonal Antibody at dilution of 1:70(×200))

WB (Western Blot)

(Western blot analysis of Jurkat cell lysate using TUBD1 Polyclonal Antibody at dilution of 1:1000)

product-image-AAA175506_WB15.png WB (Western Blot) (Western blot analysis of Jurkat cell lysate using TUBD1 Polyclonal Antibody at dilution of 1:1000)
Related Product Information for anti-TUBD1 antibody
In the elongating spermatid it is associated with the manchette, a specialized microtubule system present during reshaping of the sperm head.
Product Categories/Family for anti-TUBD1 antibody

NCBI and Uniprot Product Information

NCBI GI #
NCBI GeneID
NCBI Accession #
NCBI GenBank Nucleotide #
UniProt Accession #
Molecular Weight
51 kDa
NCBI Official Full Name
tubulin delta chain isoform 1
NCBI Official Synonym Full Names
tubulin delta 1
NCBI Official Symbol
TUBD1
NCBI Official Synonym Symbols
TUBD
NCBI Protein Information
tubulin delta chain
UniProt Protein Name
Tubulin delta chain
UniProt Gene Name
TUBD1
UniProt Synonym Gene Names
TUBD
UniProt Entry Name
TBD_HUMAN

Customer Reviews

View All Reviews

Loading reviews...

Share Your Experience

Rating

Similar Products

Product Notes

The TUBD1 tubd1 (Catalog #AAA175506) is an Antibody produced from Rabbit and is intended for research purposes only. The product is available for immediate purchase. The TUBD1 Polyclonal Antibody reacts with Human, Mouse and may cross-react with other species as described in the data sheet. AAA Biotech's TUBD1 can be used in a range of immunoassay formats including, but not limited to, ELISA, IHC (Immunohistochemistry), WB (Western Blot). Researchers should empirically determine the suitability of the TUBD1 tubd1 for an application not listed in the data sheet. Researchers commonly develop new applications and it is an integral, important part of the investigative research process. It is sometimes possible for the material contained within the vial of "TUBD1, Polyclonal Antibody" to become dispersed throughout the inside of the vial, particularly around the seal of said vial, during shipment and storage. We always suggest centrifuging these vials to consolidate all of the liquid away from the lid and to the bottom of the vial prior to opening. Please be advised that certain products may require dry ice for shipping and that, if this is the case, an additional dry ice fee may also be required.

Precautions

All products in the AAA Biotech catalog are strictly for research-use only, and are absolutely not suitable for use in any sort of medical, therapeutic, prophylactic, in-vivo, or diagnostic capacity. By purchasing a product from AAA Biotech, you are explicitly certifying that said products will be properly tested and used in line with industry standard. AAA Biotech and its authorized distribution partners reserve the right to refuse to fulfill any order if we have any indication that a purchaser may be intending to use a product outside of our accepted criteria.

Disclaimer

Though we do strive to guarantee the information represented in this datasheet, AAA Biotech cannot be held responsible for any oversights or imprecisions. AAA Biotech reserves the right to adjust any aspect of this datasheet at any time and without notice. It is the responsibility of the customer to inform AAA Biotech of any product performance issues observed or experienced within 30 days of receipt of said product. To see additional details on this or any of our other policies, please see our Terms & Conditions page.

Item has been added to Shopping Cart

If you are ready to order, navigate to Shopping Cart and get ready to checkout.

Submit a Question

Please complete the form below and a representative will contact you as soon as possible.

Request more Information

Please complete the form below and a representative will contact you as soon as possible.

Request a Manual

Please complete the form below and a representative will contact you as soon as possible.

Request a Quote

Please complete the form below and a representative will contact you as soon as possible.