Rabbit Tumor protein 63 Polyclonal Antibody | anti-TP63 antibody
Anti-p63 Antibody
Each vial contains 5mg BSA, 0.9mg NaCl, 0.2mg Na2HPO4, 0.05mg NaN3.
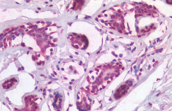
IHC (Immunohiostchemistry)
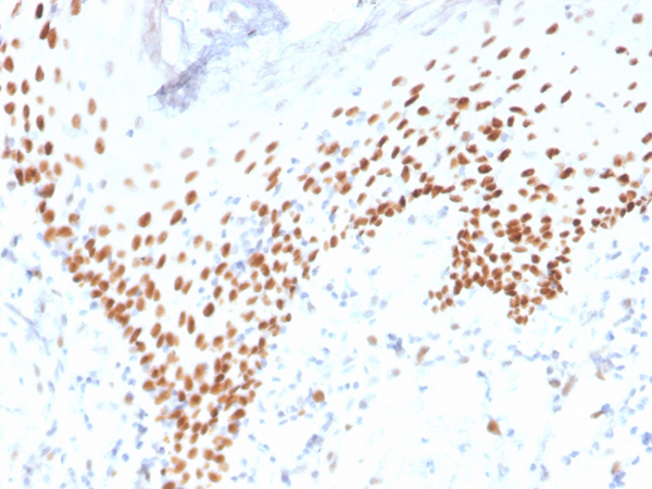
(Anti-p63 Picoband antibody, AAA46027-2.JPGIHC(P): Human Oesophagus Squama Cancer Tissue)
Application Data
(Anti-p63 Picoband antibody, AAA46027-1.jpgAll lanes: Anti P63 (AAA46027) at 0.5ug/mlWB: Recombinant Human P63 Protein 0.5ngPredicted bind size: 39KDObserved bind size: 39KD)
Background: Tumor protein p63 (TP63), also known as the p63 or TP73L is a protein that in humans is encoded by the TP63 gene. It is mapped to 3q28. TP63 is a member of the p53 family of transcription factors. This gene encodes for two main isoforms by alternative promoters (TAp63 and deltaNp63). TP63 has been mostly restricted to its apoptotic function and more recently as the guardian of oocyte integrity. It has been found that the combined loss of TP63 and p73 results in the failure of cells containing functional p53 to undergo apoptosis in response to DNA damage. TP63 is an essential regulator of stem cell maintenance in stratified epithelial tissues. Tp63 is also critical for maintaining the progenitor-cell populations that are necessary to sustain epithelial development and morphogenesis.
NCBI and Uniprot Product Information
Customer Reviews
Loading reviews...
Share Your Experience
Similar Products
Product Notes
The TP63 tp63 (Catalog #AAA46027) is an Antibody produced from Rabbit and is intended for research purposes only. The product is available for immediate purchase. The Anti-p63 Antibody reacts with Human. No cross reactivity with other proteins. and may cross-react with other species as described in the data sheet. AAA Biotech's Tumor protein 63 can be used in a range of immunoassay formats including, but not limited to, IHC (Immunohistochemistry), WB (Western Blot). Researchers should empirically determine the suitability of the TP63 tp63 for an application not listed in the data sheet. Researchers commonly develop new applications and it is an integral, important part of the investigative research process. It is sometimes possible for the material contained within the vial of "Tumor protein 63, Polyclonal Antibody" to become dispersed throughout the inside of the vial, particularly around the seal of said vial, during shipment and storage. We always suggest centrifuging these vials to consolidate all of the liquid away from the lid and to the bottom of the vial prior to opening. Please be advised that certain products may require dry ice for shipping and that, if this is the case, an additional dry ice fee may also be required.Precautions
All products in the AAA Biotech catalog are strictly for research-use only, and are absolutely not suitable for use in any sort of medical, therapeutic, prophylactic, in-vivo, or diagnostic capacity. By purchasing a product from AAA Biotech, you are explicitly certifying that said products will be properly tested and used in line with industry standard. AAA Biotech and its authorized distribution partners reserve the right to refuse to fulfill any order if we have any indication that a purchaser may be intending to use a product outside of our accepted criteria.Disclaimer
Though we do strive to guarantee the information represented in this datasheet, AAA Biotech cannot be held responsible for any oversights or imprecisions. AAA Biotech reserves the right to adjust any aspect of this datasheet at any time and without notice. It is the responsibility of the customer to inform AAA Biotech of any product performance issues observed or experienced within 30 days of receipt of said product. To see additional details on this or any of our other policies, please see our Terms & Conditions page.Item has been added to Shopping Cart
If you are ready to order, navigate to Shopping Cart and get ready to checkout.
