Rabbit Tumor protein p73 Polyclonal Antibody | anti-TP73 antibody
Anti-p73 Antibody
Each vial contains 5mg BSA, 0.9mg NaCl, 0.2mg Na2HPO4, 0.05mg NaN3.
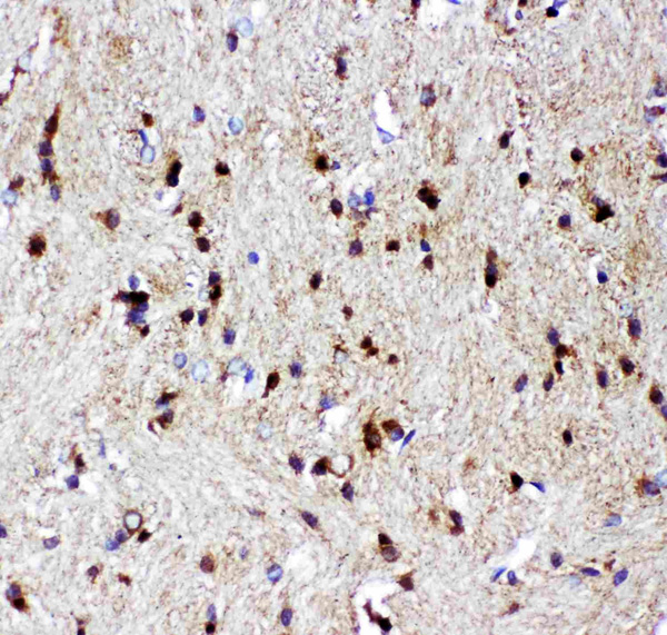
IHC (Immunohistochemisry)
(Anti- p73 antibody, AAA46016, IHC(P)IHC(P): Human Intestinal Cancer Tissue)
WB (Western Blot)
(Anti- p73 antibody, AAA46016, Western blottingAll lanes: Anti p73 (AAA46016) at 0.5ug/mlLane 1: HELA Whole Cell Lysate at 40ugLane 2: MCF-7 Whole Cell Lysate at 40ugLane 3: COLO320 Whole Cell Lysate at 40ugPredicted bind size: 73KDObserved bind size: 73KD)
WB (Western Blot)
(Anti- p73 antibody, AAA46016, Western blottingAll lanes: Anti p73 (AAA46016) at 0.5ug/mlWB: Recombinant Human p73 Protein 0.5ngPredicted bind size: 45KDObserved bind size: 45KD)
Background: p73, also known as tumor protein 73(TP73), encodes a member of the p53 family of transcription factors involved in cellular responses to stress and development. It is mapped to a region on chromosome 1p36 that is frequently deleted in neuroblastoma and other tumors, and thought to contain multiple tumor suppressor genes. The demonstration that this gene is monoallelically expressed (likely from the maternal allele), supports the notion that it is a candidate gene for neuroblastoma. Furthermore, recent finding are suggesting that over-expression of transcription factors involved in cell cycle regulation and synthesis of DNA in mammalian cells (e.g.: E2F-1) induces the expression of p73. In addition, p73 is a substrate of the c-Abl kinase and that the ability of c-Abl to phosphorylate p73 is markedly increased by gamma-irradiation.
NCBI and Uniprot Product Information
Customer Reviews
Loading reviews...
Share Your Experience
Similar Products
Product Notes
The TP73 tp73 (Catalog #AAA46016) is an Antibody produced from Rabbit and is intended for research purposes only. The product is available for immediate purchase. The Anti-p73 Antibody reacts with Human, Mouse, Rat. No cross reactivity with other proteins. and may cross-react with other species as described in the data sheet. AAA Biotech's Tumor protein p73 can be used in a range of immunoassay formats including, but not limited to, IHC (Immunohistochemistry), WB (Western Blot). Researchers should empirically determine the suitability of the TP73 tp73 for an application not listed in the data sheet. Researchers commonly develop new applications and it is an integral, important part of the investigative research process. It is sometimes possible for the material contained within the vial of "Tumor protein p73, Polyclonal Antibody" to become dispersed throughout the inside of the vial, particularly around the seal of said vial, during shipment and storage. We always suggest centrifuging these vials to consolidate all of the liquid away from the lid and to the bottom of the vial prior to opening. Please be advised that certain products may require dry ice for shipping and that, if this is the case, an additional dry ice fee may also be required.Precautions
All products in the AAA Biotech catalog are strictly for research-use only, and are absolutely not suitable for use in any sort of medical, therapeutic, prophylactic, in-vivo, or diagnostic capacity. By purchasing a product from AAA Biotech, you are explicitly certifying that said products will be properly tested and used in line with industry standard. AAA Biotech and its authorized distribution partners reserve the right to refuse to fulfill any order if we have any indication that a purchaser may be intending to use a product outside of our accepted criteria.Disclaimer
Though we do strive to guarantee the information represented in this datasheet, AAA Biotech cannot be held responsible for any oversights or imprecisions. AAA Biotech reserves the right to adjust any aspect of this datasheet at any time and without notice. It is the responsibility of the customer to inform AAA Biotech of any product performance issues observed or experienced within 30 days of receipt of said product. To see additional details on this or any of our other policies, please see our Terms & Conditions page.Item has been added to Shopping Cart
If you are ready to order, navigate to Shopping Cart and get ready to checkout.
