Rabbit Twist1 Polyclonal Antibody | anti-Twist1 antibody
Twist1 Antibody
Predicted Reactivity: Pig (100%), Bovine (100%), Chicken (100%), Xenopus (100%)
Predicted Reactivity: Pig (100%), Bovine (100%), Chicken (100%), Xenopus (100%)
Tissue Specificity: Subset of mesodermal cells.
Application Data
(At 25 degree C. The primary antibody was diluted at 1/200 and incubated with the sample for 1 hour at 37 degree C. An Alexa Fluor 594 conjugated goat anti-rabbit IgG (H+L) Ab, diluted at 1/600, was used as the secondary antibody.)
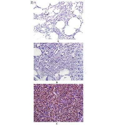
IHC (Immunohistochemisry)
(Immunohistochemical staining for Twist1 in representative tissue samples. (A) Low nuclear expression in the BM biopsy specimens of MM patients without skeletal EMD. (B) Low nuclear expression in the BM biopsy specimens of MM patients with skeletal EMD. (C) High nuclear expression in skeletal EMD of MM patients. Original magnification ×400. (1-3) Immunohistoch)
IHC (Immunohiostchemistry)
(Staining Human normal tissues adjacent to colorectal cancer by IHC-P. The sample was formaldehyde fixed and a heat mediated antigen retrieval step in citrate buffer was performed. The sample was then blocked and incubated with the primary antibody at 4 degree C overnight. An HRP conjugated anti-Rabbit antibody was used as the secondary antibody.)
WB (Western Blot)
(Western blot analysis of extracts from JK, Raji and HL-60 cells using Twist1 Antibody)
Acts as a transcriptional regulator. Inhibits myogenesis by sequestrating E proteins, inhibiting trans-activation by MEF2, and inhibiting DNA-binding by MYOD1 through physical interaction. This interaction probably involves the basic domains of both proteins. Also represses expression of proinflammatory cytokines such as TNFA and IL1B. Regulates cranial suture patterning and fusion. Activates transcription as a heterodimer with E proteins. Regulates gene expression differentially, depending on dimer composition. Homodimers induce expression of FGFR2 and POSTN while heterodimers repress FGFR2 and POSTN expression and induce THBS1 expression. Heterodimerization is also required for osteoblast differentiation.
NCBI and Uniprot Product Information
Customer Reviews
Loading reviews...
Share Your Experience
Similar Products
Product Notes
The Twist1 twist1 (Catalog #AAA329379) is an Antibody produced from Rabbit and is intended for research purposes only. The product is available for immediate purchase. The Twist1 Antibody reacts with Human, Mouse, Rat Predicted Reactivity: Pig (100%), Bovine (100%), Chicken (100%), Xenopus (100%) and may cross-react with other species as described in the data sheet. AAA Biotech's Twist1 can be used in a range of immunoassay formats including, but not limited to, ELISA (Peptide ELISA), ICC (Immunocytochemistry), IF (Immunofluorescence), IHC (Immunohistochemistry), WB (Western Blot). Researchers should empirically determine the suitability of the Twist1 twist1 for an application not listed in the data sheet. Researchers commonly develop new applications and it is an integral, important part of the investigative research process. It is sometimes possible for the material contained within the vial of "Twist1, Polyclonal Antibody" to become dispersed throughout the inside of the vial, particularly around the seal of said vial, during shipment and storage. We always suggest centrifuging these vials to consolidate all of the liquid away from the lid and to the bottom of the vial prior to opening. Please be advised that certain products may require dry ice for shipping and that, if this is the case, an additional dry ice fee may also be required.Precautions
All products in the AAA Biotech catalog are strictly for research-use only, and are absolutely not suitable for use in any sort of medical, therapeutic, prophylactic, in-vivo, or diagnostic capacity. By purchasing a product from AAA Biotech, you are explicitly certifying that said products will be properly tested and used in line with industry standard. AAA Biotech and its authorized distribution partners reserve the right to refuse to fulfill any order if we have any indication that a purchaser may be intending to use a product outside of our accepted criteria.Disclaimer
Though we do strive to guarantee the information represented in this datasheet, AAA Biotech cannot be held responsible for any oversights or imprecisions. AAA Biotech reserves the right to adjust any aspect of this datasheet at any time and without notice. It is the responsibility of the customer to inform AAA Biotech of any product performance issues observed or experienced within 30 days of receipt of said product. To see additional details on this or any of our other policies, please see our Terms & Conditions page.Item has been added to Shopping Cart
If you are ready to order, navigate to Shopping Cart and get ready to checkout.
