Rabbit UBA52/RPS27A/UBB/UBC Polyclonal Antibody | anti-UBA52 antibody
Acetyl-UBA52/RPS27A/UBB/UBC (K33) Antibody
Gene Names
UBA52; L40; CEP52; RPL40; HUBCEP52
Reactivity
Human, Mouse, Rat
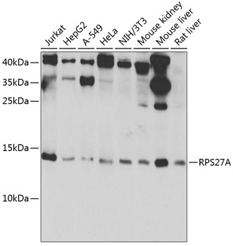
Applications
ELISA, Western Blot
Purity
Affinity-purified from rabbit antiserum by affinity-chromatography using epitope-specific immunogen.
Synonyms
UBA52/RPS27A/UBB/UBC, Antibody; Acetyl-UBA52/RPS27A/UBB/UBC (K33) Antibody; UBB; PolyUbiquitin-B; UBC; PolyUbiquitin-C; RPS27A; UBA80; UBCEP1; Ubiquitin-40S ribosomal protein S27a; Ubiquitin carboxyl extension protein 80; UBA52; UBCEP2; Ubiquitin-60S ribosomal protein L40; CEP52; Ubiquitin A-52 residue ribosomal protein fusion pr; anti-UBA52 antibody
Host
Rabbit
Reactivity
Human, Mouse, Rat
Clonality
Polyclonal
Isotype
IgG
Purity/Purification
Affinity-purified from rabbit antiserum by affinity-chromatography using epitope-specific immunogen.
Form/Format
Liquid; In Phosphate Buffered Saline, 50% Glycerol, 0.5% BSA and 0.02% Sodium Azide.
Applicable Applications for anti-UBA52 antibody
ELISA, WB (Western Blot)
Immunogen
Synthesized peptide derived from the human Ub around the acetylation site of K33.
Immunogen Species
Human
Conjugate
Non-conjugated
Preparation and Storage
Upon receipt, store at -20 degree C or -80 degree C. Avoid repeated freeze.
Product Categories/Family for anti-UBA52 antibody
NCBI and Uniprot Product Information
NCBI GI #
NCBI GeneID
NCBI Accession #
NCBI GenBank Nucleotide #
Molecular Weight
14,728 Da
NCBI Official Full Name
ubiquitin-60S ribosomal protein L40
NCBI Official Synonym Full Names
ubiquitin A-52 residue ribosomal protein fusion product 1
NCBI Official Symbol
UBA52
NCBI Official Synonym Symbols
L40; CEP52; RPL40; HUBCEP52
NCBI Protein Information
ubiquitin-60S ribosomal protein L40; ubiquitin-CEP52; ubiquitin-52 amino acid fusion protein; ubiquitin carboxyl extension protein 52
UniProt Protein Name
Ubiquitin-60S ribosomal protein L40
UniProt Gene Name
UBA52
UniProt Synonym Gene Names
UBCEP2
UniProt Entry Name
RL40_HUMAN
Customer Reviews
Loading reviews...
Share Your Experience
Similar Products
Product Notes
The UBA52 uba52 (Catalog #AAA235753) is an Antibody produced from Rabbit and is intended for research purposes only. The product is available for immediate purchase. The Acetyl-UBA52/RPS27A/UBB/UBC (K33) Antibody reacts with Human, Mouse, Rat and may cross-react with other species as described in the data sheet. AAA Biotech's UBA52/RPS27A/UBB/UBC can be used in a range of immunoassay formats including, but not limited to, ELISA, WB (Western Blot). Researchers should empirically determine the suitability of the UBA52 uba52 for an application not listed in the data sheet. Researchers commonly develop new applications and it is an integral, important part of the investigative research process. It is sometimes possible for the material contained within the vial of "UBA52/RPS27A/UBB/UBC, Polyclonal Antibody" to become dispersed throughout the inside of the vial, particularly around the seal of said vial, during shipment and storage. We always suggest centrifuging these vials to consolidate all of the liquid away from the lid and to the bottom of the vial prior to opening. Please be advised that certain products may require dry ice for shipping and that, if this is the case, an additional dry ice fee may also be required.Precautions
All products in the AAA Biotech catalog are strictly for research-use only, and are absolutely not suitable for use in any sort of medical, therapeutic, prophylactic, in-vivo, or diagnostic capacity. By purchasing a product from AAA Biotech, you are explicitly certifying that said products will be properly tested and used in line with industry standard. AAA Biotech and its authorized distribution partners reserve the right to refuse to fulfill any order if we have any indication that a purchaser may be intending to use a product outside of our accepted criteria.Disclaimer
Though we do strive to guarantee the information represented in this datasheet, AAA Biotech cannot be held responsible for any oversights or imprecisions. AAA Biotech reserves the right to adjust any aspect of this datasheet at any time and without notice. It is the responsibility of the customer to inform AAA Biotech of any product performance issues observed or experienced within 30 days of receipt of said product. To see additional details on this or any of our other policies, please see our Terms & Conditions page.Item has been added to Shopping Cart
If you are ready to order, navigate to Shopping Cart and get ready to checkout.
