Rabbit anti-Human UBL4A Polyclonal Antibody | anti-UBL4A antibody
UBL4A Antibody
Gene Names
UBL4A; GDX; G6PD; GET5; MDY2; UBL4; TMA24; DX254E; DXS254E
Reactivity
Human
Applications
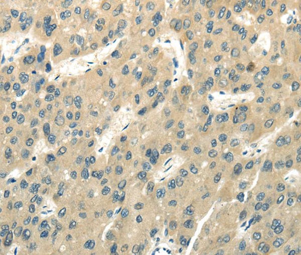
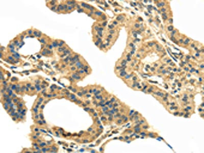
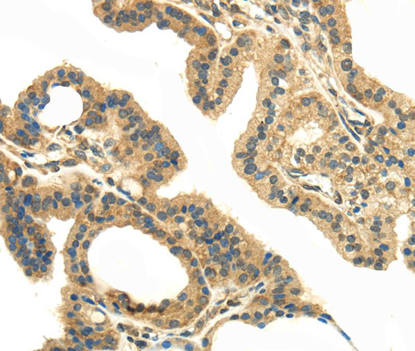
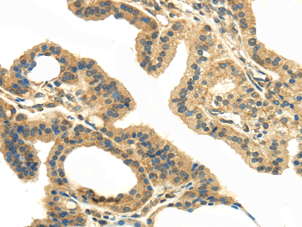
Immunohistochemistry
Purity
Antigen affinity purification.
Synonyms
UBL4A, Antibody; UBL4A Antibody; GDX; G6PD; GET5; MDY2; UBL4; TMA24; DX254E; DXS254E; anti-UBL4A antibody
Host
Rabbit
Reactivity
Human
Clonality
Polyclonal
Specificity
The antibody detects endogenous levels of total UBL4A protein.
Purity/Purification
Antigen affinity purification.
Form/Format
Rabbit IgG in pH7.4 PBS, 0.05% NaN3, 40% Glycerol.
Concentration
1.7 mg/ml (varies by lot)
Sequence Length
157
Applicable Applications for anti-UBL4A antibody
IHC (Immunohistochemistry)
Immunogen Type
Protein
Immunogen Description
Full length fusion protein
Target Name
UBL4A
Preparation and Storage
Store at -20 degree C
Related Product Information for anti-UBL4A antibody
Component of the BAT3 complex, a multiprotein complex involved in the post-translational delivery of tail-anchored (TA) membrane proteins to the endoplasmic reticulum membrane. TA membrane proteins, also named type II transmembrane proteins, contain a single C-terminal transmembrane region. The complex acts by facilitating TA proteins capture by ASNA1/TRC40: it is recruited to ribosomes synthesizing membrane proteins, interacts with the transmembrane region of newly released TA proteins, and transfers them to ASNA1/TRC40 for targeting.
Product Categories/Family for anti-UBL4A antibody
NCBI and Uniprot Product Information
NCBI GI #
NCBI GeneID
NCBI Accession #
NCBI GenBank Nucleotide #
Molecular Weight
17,777 Da
NCBI Official Full Name
ubiquitin-like protein 4A
NCBI Official Synonym Full Names
ubiquitin-like 4A
NCBI Official Symbol
UBL4A
NCBI Official Synonym Symbols
GDX; G6PD; GET5; MDY2; UBL4; TMA24; DX254E; DXS254E
NCBI Protein Information
ubiquitin-like protein 4A
UniProt Protein Name
Ubiquitin-like protein 4A
UniProt Gene Name
UBL4A
UniProt Synonym Gene Names
DXS254E; GDX; UBL4
UniProt Entry Name
UBL4A_HUMAN
Customer Reviews
Loading reviews...
Share Your Experience
Similar Products
Product Notes
The UBL4A ubl4a (Catalog #AAA301910) is an Antibody produced from Rabbit and is intended for research purposes only. The product is available for immediate purchase. The UBL4A Antibody reacts with Human and may cross-react with other species as described in the data sheet. AAA Biotech's UBL4A can be used in a range of immunoassay formats including, but not limited to, IHC (Immunohistochemistry). Researchers should empirically determine the suitability of the UBL4A ubl4a for an application not listed in the data sheet. Researchers commonly develop new applications and it is an integral, important part of the investigative research process. It is sometimes possible for the material contained within the vial of "UBL4A, Polyclonal Antibody" to become dispersed throughout the inside of the vial, particularly around the seal of said vial, during shipment and storage. We always suggest centrifuging these vials to consolidate all of the liquid away from the lid and to the bottom of the vial prior to opening. Please be advised that certain products may require dry ice for shipping and that, if this is the case, an additional dry ice fee may also be required.Precautions
All products in the AAA Biotech catalog are strictly for research-use only, and are absolutely not suitable for use in any sort of medical, therapeutic, prophylactic, in-vivo, or diagnostic capacity. By purchasing a product from AAA Biotech, you are explicitly certifying that said products will be properly tested and used in line with industry standard. AAA Biotech and its authorized distribution partners reserve the right to refuse to fulfill any order if we have any indication that a purchaser may be intending to use a product outside of our accepted criteria.Disclaimer
Though we do strive to guarantee the information represented in this datasheet, AAA Biotech cannot be held responsible for any oversights or imprecisions. AAA Biotech reserves the right to adjust any aspect of this datasheet at any time and without notice. It is the responsibility of the customer to inform AAA Biotech of any product performance issues observed or experienced within 30 days of receipt of said product. To see additional details on this or any of our other policies, please see our Terms & Conditions page.Item has been added to Shopping Cart
If you are ready to order, navigate to Shopping Cart and get ready to checkout.
