Rabbit P70S6K Polyclonal Antibody | anti-RPS6KB1 antibody
P70 S6K Polyclonal Antibody
Gene Names
RPS6KB1; S6K; PS6K; S6K1; STK14A; p70-S6K; p70 S6KA; p70-alpha; S6K-beta-1; p70(S6K)-alpha
Reactivity
Human, Mouse, Rat
Applications
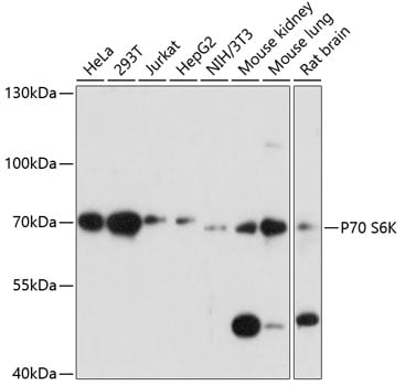
Immunofluorescence, Immunohistochemistry, Western Blot
Purity
Affinity purification
Synonyms
P70S6K, Antibody; P70 S6K Polyclonal Antibody; RPS6KB1; PS6K; S6K; S6K-beta-1; S6K1; STK14A; p70 S6KA; p70 (S6K)-alpha; p70-S6K; p70-alpha; ribosomal protein S6 kinase B1; anti-RPS6KB1 antibody
Host
Rabbit
Reactivity
Human, Mouse, Rat
Clonality
Polyclonal
Isotype
IgG
Purity/Purification
Affinity purification
Form/Format
PBS with 50% glycerol, pH7.4
Applicable Applications for anti-RPS6KB1 antibody
IF (Immunofluorescence), IHC (Immunohistochemistry), WB (Western Blot)
Immunogen
Recombinant protein of human P70 S6K
Conjugation
Unconjugated
Preparation and Storage
Store at -20 degree C. Avoid freeze/thaw cycles.
Related Product Information for anti-RPS6KB1 antibody
This gene encodes a member of the ribosomal S6 kinase family of serine/threonine kinases. The encoded protein responds to mTOR (mammalian target of rapamycin) signaling to promote protein synthesis, cell growth, and cell proliferation. Activity of this gene has been associated with human cancer. Alternatively spliced transcript variants have been observed. The use of alternative translation start sites results in isoforms with longer or shorter N-termini which may differ in their subcellular localizations. There are two pseudogenes for this gene on chromosome 17.
Product Categories/Family for anti-RPS6KB1 antibody
NCBI and Uniprot Product Information
NCBI GI #
NCBI GeneID
NCBI Accession #
NCBI GenBank Nucleotide #
UniProt Accession #
Molecular Weight
59,140 Da
NCBI Official Full Name
ribosomal protein S6 kinase beta-1 isoform e
NCBI Official Synonym Full Names
ribosomal protein S6 kinase, 70kDa, polypeptide 1
NCBI Official Symbol
RPS6KB1
NCBI Official Synonym Symbols
S6K; PS6K; S6K1; STK14A; p70-S6K; p70 S6KA; p70-alpha; S6K-beta-1; p70(S6K)-alpha
NCBI Protein Information
ribosomal protein S6 kinase beta-1; p70 S6 kinase, alpha; ribosomal protein S6 kinase I; serine/threonine kinase 14 alpha; serine/threonine-protein kinase 14A
UniProt Protein Name
Ribosomal protein S6 kinase beta-1
UniProt Gene Name
RPS6KB1
UniProt Synonym Gene Names
STK14A; S6K-beta-1; S6K1; P70S6K1; p70-S6K 1; p70 S6 kinase alpha; p70 S6K-alpha; p70 S6KA
UniProt Entry Name
KS6B1_HUMAN
Customer Reviews
Loading reviews...
Share Your Experience
Similar Products
Product Notes
The RPS6KB1 rps6kb1 (Catalog #AAA311279) is an Antibody produced from Rabbit and is intended for research purposes only. The product is available for immediate purchase. The P70 S6K Polyclonal Antibody reacts with Human, Mouse, Rat and may cross-react with other species as described in the data sheet. AAA Biotech's P70S6K can be used in a range of immunoassay formats including, but not limited to, IF (Immunofluorescence), IHC (Immunohistochemistry), WB (Western Blot). Researchers should empirically determine the suitability of the RPS6KB1 rps6kb1 for an application not listed in the data sheet. Researchers commonly develop new applications and it is an integral, important part of the investigative research process. It is sometimes possible for the material contained within the vial of "P70S6K, Polyclonal Antibody" to become dispersed throughout the inside of the vial, particularly around the seal of said vial, during shipment and storage. We always suggest centrifuging these vials to consolidate all of the liquid away from the lid and to the bottom of the vial prior to opening. Please be advised that certain products may require dry ice for shipping and that, if this is the case, an additional dry ice fee may also be required.Precautions
All products in the AAA Biotech catalog are strictly for research-use only, and are absolutely not suitable for use in any sort of medical, therapeutic, prophylactic, in-vivo, or diagnostic capacity. By purchasing a product from AAA Biotech, you are explicitly certifying that said products will be properly tested and used in line with industry standard. AAA Biotech and its authorized distribution partners reserve the right to refuse to fulfill any order if we have any indication that a purchaser may be intending to use a product outside of our accepted criteria.Disclaimer
Though we do strive to guarantee the information represented in this datasheet, AAA Biotech cannot be held responsible for any oversights or imprecisions. AAA Biotech reserves the right to adjust any aspect of this datasheet at any time and without notice. It is the responsibility of the customer to inform AAA Biotech of any product performance issues observed or experienced within 30 days of receipt of said product. To see additional details on this or any of our other policies, please see our Terms & Conditions page.Item has been added to Shopping Cart
If you are ready to order, navigate to Shopping Cart and get ready to checkout.
