Rabbit anti-Human, Rat UHRF2 Polyclonal Antibody | anti-UHRF2 antibody
UHRF2 Antibody
Phosphate buffered saline, pH 7.4, 150mM NaCl, 0.02% sodium azide and 50% glycerol.
IF (Immunofluorescence)
(AAA326685 staining HepG2 by IF/ICC. The sample were fixed with PFA and permeabilized in 0.1% Triton X-100, then blocked in 10% serum for 45 minutes at 25 degree C. The primary antibody was diluted at 1/200 and incubated with the sample for 1 hour at 37 degree C. An Alexa Fluor 594 conjugated goat anti-rabbit IgG (H+L) Ab, diluted at 1/600, was used as the secondary antibody.)
WB (Western Blot)
(Western blot analysis of Jurkat whole cell lysates, using UHRF2 Antibody. The lane on the left is treated with the antigen-specific peptide.)
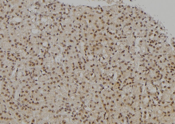
IHC (Immunohistochemistry)
(AAA326685 at 1/100 staining Rat kidney tissue by IHC-P. The sample was formaldehyde fixed and a heat mediated antigen retrieval step in citrate buffer was performed. The sample was then blocked and incubated with the antibody for 1.5 hours at 22 degree C. An HRP conjugated goat anti-rabbit antibody was used as the secondary.)
Function: E3 ubiquitin-protein ligase that is an intermolecular hub protein in the cell cycle network. Through cooperative DNA and histone binding, may contribute to a tighter epigenetic control of gene expression in differentiated cells. Ubiquitinates cyclins, CCND1 and CCNE1, in an apparently phosphorylation-independent manner and induces G1 arrest. Also ubiquitinates PCNP leading to its degradation by the proteasome. E3 SUMO-, but not ubiquitin-, protein ligase for ZNF131.
Subunit Structure: Homodimer; disulfide-linked. Binds methylated CpG containing oligonucleotides. Interacts with H3: the interaction has a preference for the 'Lys-9' trimethylated form of H3 (H3K9me3) (By similarity). Interacts with PCNP, HDAC1 and CDK2 (inactive form). Component of a complex at least composed of UHRF2, CDK2 and CCNE1. Interacts directly with CCNE1; the interaction ubiquitinates CCNE1 and appears independent of CCNE1 phosphorylation. Interacts with CCND1; the interaction ubiquitinates CCND1 and appears independent of CCND1 phosphorylation. Interacts with p53/TP53 and RB1. Interacts with UBE2I.
Post-translational Modifications: May be autoubiquitinated; which may lead to proteasomal degradation. Phosphorylated. Phosphorylation may be mediated by CDK2. Autosumoylated.
NCBI and Uniprot Product Information
Predicted: 90 kDa
Customer Reviews
Loading reviews...
Share Your Experience
Similar Products
Product Notes
The UHRF2 uhrf2 (Catalog #AAA326685) is an Antibody produced from Rabbit and is intended for research purposes only. The product is available for immediate purchase. The UHRF2 Antibody reacts with Human, Rat and may cross-react with other species as described in the data sheet. AAA Biotech's UHRF2 can be used in a range of immunoassay formats including, but not limited to, ELISA, ICC (Immunocytochemistry), IF (Immunofluorescence), IHC (Immunohistochemistry), WB (Western Blot). Researchers should empirically determine the suitability of the UHRF2 uhrf2 for an application not listed in the data sheet. Researchers commonly develop new applications and it is an integral, important part of the investigative research process. It is sometimes possible for the material contained within the vial of "UHRF2, Polyclonal Antibody" to become dispersed throughout the inside of the vial, particularly around the seal of said vial, during shipment and storage. We always suggest centrifuging these vials to consolidate all of the liquid away from the lid and to the bottom of the vial prior to opening. Please be advised that certain products may require dry ice for shipping and that, if this is the case, an additional dry ice fee may also be required.Precautions
All products in the AAA Biotech catalog are strictly for research-use only, and are absolutely not suitable for use in any sort of medical, therapeutic, prophylactic, in-vivo, or diagnostic capacity. By purchasing a product from AAA Biotech, you are explicitly certifying that said products will be properly tested and used in line with industry standard. AAA Biotech and its authorized distribution partners reserve the right to refuse to fulfill any order if we have any indication that a purchaser may be intending to use a product outside of our accepted criteria.Disclaimer
Though we do strive to guarantee the information represented in this datasheet, AAA Biotech cannot be held responsible for any oversights or imprecisions. AAA Biotech reserves the right to adjust any aspect of this datasheet at any time and without notice. It is the responsibility of the customer to inform AAA Biotech of any product performance issues observed or experienced within 30 days of receipt of said product. To see additional details on this or any of our other policies, please see our Terms & Conditions page.Item has been added to Shopping Cart
If you are ready to order, navigate to Shopping Cart and get ready to checkout.
