Rabbit UPF1 Polyclonal Antibody | anti-UPF1 antibody
UPF1 Antibody
Phosphate buffered saline, pH 7.4, 150mM NaCl, 0.02% sodium azide and 50% glycerol.
IF (Immunofluorescence)
(AAA326209 staining Hela cells by IF/ICC. The sample were fixed with PFA and permeabilized in 0.1% Triton X-100, then blocked in 10% serum for 45 minutes at 25 degree C. The primary antibody was diluted at 1/200 and incubated with the sample for 1 hour at 37 degree C. An Alexa Fluor 594 conjugated goat anti-rabbit IgG (H+L) antibody, diluted at 1/600, was used as secondary antibody.)
WB (Western Blot)
(Western blot analysis of Hela whole cell lysates, using UPF1 Antibody. The lane on the left is treated with the antigen-specific peptide.)
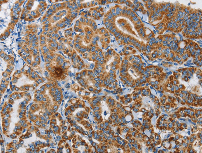
IHC (Immunohistochemistry)
(AAA326209 at 1/100 staining Mouse lung tissue by IHC-P. The sample was formaldehyde fixed and a heat mediated antigen retrieval step in citrate buffer was performed. The sample was then blocked and incubated with the antibody for 1.5 hours at 22 degree C. An HRP conjugated goat anti-rabbit antibody was used as the secondary.)
Function: RNA-dependent helicase and ATPase required for nonsense-mediated decay (NMD) of mRNAs containing premature stop codons. Is recruited to mRNAs upon translation termination and undergoes a cycle of phosphorylation and dephosphorylation; its phosphorylation appears to be a key step in NMD. Recruited by release factors to stalled ribosomes together with the SMG1C protein kinase complex to form the transient SURF (SMG1-UPF1-eRF1-eRF3) complex. In EJC-dependent NMD, the SURF complex associates with the exon junction complex (EJC) (located 50-55 or more nucleotides downstream from the termination codon) through UPF2 and allows the formation of an UPF1-UPF2-UPF3 surveillance complex which is believed to activate NMD. Phosphorylated UPF1 is recognized by EST1B/SMG5, SMG6 and SMG7 which are thought to provide a link to the mRNA degradation machinery involving exonucleolytic and endonucleolytic pathways, and to serve as adapters to protein phosphatase 2A (PP2A), thereby triggering UPF1 dephosphorylation and allowing the recycling of NMD factors. UPF1 can also activate NMD without UPF2 or UPF3, and in the absence of the NMD-enhancing downstream EJC indicative for alternative NMD pathways. Plays a role in replication-dependent histone mRNA degradation at the end of phase S; the function is independent of UPF2. For the recognition of premature termination codons (PTC) and initiation of NMD a competitive interaction between UPF1 and PABPC1 with the ribosome-bound release factors is proposed. The ATPase activity of UPF1 is required for disassembly of mRNPs undergoing NMD. Essential for embryonic viability.
Subunit Structure: Found in a post-splicing messenger ribonucleoprotein (mRNP) complex (PubMed:21419344). Associates with the exon junction complex (EJC) (PubMed:11546874, PubMed:16452507). Associates with the SGM1C complex; is phosphorylated by the complex kinase component SGM1 (PubMed:19417104). Interacts with UPF2 (PubMed:11163187, PubMed:11073994, PubMed:11113196, PubMed:19556969). Interacts with UPF3A and UPF3B (PubMed:11163187). Interacts with EST1A (PubMed:12554878). Interacts with SLBP (PubMed:16086026). Interacts (when hyperphosphorylated) with PNRC2 (PubMed:19150429). Interacts with AGO1 and AGO2 (PubMed:17932509). Interacts with GSPT2 (PubMed:18447585). Interacts with isoform 1 and isoform 5 of ADAR/ADAR1 (PubMed:18362360). Interacts with SMG7 (PubMed:15721257). Interacts with ZC3H12A; this interaction occurs in a mRNA translationally active-and termination-dependent manner and is essential for ZC3H12A-mediated degradation of target mRNAs (PubMed:26000482). Interacts with CPSF6 (PubMed:19864460).
Post-translational Modifications: Phosphorylated by SMG1; required for formation of mRNA surveillance complexes.
Similarity: The [ST]-Q motif constitutes a recognition sequence for kinases from the PI3/PI4-kinase family. Belongs to the DNA2/NAM7 helicase family.
NCBI and Uniprot Product Information
Predicted: 125 kDa
Customer Reviews
Loading reviews...
Share Your Experience
Similar Products
Product Notes
The UPF1 upf1 (Catalog #AAA326209) is an Antibody produced from Rabbit and is intended for research purposes only. The product is available for immediate purchase. The UPF1 Antibody reacts with Human, Mouse, Rat and may cross-react with other species as described in the data sheet. AAA Biotech's UPF1 can be used in a range of immunoassay formats including, but not limited to, ELISA, ICC (Immunocytochemistry), IF (Immunofluorescence), IHC (Immunohistochemistry), WB (Western Blot). Researchers should empirically determine the suitability of the UPF1 upf1 for an application not listed in the data sheet. Researchers commonly develop new applications and it is an integral, important part of the investigative research process. It is sometimes possible for the material contained within the vial of "UPF1, Polyclonal Antibody" to become dispersed throughout the inside of the vial, particularly around the seal of said vial, during shipment and storage. We always suggest centrifuging these vials to consolidate all of the liquid away from the lid and to the bottom of the vial prior to opening. Please be advised that certain products may require dry ice for shipping and that, if this is the case, an additional dry ice fee may also be required.Precautions
All products in the AAA Biotech catalog are strictly for research-use only, and are absolutely not suitable for use in any sort of medical, therapeutic, prophylactic, in-vivo, or diagnostic capacity. By purchasing a product from AAA Biotech, you are explicitly certifying that said products will be properly tested and used in line with industry standard. AAA Biotech and its authorized distribution partners reserve the right to refuse to fulfill any order if we have any indication that a purchaser may be intending to use a product outside of our accepted criteria.Disclaimer
Though we do strive to guarantee the information represented in this datasheet, AAA Biotech cannot be held responsible for any oversights or imprecisions. AAA Biotech reserves the right to adjust any aspect of this datasheet at any time and without notice. It is the responsibility of the customer to inform AAA Biotech of any product performance issues observed or experienced within 30 days of receipt of said product. To see additional details on this or any of our other policies, please see our Terms & Conditions page.Item has been added to Shopping Cart
If you are ready to order, navigate to Shopping Cart and get ready to checkout.
