Rabbit anti-Human USP19 Polyclonal Antibody | anti-USP19 antibody
USP19 Rabbit anti-Human Polyclonal Antibody
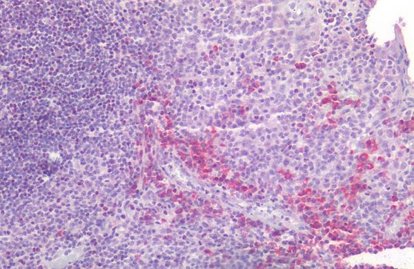
IHC (Immunohistochemistry)
(USP19 Antibody-Human Placenta: Formalin-Fixed, Paraffin-Embedded (FFPE))
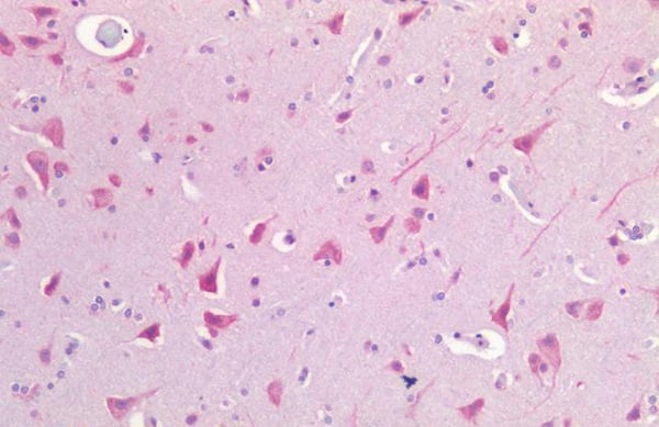
IHC (Immunohistochemisry)
(USP19 Antibody-Human Brain, Cortex: Formalin-Fixed, Paraffin-Embedded (FFPE))
USP19 is a deubiquitinating enzyme that regulates the degradation of various proteins such as RNF123, which stimulates CDKN1B ubiquitin-dependent degradation and impacts cell proliferation. It is required for cells to mount an appropriate response to hypoxia and rescues HIF1A from degradation in a non-catalytic manner. USP19 is important for regulating the expression and quality control of misfolded polyQ-expanded proteins. Additionally, USP19 decreases protein synthesis in atrophying skeletal muscle, represses myogenesis and regulates the transcription of major myofibrillar proteins. Because USP19 regulates and can inhibit muscle cell differentiation, it is a potential target of inhibition therapy as a means to increase post-injury muscle growth. Furthermore, USP19 deubiquinates a number of proteins including HDAC1 and HDAC2 that are pivotal for DNA repair and maintenance of chromosomal stability, and thus loss of USP19 is thought to contribute to genomic instability and to play a role in tumorigenesis. In immunohistochemistry of normal tissue, USP19 has cytoplasmic (endoplasmic reticulum) positivity in a majority of tissues throughout the body, with high expression in skeletal muscle.
NCBI and Uniprot Product Information
Customer Reviews
Loading reviews...
Share Your Experience
Similar Products
Product Notes
The USP19 usp19 (Catalog #AAA163016) is an Antibody produced from Rabbit and is intended for research purposes only. The product is available for immediate purchase. The USP19 Rabbit anti-Human Polyclonal Antibody reacts with Human and may cross-react with other species as described in the data sheet. AAA Biotech's USP19 can be used in a range of immunoassay formats including, but not limited to, IHC (Immunohistochemistry). Researchers should empirically determine the suitability of the USP19 usp19 for an application not listed in the data sheet. Researchers commonly develop new applications and it is an integral, important part of the investigative research process. It is sometimes possible for the material contained within the vial of "USP19, Polyclonal Antibody" to become dispersed throughout the inside of the vial, particularly around the seal of said vial, during shipment and storage. We always suggest centrifuging these vials to consolidate all of the liquid away from the lid and to the bottom of the vial prior to opening. Please be advised that certain products may require dry ice for shipping and that, if this is the case, an additional dry ice fee may also be required.Precautions
All products in the AAA Biotech catalog are strictly for research-use only, and are absolutely not suitable for use in any sort of medical, therapeutic, prophylactic, in-vivo, or diagnostic capacity. By purchasing a product from AAA Biotech, you are explicitly certifying that said products will be properly tested and used in line with industry standard. AAA Biotech and its authorized distribution partners reserve the right to refuse to fulfill any order if we have any indication that a purchaser may be intending to use a product outside of our accepted criteria.Disclaimer
Though we do strive to guarantee the information represented in this datasheet, AAA Biotech cannot be held responsible for any oversights or imprecisions. AAA Biotech reserves the right to adjust any aspect of this datasheet at any time and without notice. It is the responsibility of the customer to inform AAA Biotech of any product performance issues observed or experienced within 30 days of receipt of said product. To see additional details on this or any of our other policies, please see our Terms & Conditions page.Item has been added to Shopping Cart
If you are ready to order, navigate to Shopping Cart and get ready to checkout.
