Rabbit USP7 Polyclonal Antibody | anti-USP7 antibody
USP7 Antibody
Phosphate buffered saline, pH 7.4, 150mM NaCl, 0.02% sodium azide and 50% glycerol.
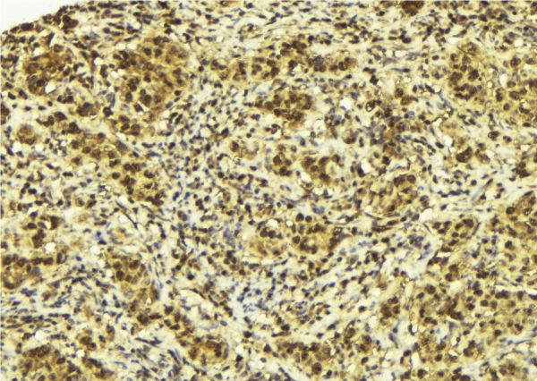
IHC (Immunohiostchemistry)
(AAA327199 at 1/100 staining Human breast cancer tissue by IHC-P. The sample was formaldehyde fixed and a heat mediated antigen retrieval step in citrate buffer was performed. The sample was then blocked and incubated with the antibody for 1.5 hours at 22 degree C. An HRP conjugated goat anti-rabbit antibody was used as the secondary.)
Subunit Structure: Monomer. Homodimer. Part of a complex with DAXX, MDM2, RASSF1 and USP7 (PubMed:18566590). Part of a complex with DAXX, MDM2 and USP7 (PubMed:16845383). Interacts with MDM2; the interaction is independent of p53/TP53. Interacts with DAXX; the interaction is direct and independent of MDM2 and p53/TP53 (PubMed:16845383). Component of a complex composed of KMT2E/MLL5 (isoform 3), OGT (isoform 1) and USP7; the complex stabilizes KMT2E/MLL5, preventing KMT2E/MLL5 ubiquitination and proteosomal-mediated degradation (PubMed:26678539). Interacts (via MATH domain) with KMT2E/MLL5 isoform 3 (PubMed:26678539). Interacts with OGT isoform 1 (PubMed:26678539). Interacts with FOXO4; the interaction is enhanced in presence of hydrogen peroxide and occurs independently of p53/TP53 (PubMed:16964248). Interacts with p53/TP53; the interaction is enhanced in response to DNA damage (PubMed:25283148). Interacts with TSPYL5; this impairs interaction with p53/TP53 (PubMed:21170034). Interacts with PTEN; the interaction is direct (PubMed:18716620). Interacts with ATXN1 and the strength of interaction is influenced by the length of the poly-Gln region in ATXN1 (PubMed:12093161). A weaker interaction seen with mutants having longer poly-Gln regions (PubMed:12093161). Interacts with KIAA1530/UVSSA (PubMed:22466611, PubMed:22466612). Interacts with ABRAXAS2; the interaction is direct (PubMed:25283148). Identified in a complex with TP53/p53 and ABRAXAS2 (PubMed:25283148). Interacts with MEX3C and antagonizes its ability to degrade mRNA (PubMed:22863774). Interacts with DNMT1 and UHRF1 (PubMed:21745816, PubMed:22411829). Interacts with FOXP3 (PubMed:23973222). Interacts (via MATH domain) with RNF220. Associated component of the Polycomb group (PcG) multiprotein PRC1-like complex (PubMed:20601937). Interacts with EPOP (By similarity). Interacts with OTUD4 and USP9X; the interaction is direct (PubMed:25944111).
Post-translational Modifications: Isoform 1: Phosphorylated. Isoform 1 is phosphorylated at positions Ser-18 and Ser-963. Isoform 2: Not phosphorylated. Isoform 1: Polyneddylated. Isoform 2: Not Polyneddylated. Isoform 1 and isoform 2: Not sumoylated. Isoform 1 and isoform 2: Polyubiquitinated by herpesvirus 1 trans-acting transcriptional protein ICP0/VMW110; leading to its subsequent proteasomal degradation. Isoform 1: Ubiquitinated at Lys-869.
Similarity: The C-terminus plays a role in its oligomerization. Belongs to the peptidase C19 family.
NCBI and Uniprot Product Information
Predicted: 129 kDa
Customer Reviews
Loading reviews...
Share Your Experience
Similar Products
Product Notes
The USP7 usp7 (Catalog #AAA327199) is an Antibody produced from Rabbit and is intended for research purposes only. The product is available for immediate purchase. The USP7 Antibody reacts with Human, Mouse, Rat and may cross-react with other species as described in the data sheet. AAA Biotech's USP7 can be used in a range of immunoassay formats including, but not limited to, ELISA, IHC (Immunohistochemistry), WB (Western Blot). Researchers should empirically determine the suitability of the USP7 usp7 for an application not listed in the data sheet. Researchers commonly develop new applications and it is an integral, important part of the investigative research process. It is sometimes possible for the material contained within the vial of "USP7, Polyclonal Antibody" to become dispersed throughout the inside of the vial, particularly around the seal of said vial, during shipment and storage. We always suggest centrifuging these vials to consolidate all of the liquid away from the lid and to the bottom of the vial prior to opening. Please be advised that certain products may require dry ice for shipping and that, if this is the case, an additional dry ice fee may also be required.Precautions
All products in the AAA Biotech catalog are strictly for research-use only, and are absolutely not suitable for use in any sort of medical, therapeutic, prophylactic, in-vivo, or diagnostic capacity. By purchasing a product from AAA Biotech, you are explicitly certifying that said products will be properly tested and used in line with industry standard. AAA Biotech and its authorized distribution partners reserve the right to refuse to fulfill any order if we have any indication that a purchaser may be intending to use a product outside of our accepted criteria.Disclaimer
Though we do strive to guarantee the information represented in this datasheet, AAA Biotech cannot be held responsible for any oversights or imprecisions. AAA Biotech reserves the right to adjust any aspect of this datasheet at any time and without notice. It is the responsibility of the customer to inform AAA Biotech of any product performance issues observed or experienced within 30 days of receipt of said product. To see additional details on this or any of our other policies, please see our Terms & Conditions page.Item has been added to Shopping Cart
If you are ready to order, navigate to Shopping Cart and get ready to checkout.
