Rabbit VASP Polyclonal Antibody | anti-VASP antibody
VASP Antibody
Phosphate buffered saline, pH 7.4, 150mM NaCl, 0.02% sodium azide and 50% glycerol.
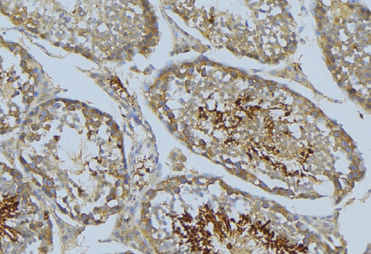
IHC (Immunohistochemisry)
(AAA322340 at 1/100 staining Mouse testis tissue by IHC-P. The sample was formaldehyde fixed and a heat mediated antigen retrieval step in citrate buffer was performed. The sample was then blocked and incubated with the antibody for 1.5 hours at 22 degree C. An HRP conjugated goat anti-rabbit antibody was used as the secondary.)
WB (Western Blot)
(Western blot analysis of VASP expression in NIH-3T3 whole cell lysates, The lane on the left is treated with the antigen-specific peptide.)
IF (Immunofluorescence)
(AAA322340 staining HeLa by IF/ICC. The sample were fixed with PFA and permeabilized in 0.1% Triton X-100, then blocked in 10% serum for 45 minutes at 25 degree C. The primary antibody was diluted at 1/200 and incubated with the sample for 1 hour at 37 degree C. An Alexa Fluor 594 conjugated goat anti-rabbit IgG (H+L) Ab, diluted at 1/600, was used as the secondary antibody.)
Function: Ena/VASP proteins are actin-associated proteins involved in a range of processes dependent on cytoskeleton remodeling and cell polarity such as axon guidance, lamellipodial and filopodial dynamics, platelet activation and cell migration. VASP promotes actin filament elongation. It protects the barbed end of growing actin filaments against capping and increases the rate of actin polymerization in the presence of capping protein. VASP stimulates actin filament elongation by promoting the transfer of profilin-bound actin monomers onto the barbed end of growing actin filaments. Plays a role in actin-based mobility of Listeria monocytogenes in host cells. Regulates actin dynamics in platelets and plays an important role in regulating platelet aggregation.
Subunit Structure: Homotetramer. Interacts with PFN1, PFN2, LPP, ACTN1 and ACTG1. Interacts, via the EVH1 domain, with the Pro-rich regions of ZYX. This interaction is important for targeting to focal adhesions and the formation of actin-rich structures at the apical surface of cells. Interacts, via the EVH1 domain, with the Pro-rich domain of Listeria monocytogenes actA. Interacts with APBB1IP. Interacts, via the Pro-rich domain, with the C-terminal SH3 domain of DNMBP (By similarity). Interacts weakly with MEFV.
Post-translational Modifications: Major substrate for cAMP-dependent (PKA) and cGMP-dependent protein kinase (PKG) in platelets. The preferred site for PKA is Ser-157, the preferred site for PKG/PRKG1, Ser-239. In ADP-activated platelets, phosphorylation by PKA or PKG on Ser-157 leads to fibrinogen receptor inhibition. Phosphorylation on Thr-278 requires prior phosphorylation on Ser-157 and Ser-239. In response to phorbol ester (PMA) stimulation, phosphorylated by PKC/PRKCA. In response to thrombin, phosphorylated by both PKC and ROCK1. Phosphorylation at Thr-278 by AMPK does not require prior phosphorylation at Ser-157 or Ser-239. Phosphorylation at Ser-157 by PKA is required for localization to the tight junctions in epithelial cells. Phosphorylation modulates F-actin binding, actin filament elongation and platelet activation. Phosphorylation at Ser-322 by AMPK also alters actin filament binding. Carbon monoxide (CO) promotes phosphorylation at Ser-157, while nitric oxide (NO) promotes phosphorylation at Ser-157, but also at Ser-239. Response to NO and CO is blunted in platelets from diabetic patients, and VASP is not phosphorylated efficiently at Ser-157 and Ser-239.
Similarity: The EVH2 domain is comprised of 3 regions. Block A is a thymosin-like domain required for G-actin binding. The KLKR motif within this block is essential for the G-actin binding and for actin polymerization. Block B is required for F-actin binding and subcellular location, and Block C for tetramerization.The WH1 domain mediates interaction with XIRP1. Belongs to the Ena/VASP family.
NCBI and Uniprot Product Information
Predicted: 40 kDa
Customer Reviews
Loading reviews...
Share Your Experience
Similar Products
Product Notes
The VASP vasp (Catalog #AAA322340) is an Antibody produced from Rabbit and is intended for research purposes only. The product is available for immediate purchase. The VASP Antibody reacts with Human, Mouse, Rat and may cross-react with other species as described in the data sheet. AAA Biotech's VASP can be used in a range of immunoassay formats including, but not limited to, ELISA, ICC (Immunocytochemistry), IF (Immunofluorescence), IHC (Immunohistochemistry), WB (Western Blot). Researchers should empirically determine the suitability of the VASP vasp for an application not listed in the data sheet. Researchers commonly develop new applications and it is an integral, important part of the investigative research process. It is sometimes possible for the material contained within the vial of "VASP, Polyclonal Antibody" to become dispersed throughout the inside of the vial, particularly around the seal of said vial, during shipment and storage. We always suggest centrifuging these vials to consolidate all of the liquid away from the lid and to the bottom of the vial prior to opening. Please be advised that certain products may require dry ice for shipping and that, if this is the case, an additional dry ice fee may also be required.Precautions
All products in the AAA Biotech catalog are strictly for research-use only, and are absolutely not suitable for use in any sort of medical, therapeutic, prophylactic, in-vivo, or diagnostic capacity. By purchasing a product from AAA Biotech, you are explicitly certifying that said products will be properly tested and used in line with industry standard. AAA Biotech and its authorized distribution partners reserve the right to refuse to fulfill any order if we have any indication that a purchaser may be intending to use a product outside of our accepted criteria.Disclaimer
Though we do strive to guarantee the information represented in this datasheet, AAA Biotech cannot be held responsible for any oversights or imprecisions. AAA Biotech reserves the right to adjust any aspect of this datasheet at any time and without notice. It is the responsibility of the customer to inform AAA Biotech of any product performance issues observed or experienced within 30 days of receipt of said product. To see additional details on this or any of our other policies, please see our Terms & Conditions page.Item has been added to Shopping Cart
If you are ready to order, navigate to Shopping Cart and get ready to checkout.
