VDAC/Porin Polyclonal Antibody | anti-VDAC/Porin antibody
Anti-VDAC/Porin Antibody
IHC (Immunohistochemistry)
(Anti-VDAC Picoband antibody, AAA46260, IHC(P)IHC(P): Human Intestinal Cancer Tissue)
IHC (Immunohistochemisry)
(Anti-VDAC Picoband antibody, AAA46260, IHC(P)IHC(P): Rat Cardiac Muscle Tissue)
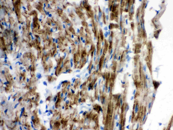
IHC (Immunohiostchemistry)
(Anti-VDAC Picoband antibody, AAA46260, IHC(P)IHC(P): Mouse Cardiac Muscle Tissue)
WB (Western Blot)
(Anti-VDAC Picoband antibody, AAA46260, Western blottingAll lanes: Anti VDAC (AAA46260) at 0.5ug/mlLane 1: Rat Liver Tissue Lysate at 50ugLane 2: Mouse Liver Tissue Lysate at 50ugLane 3: SMMC Whole Cell Lysate at 40ugPredicted bind size: 31KDObserved bind size: 31KD)
Background: The voltage-dependent anion channel (VDAC) of the outer mitochondrial membrane is a small, abundant outer membrane pore-forming protein found in the outer membranes of all eukaryotic mitochondria. The VDAC protein is thought to form the major pathway for movement of adenine nucleotides through the outer membrane and to be the mitochondrial binding site for hexokinase and glycerol kinase. At low transmembrane voltage, VDAC is open for anions such as phosphate, chloride, and adenine nucleotides. At higher transmembrane voltage, VDAC functions as a selective channel for cations and uncharged molecules. These features make VDAC likely to play a role in mitochondrial energy metabolism. Huizing et al. studied by Northern and Western blot analyses the human tissue distribution of mitochondrial transmembrane metabolite carriers. They found that VDAC1 mRNA has a ubiquitous distribution, with most pronounced expression in heart, liver, and skeletal muscle, whereas the VDAC2 isoform appears to be expressed only in the heart.
NCBI and Uniprot Product Information
Customer Reviews
Loading reviews...
Share Your Experience
Similar Products
Product Notes
The VDAC/Porin vdac1 (Catalog #AAA46260) is an Antibody and is intended for research purposes only. The product is available for immediate purchase. The Anti-VDAC/Porin Antibody reacts with Human, Mouse, Rat and may cross-react with other species as described in the data sheet. AAA Biotech's VDAC/Porin can be used in a range of immunoassay formats including, but not limited to, IHC (Immunohistochemistry), WB (Western Blot). Researchers should empirically determine the suitability of the VDAC/Porin vdac1 for an application not listed in the data sheet. Researchers commonly develop new applications and it is an integral, important part of the investigative research process. It is sometimes possible for the material contained within the vial of "VDAC/Porin, Polyclonal Antibody" to become dispersed throughout the inside of the vial, particularly around the seal of said vial, during shipment and storage. We always suggest centrifuging these vials to consolidate all of the liquid away from the lid and to the bottom of the vial prior to opening. Please be advised that certain products may require dry ice for shipping and that, if this is the case, an additional dry ice fee may also be required.Precautions
All products in the AAA Biotech catalog are strictly for research-use only, and are absolutely not suitable for use in any sort of medical, therapeutic, prophylactic, in-vivo, or diagnostic capacity. By purchasing a product from AAA Biotech, you are explicitly certifying that said products will be properly tested and used in line with industry standard. AAA Biotech and its authorized distribution partners reserve the right to refuse to fulfill any order if we have any indication that a purchaser may be intending to use a product outside of our accepted criteria.Disclaimer
Though we do strive to guarantee the information represented in this datasheet, AAA Biotech cannot be held responsible for any oversights or imprecisions. AAA Biotech reserves the right to adjust any aspect of this datasheet at any time and without notice. It is the responsibility of the customer to inform AAA Biotech of any product performance issues observed or experienced within 30 days of receipt of said product. To see additional details on this or any of our other policies, please see our Terms & Conditions page.Item has been added to Shopping Cart
If you are ready to order, navigate to Shopping Cart and get ready to checkout.
