Rabbit VEGF Polyclonal Antibody | anti-VEGF antibody
VEGF Polyclonal Antibody
Gene Names
VEGFA; VPF; VEGF; MVCD1
Reactivity
Human, Mouse, Rat
Applications
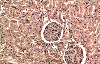
Immunohistochemistry
Purity
Affinity Purification
Synonyms
VEGF, Antibody; VEGF Polyclonal Antibody; VEGFA; anti-VEGF antibody
Host
Rabbit
Reactivity
Human, Mouse, Rat
Clonality
Polyclonal
Isotype
IgG
Purity/Purification
Affinity Purification
Concentration
1mg/mL (varies by lot)
Sequence Length
412
Applicable Applications for anti-VEGF antibody
IHC (Immunohistochemistry)
Immunogen
Recombinant Protein of VEGF of VEGFA
Buffer
PBS with 0.02% sodium azide, 0.5% BSA and 50% glycerol pH 7.4.
Preparation and Storage
Store at -20 degree C. Avoid freeze / thaw cycles.
Related Product Information for anti-VEGF antibody
Growth factor active in angiogenesis, vasculogenesis and endothelial cell growth. Induces endothelial cell proliferation, promotes cell migration, inhibits apoptosis and induces permeabilization of blood vessels. Binds to the FLT1/VEGFR1 and KDR/VEGFR2 receptors, heparan sulfate and heparin. May play a role in increasing vascular permeability during lactation, when increased transport of molecules from the blood is required for efficient milk protein synthesis.
NCBI and Uniprot Product Information
NCBI GI #
NCBI GeneID
NCBI Accession #
NCBI GenBank Nucleotide #
UniProt Accession #
Molecular Weight
34,406 Da
NCBI Official Full Name
vascular endothelial growth factor A isoform a
NCBI Official Synonym Full Names
vascular endothelial growth factor A
NCBI Official Symbol
VEGFA
NCBI Official Synonym Symbols
VPF; VEGF; MVCD1
NCBI Protein Information
vascular endothelial growth factor A
UniProt Protein Name
Vascular endothelial growth factor A
UniProt Gene Name
VEGFA
UniProt Synonym Gene Names
VEGF; VEGF-A; VPF
Customer Reviews
Loading reviews...
Share Your Experience
Similar Products
Product Notes
The VEGF vegfa (Catalog #AAA173819) is an Antibody produced from Rabbit and is intended for research purposes only. The product is available for immediate purchase. The VEGF Polyclonal Antibody reacts with Human, Mouse, Rat and may cross-react with other species as described in the data sheet. AAA Biotech's VEGF can be used in a range of immunoassay formats including, but not limited to, IHC (Immunohistochemistry). Researchers should empirically determine the suitability of the VEGF vegfa for an application not listed in the data sheet. Researchers commonly develop new applications and it is an integral, important part of the investigative research process. It is sometimes possible for the material contained within the vial of "VEGF, Polyclonal Antibody" to become dispersed throughout the inside of the vial, particularly around the seal of said vial, during shipment and storage. We always suggest centrifuging these vials to consolidate all of the liquid away from the lid and to the bottom of the vial prior to opening. Please be advised that certain products may require dry ice for shipping and that, if this is the case, an additional dry ice fee may also be required.Precautions
All products in the AAA Biotech catalog are strictly for research-use only, and are absolutely not suitable for use in any sort of medical, therapeutic, prophylactic, in-vivo, or diagnostic capacity. By purchasing a product from AAA Biotech, you are explicitly certifying that said products will be properly tested and used in line with industry standard. AAA Biotech and its authorized distribution partners reserve the right to refuse to fulfill any order if we have any indication that a purchaser may be intending to use a product outside of our accepted criteria.Disclaimer
Though we do strive to guarantee the information represented in this datasheet, AAA Biotech cannot be held responsible for any oversights or imprecisions. AAA Biotech reserves the right to adjust any aspect of this datasheet at any time and without notice. It is the responsibility of the customer to inform AAA Biotech of any product performance issues observed or experienced within 30 days of receipt of said product. To see additional details on this or any of our other policies, please see our Terms & Conditions page.Item has been added to Shopping Cart
If you are ready to order, navigate to Shopping Cart and get ready to checkout.
