Rabbit anti-Human VEGF Receptor 2 Polyclonal Antibody | anti-KDR antibody
Anti-VEGF Receptor 2 antibody
IHC (Immunohistochemistry)
(Anti-VEGF Receptor 2 antibody, AAA45381, IHC(F)IHC(F): Human Placenta Tissue)
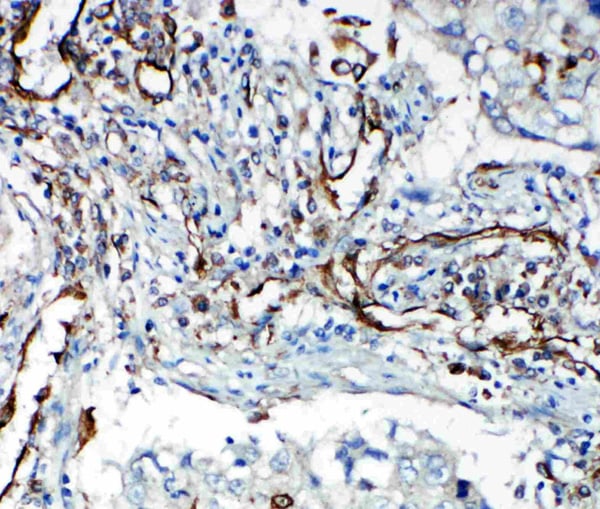
IHC (Immunohiostchemistry)
(Anti-VEGF Receptor 2 antibody, AAA45381, IHC(P)IHC(P): Human Lung Cancer Tissue)
Background: KDR(Kinase Insert Domain Receptor), also known as FLK1, VEGFR or VEGFR2, is a VEGF receptor. KDR is the human gene encoding it. Sait et al.(1995) likewise corrected the assignment to chromosome 4q11-q12 to the same region occupied also by PDGFRA and KIT, thus indicating the location of a cluster of receptor tyrosine kinase genes. Vascular endothelial growth factor(VEGF) is the only mitogen that specifically acts on endothelial cells. Its expression is upregulated by hypoxia, and its cell-surface receptor, known as fetal liver kinase-1(Flk1) in mouse, is exclusively expressed in endothelial cells(Plate et al., 1993). Flk1 is the mouse homolog of KDR(Matthews et al., 1991).
NCBI and Uniprot Product Information
Customer Reviews
Loading reviews...
Share Your Experience
Similar Products
Product Notes
The KDR kdr (Catalog #AAA45381) is an Antibody produced from Rabbit and is intended for research purposes only. The product is available for immediate purchase. The Anti-VEGF Receptor 2 antibody reacts with Human and may cross-react with other species as described in the data sheet. AAA Biotech's VEGF Receptor 2 can be used in a range of immunoassay formats including, but not limited to, ICC (Immunocytochemistry), IHC (Immunohistochemistry), IHC (Immunohistochemistry), WB (Western Blot). Researchers should empirically determine the suitability of the KDR kdr for an application not listed in the data sheet. Researchers commonly develop new applications and it is an integral, important part of the investigative research process. It is sometimes possible for the material contained within the vial of "VEGF Receptor 2, Polyclonal Antibody" to become dispersed throughout the inside of the vial, particularly around the seal of said vial, during shipment and storage. We always suggest centrifuging these vials to consolidate all of the liquid away from the lid and to the bottom of the vial prior to opening. Please be advised that certain products may require dry ice for shipping and that, if this is the case, an additional dry ice fee may also be required.Precautions
All products in the AAA Biotech catalog are strictly for research-use only, and are absolutely not suitable for use in any sort of medical, therapeutic, prophylactic, in-vivo, or diagnostic capacity. By purchasing a product from AAA Biotech, you are explicitly certifying that said products will be properly tested and used in line with industry standard. AAA Biotech and its authorized distribution partners reserve the right to refuse to fulfill any order if we have any indication that a purchaser may be intending to use a product outside of our accepted criteria.Disclaimer
Though we do strive to guarantee the information represented in this datasheet, AAA Biotech cannot be held responsible for any oversights or imprecisions. AAA Biotech reserves the right to adjust any aspect of this datasheet at any time and without notice. It is the responsibility of the customer to inform AAA Biotech of any product performance issues observed or experienced within 30 days of receipt of said product. To see additional details on this or any of our other policies, please see our Terms & Conditions page.Item has been added to Shopping Cart
If you are ready to order, navigate to Shopping Cart and get ready to checkout.
